电话:
+86 (0512) 65829739
传真:
+86 (010) 6788 5057
电子邮件:
orders@antibodies-online.cn

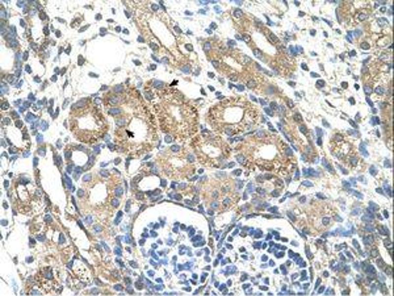
BSDC1 抗体 (AA 84-133)

The 兔 多克隆 anti-BSDC1 antibody (ABIN203469) specifically detects BSDC1 in WB, IHC 和 IHC (p). The antibody is reactive with 人, 小鼠, Cow, 豚鼠, 马, 兔, Hamster, 猴 和 Pig samples.
产品编号 ABIN203469
发货至: 中国
Contact our Customer Service for availability and price in your country. Contact Info

Our Local Distributor

中国
北京 101111
No. 88 KeChuang 6th Street
Beijing Economic Technological Development Area
Room 801-803
4A Biotech Co.,Ltd.
Tel +86 (0512) 65829739 传真 +86 (010) 6788 5057

Quick Overview for BSDC1 抗体 (AA 84-133) (ABIN203469)

抗原

See all BSDC1 抗体
BSDC1 (BSD Domain Containing 1 (BSDC1))

适用

  • 16
  • 5
  • 5
  • 4
  • 4
  • 3
  • 3
  • 3
  • 3
  • 1
  • 1
  • 1
  • 1
  • 1
人, 小鼠, Cow, 豚鼠, 马, 兔, Hamster, 猴, Pig

宿主

  • 16

克隆类型

  • 16
多克隆

标记

  • 11
  • 1
  • 1
  • 1
  • 1
  • 1
This BSDC1 antibody is un-conjugated

应用范围

  • 16
  • 8
  • 3
  • 1
  • 1
Western Blotting (WB), Immunohistochemistry (IHC), Immunohistochemistry (Paraffin-embedded Sections) (IHC (p))
  • 抗原表位

    • 8
    • 4
    • 2
    • 2
    • 1
    • 1
    AA 84-133

    特异性

    Human BSDC1

    预测反应

    Percent identity by BLAST analysis: Human, Mouse, Bovine, Rabbit, Horse, Guinea pig (100%) Dog (92%).

    纯化方法

    Protein A purified

    免疫原

    Synthetic peptide located between aa84-133 of human BSDC1 (Q9NW68-3, NP_060515). Percent identity by BLAST analysis: Human, Chimpanzee, Gorilla, Gibbon, Monkey, Galago, Marmoset, Mouse, Hamster, Elephant, Panda, Bovine, Rabbit, Horse, Pig, Guinea pig (100%), Dog, Bat, Platypus (92%), Xenopus (85%).

    Type of Immunogen: Synthetic peptide

    亚型

    IgG
  • 应用备注

    Approved: IHC, IHC-P, WB (2.5 μg/mL)

    说明

    Target Species of Antibody: Human

    限制

    仅限研究用
  • 状态

    Lyophilized

    溶解方式

    After adding water, will consist of PBS buffer with 2 % sucrose

    浓度

    Lot specific

    缓冲液

    Lyophilized from PBS with 2 % sucrose

    注意事项

    Avoid repeat freeze-thaw cycles.

    储存条件

    4 °C,-20 °C

    储存方法

    Long term: -20°C, the use of 50% glycerol is recommended if storing aliquots in -20°C for long term use (up to 1 year)
    Short term (less than 1 week): 4°C. Avoid freeze-thaw cycles.
  • 抗原

    BSDC1 (BSD Domain Containing 1 (BSDC1))

    别名

    BSDC1

    背景

    Name/Gene ID: BSDC1

    Synonyms: BSDC1, RP4-811H24.7, BSD domain containing 1

    基因ID

    55108

    NCBI登录号

    NP_060515

    UniProt

    Q9NW68
You are here: