电话:
+86 (0512) 65829739
传真:
+86 (010) 6788 5057
电子邮件:
orders@antibodies-online.cn

HIST1H1C 抗体 (N-Term)

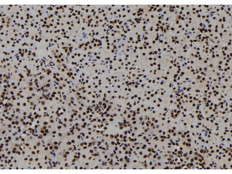
The 兔 多克隆 anti-HIST1H1C antibody (ABIN6262249) specifically detects HIST1H1C in IHC 和 WB. The antibody is reactive with 人 和 小鼠 samples.
产品编号 ABIN6262249
发货至: 中国
Contact our Customer Service for availability and price in your country. Contact Info

Our Local Distributor

中国
北京 101111
No. 88 KeChuang 6th Street
Beijing Economic Technological Development Area
Room 801-803
4A Biotech Co.,Ltd.
Tel +86 (0512) 65829739 传真 +86 (010) 6788 5057

Quick Overview for HIST1H1C 抗体 (N-Term) (ABIN6262249)

抗原

See all HIST1H1C 抗体
HIST1H1C (Histone Cluster 1, H1c (HIST1H1C))

适用

  • 88
  • 30
  • 29
  • 1
  • 1
  • 1
  • 1
  • 1
人, 小鼠

宿主

  • 88
  • 1

克隆类型

  • 64
  • 25
多克隆

标记

  • 58
  • 4
  • 3
  • 3
  • 3
  • 3
  • 3
  • 3
  • 3
  • 2
  • 1
  • 1
  • 1
  • 1
This HIST1H1C antibody is un-conjugated

应用范围

  • 54
  • 46
  • 34
  • 28
  • 22
  • 19
  • 13
  • 3
  • 3
  • 3
Immunohistochemistry (IHC), Western Blotting (WB)
  • 抗原表位

    • 7
    • 5
    • 3
    • 2
    • 2
    • 2
    • 2
    • 2
    • 2
    • 2
    • 2
    • 1
    • 1
    • 1
    • 1
    • 1
    • 1
    • 1
    • 1
    • 1
    • 1
    • 1
    • 1
    • 1
    • 1
    • 1
    • 1
    • 1
    • 1
    • 1
    • 1
    • 1
    • 1
    • 1
    • 1
    • 1
    • 1
    • 1
    • 1
    • 1
    • 1
    N-Term

    特异性

    Histone H1.2 Antibody detects endogenous levels of total Histone H1.2.

    预测反应

    Bovine,Sheep,Dog

    纯化方法

    The antiserum was purified by peptide affinity chromatography using SulfoLinkTM Coupling Resin (Thermo Fisher Scientific).

    免疫原

    A synthesized peptide derived from human Histone H1.2, corresponding to a region within N-terminal amino acids.

    亚型

    IgG
  • 应用备注

    WB 1:500-1:2000, IHC 1:50-1:200

    限制

    仅限研究用
  • 状态

    Liquid

    浓度

    1 mg/mL

    缓冲液

    Rabbit IgG in phosphate buffered saline , pH 7.4, 150 mM NaCl, 0.02 % sodium azide and 50 % glycerol.

    储存液

    Sodium azide

    注意事项

    This product contains Sodium azide: a POISONOUS AND HAZARDOUS SUBSTANCE which should be handled by trained staff only.

    储存条件

    -20 °C

    储存方法

    Store at -20 °C. Stable for 12 months from date of receipt.

    有效期

    12 months
  • 抗原

    HIST1H1C (Histone Cluster 1, H1c (HIST1H1C))

    别名

    HIST1H1C

    背景

    Description: Histone H1 protein binds to linker DNA between nucleosomes forming the macromolecular structure known as the chromatin fiber. Histones H1 are necessary for the condensation of nucleosome chains into higher-order structured fibers. Acts also as a regulator of individual gene transcription through chromatin remodeling, nucleosome spacing and DNA methylation (By similarity).

    Gene: HIST1H1C

    分子量

    32-33 kDa

    基因ID

    3006

    UniProt

    P16403
You are here: