电话:
+86 (0512) 65829739
传真:
+86 (010) 6788 5057
电子邮件:
orders@antibodies-online.cn

Cullin 1 抗体

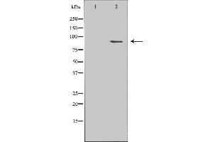
The 兔 多克隆 anti-Cullin 1 antibody (ABIN6261106) specifically detects Cullin 1 in WB, IHC, IF, ELISA 和 ICC. The antibody is reactive with 人, 小鼠 和 大鼠 samples.
产品编号 ABIN6261106
发货至: 中国
Contact our Customer Service for availability and price in your country. Contact Info

Our Local Distributor

中国
北京 101111
No. 88 KeChuang 6th Street
Beijing Economic Technological Development Area
Room 801-803
4A Biotech Co.,Ltd.
Tel +86 (0512) 65829739 传真 +86 (010) 6788 5057

Quick Overview for Cullin 1 抗体 (ABIN6261106)

抗原

See all Cullin 1 (CUL1) 抗体
Cullin 1 (CUL1)

适用

  • 93
  • 52
  • 47
  • 7
  • 6
  • 5
  • 5
  • 5
  • 4
  • 4
  • 2
  • 2
  • 2
  • 2
  • 1
  • 1
  • 1
人, 小鼠, 大鼠

宿主

  • 93
  • 1

克隆类型

  • 63
  • 31
多克隆

标记

  • 43
  • 6
  • 4
  • 4
  • 4
  • 4
  • 4
  • 4
  • 2
  • 2
  • 2
  • 2
  • 1
  • 1
  • 1
  • 1
  • 1
  • 1
  • 1
  • 1
  • 1
  • 1
  • 1
  • 1
  • 1
This Cullin 1 antibody is un-conjugated

应用范围

  • 60
  • 35
  • 28
  • 21
  • 17
  • 13
  • 13
  • 9
  • 8
  • 3
  • 3
  • 2
  • 1
  • 1
Western Blotting (WB), Immunohistochemistry (IHC), Immunofluorescence (IF), ELISA, Immunocytochemistry (ICC)
  • 特异性

    CUL1 Antibody detects endogenous levels of total CUL1

    交叉反应

    人, 小鼠, 大鼠

    纯化方法

    The antiserum was purified by peptide affinity chromatography using SulfoLinkTM Coupling Resin (Thermo Fisher Scientific).

    免疫原

    A synthesized peptide derived from human CUL1

    亚型

    IgG
  • 应用备注

    WB 1:500-1:2000 IHC 1:50-1:200, IF/ICC 1:100-1:500

    限制

    仅限研究用
  • 状态

    Liquid

    浓度

    1 mg/mL

    缓冲液

    Rabbit IgG in phosphate buffered saline ,  pH 7.4, 150  mM NaCl, 0.02 % sodium azide and 50 % glycerol.

    储存液

    Sodium azide

    注意事项

    This product contains Sodium azide: a POISONOUS AND HAZARDOUS SUBSTANCE which should be handled by trained staff only.

    储存条件

    -20 °C

    储存方法

    Store at -20 °C.Stable for 12 months from date of receipt

    有效期

    12 months
  • 抗原

    Cullin 1 (CUL1)

    别名

    CUL1

    背景

    Description: Core component of multiple cullin-RING-based SCF (SKP1-CUL1-F-box protein) E3 ubiquitin-protein ligase complexes, which mediate the ubiquitination of proteins involved in cell cycle progression, signal transduction and transcription. SCF complexes and ARIH1 collaborate in tandem to mediate ubiquitination of target proteins (PubMed:27565346). In the SCF complex, serves as a rigid scaffold that organizes the SKP1-F-box protein and RBX1 subunits. May contribute to catalysis through positioning of the substrate and the ubiquitin-conjugating enzyme. The E3 ubiquitin-protein ligase activity of the complex is dependent on the neddylation of the cullin subunit and exchange of the substrate recognition component is mediated by TIP120A/CAND1. The functional specificity of the SCF complex depends on the F-box protein as substrate recognition component. SCF(BTRC) and SCF(FBXW11) direct ubiquitination of CTNNB1 and participate in Wnt signaling. SCF(FBXW11) directs ubiquitination of phosphorylated NFKBIA. SCF(BTRC) directs ubiquitination of NFKBIB, NFKBIE, ATF4, SMAD3, SMAD4, CDC25A, FBXO5 and probably NFKB2. SCF(BTRC) and/or SCF(FBXW11) direct ubiquitination of CEP68 (PubMed:25704143, PubMed:25503564). SCF(SKP2) directs ubiquitination of phosphorylated CDKN1B/p27kip and is involved in regulation of G1/S transition. SCF(SKP2) directs ubiquitination of ORC1, CDT1, RBL2, ELF4, CDKN1A, RAG2, FOXO1A, and probably MYC and TAL1. SCF(FBXW7) directs ubiquitination of cyclin E, NOTCH1 released notch intracellular domain (NICD), and probably PSEN1. SCF(FBXW2) directs ubiquitination of GCM1. SCF(FBXO32) directs ubiquitination of MYOD1. SCF(FBXO7) directs ubiquitination of BIRC2 and DLGAP5. SCF(FBXO33) directs ubiquitination of YBX1. SCF(FBXO1) directs ubiquitination of BCL6 and DTL but does not seem to direct ubiquitination of TP53. SCF(BTRC) mediates the ubiquitination of NFKBIA at 'Lys-21' and 'Lys-22', the degradation frees the associated NFKB1-RELA dimer to translocate into the nucleus and to activate transcription. SCF(CCNF) directs ubiquitination of CCP110. SCF(FBXL3) and SCF(FBXL21) direct ubiquitination of CRY1 and CRY2. SCF(FBXO9) directs ubiquitination of TTI1 and TELO2. SCF(FBXO10) directs ubiquitination of BCL2.

    Gene: CUL1

    分子量

    90kDa

    基因ID

    8454

    UniProt

    Q13616

    途径

    Cell Division Cycle, Hedgehog Signaling, Mitotic G1-G1/S Phases, Regulation of Cell Size
You are here: