CEACAM5 抗体 (Internal Region)
Our Local Distributor
北京 101111
Quick Overview for CEACAM5 抗体 (Internal Region) (ABIN6260741)
抗原
See all CEACAM5 抗体适用
宿主
克隆类型
标记
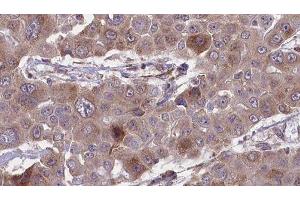
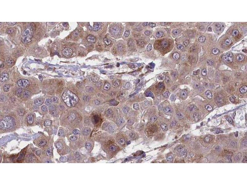
应用范围
-
-
抗原表位
- Internal Region
-
特异性
- CEACAM5 Antibody detects endogenous levels of total CEACAM5.
-
纯化方法
- The antiserum was purified by peptide affinity chromatography using SulfoLinkTM Coupling Resin (Thermo Fisher Scientific).
-
免疫原
- A synthesized peptide derived from human CEACAM5, corresponding to a region within the internal amino acids.
-
亚型
- IgG
-
-
-
-
应用备注
- WB 1:500-1:2000, IHC 1:50-1:200, ELISA(peptide) 1:20000-1:40000
-
限制
- 仅限研究用
-
-
-
状态
- Liquid
-
浓度
- 1 mg/mL
-
缓冲液
- Rabbit IgG in phosphate buffered saline , pH 7.4, 150 mM NaCl, 0.02 % sodium azide and 50 % glycerol.
-
储存液
- Sodium azide
-
注意事项
- This product contains Sodium azide: a POISONOUS AND HAZARDOUS SUBSTANCE which should be handled by trained staff only.
-
储存条件
- -20 °C
-
储存方法
- Store at -20 °C. Stable for 12 months from date of receipt.
-
有效期
- 12 months
-
-
- CEACAM5 (Carcinoembryonic Antigen-Related Cell Adhesion Molecule 5 (CEACAM5))
-
别名
- CEACAM5
-
背景
-
Description: Cell surface glycoprotein that plays a role in cell adhesion and in intracellular signaling. Receptor for E.coli Dr adhesins.
Gene: CEACAM5
-
分子量
- 77kDa
-
基因ID
- 1048
-
UniProt
- P06731
抗原
-