电话:
+86 (0512) 65829739
传真:
+86 (010) 6788 5057
电子邮件:
orders@antibodies-online.cn

HIST1H1C 抗体

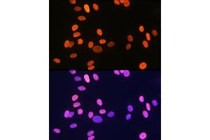
The 兔 单克隆 anti-HIST1H1C antibody (ABIN1678779) specifically detects HIST1H1C in WB 和 IF. The antibody is reactive with 人 samples.
产品编号 ABIN1678779
发货至: 中国
Contact our Customer Service for availability and price in your country. Contact Info

Our Local Distributor

中国
北京 101111
No. 88 KeChuang 6th Street
Beijing Economic Technological Development Area
Room 801-803
4A Biotech Co.,Ltd.
Tel +86 (0512) 65829739 传真 +86 (010) 6788 5057

Quick Overview for HIST1H1C 抗体 (ABIN1678779)

抗原

See all HIST1H1C 抗体
HIST1H1C (Histone Cluster 1, H1c (HIST1H1C))

适用

  • 88
  • 30
  • 30
  • 1
  • 1
  • 1
  • 1
  • 1

宿主

  • 88
  • 1

克隆类型

  • 65
  • 24
单克隆

标记

  • 58
  • 4
  • 3
  • 3
  • 3
  • 3
  • 3
  • 3
  • 3
  • 2
  • 1
  • 1
  • 1
  • 1
This HIST1H1C antibody is un-conjugated

应用范围

  • 54
  • 46
  • 35
  • 27
  • 22
  • 19
  • 13
  • 3
  • 3
  • 3
Western Blotting (WB), Immunofluorescence (IF)
  • 交叉反应

    人, 小鼠, 大鼠

    产品特性

    Monoclonal Antibodies

    纯化方法

    Affinity purification

    免疫原

    A synthesized peptide derived from human Histone H1.2

    亚型

    IgG
  • 应用备注

    WB,1:500 - 1:2000,IF,1:50 - 1:200

    限制

    仅限研究用
  • 缓冲液

    PBS with 0.02 % sodium azide,0.05 % BSA,50 % glycerol, pH 7.3.

    储存液

    Sodium azide

    注意事项

    This product contains Sodium azide: a POISONOUS AND HAZARDOUS SUBSTANCE which should be handled by trained staff only.

    储存条件

    -20 °C

    储存方法

    Store at -20°C. Avoid freeze / thaw cycles.
  • 抗原

    HIST1H1C (Histone Cluster 1, H1c (HIST1H1C))

    别名

    HIST1H1C

    背景

    Histones are basic nuclear proteins responsible for nucleosome structure of the chromosomal fiber in eukaryotes. Two molecules of each of the four core histones (H2A, H2B, H3, and H4) form an octamer, around which approximately 146 bp of DNA is wrapped in repeating units, called nucleosomes. The linker histone, H1, interacts with linker DNA between nucleosomes and functions in the compaction of chromatin into higher order structures. This gene is intronless and encodes a replication-dependent histone that is a member of the histone H1 family. Transcripts from this gene lack polyA tails but instead contain a palindromic termination element. This gene is found in the large histone gene cluster on chromosome 6. [provided by RefSeq, Aug 2015],H1.2, H1C, H1F2, H1s-1,DNA Damage & Repair,Epigenetics & Nuclear Signaling,Histones,HIST1H1C

    分子量

    29 kDa

    基因ID

    3006

    UniProt

    P16403
You are here: