电话:
+86 (0512) 65829739
传真:
+86 (010) 6788 5057
电子邮件:
orders@antibodies-online.cn

CEACAM5 抗体

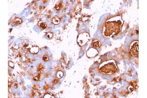
The 小鼠 单克隆 anti-CEACAM5 antibody is suitable to detect CEACAM5 in samples from 人. It has been validated for FACS, IF 和 IHC (f).
产品编号 ABIN6939072
发货至: 中国
Contact our Customer Service for availability and price in your country. Contact Info

Our Local Distributor

中国
北京 101111
No. 88 KeChuang 6th Street
Beijing Economic Technological Development Area
Room 801-803
4A Biotech Co.,Ltd.
Tel +86 (0512) 65829739 传真 +86 (010) 6788 5057

Quick Overview for CEACAM5 抗体 (ABIN6939072)

抗原

See all CEACAM5 抗体
CEACAM5 (Carcinoembryonic Antigen-Related Cell Adhesion Molecule 5 (CEACAM5))

适用

  • 176
  • 20
  • 5
  • 5
  • 1

宿主

  • 108
  • 46
  • 23
  • 1
小鼠

克隆类型

  • 139
  • 35
  • 2
单克隆

标记

  • 100
  • 10
  • 7
  • 7
  • 7
  • 7
  • 7
  • 7
  • 6
  • 4
  • 3
  • 3
  • 2
  • 1
  • 1
  • 1
  • 1
  • 1
  • 1
This CEACAM5 antibody is un-conjugated

应用范围

  • 85
  • 76
  • 57
  • 48
  • 33
  • 24
  • 11
  • 9
  • 8
  • 6
  • 4
  • 2
  • 2
  • 1
  • 1
  • 1
  • 1
  • 1
  • 1
Flow Cytometry (FACS), Immunofluorescence (IF), Immunohistochemistry (Formalin-fixed Sections) (IHC (f))

克隆位点

CEA31
  • 特异性

    This antibody recognizes proteins of 80-200 kDa, identified as different members of CEA family. CEA is synthesized during development in the fetal gut and is re-expressed in increased amounts in intestinal carcinomas and several other tumors. This MAb does not react with nonspecific cross-reacting antigen (NCA) and with human polymorphonuclear leucocytes. It shows no reaction with a variety of normal tissues and is suitable for staining of formalin/paraffin tissues. CEA is not found in benign glands, stroma, or malignant prostatic cells. Antibody to CEA is useful in detecting early foci of gastric carcinoma and in distinguishing pulmonary adenocarcinomas (60-70 % are CEA+) from pleural mesotheliomas (rarely or weakly CEA+). Anti-CEA positivity is seen in adenocarcinomas from the lung, colon, stomach, esophagus, pancreas, gallbadder, urachus, salivary gland, ovary, and endocervix.

    交叉反应 (详细)

    Human and Monkey,

    纯化方法

    200ug/ml of Ab purified from Bioreactor Concentrate by Protein A/G.

    免疫原

    Human colon carcinoma extract

    亚型

    IgG1
  • 应用备注

    Positive Control: MCF7 or 293T cells. Human colon carcinoma.

    Known Application: Flow Cytometry (0.5-1 μg/million cells), Immunofluorescence (1-2 μg/mL), ,Immunohistochemistry (Formalin-fixed) (1-2 μg/mL for 30 minutes at RT),(Staining of formalin-fixed tissues requires heating tissue sections in 10 mM Tris with 1 mM EDTA, pH 9.0, for 45 min at 95 °C followed by cooling at RT for 20 minutes),Optimal dilution for a specific application should be determined.

    限制

    仅限研究用
  • 浓度

    200 μg/mL

    缓冲液

    Prepared in 10 mM PBS with 0.05 % BSA and 0.05 % azide.

    储存液

    Sodium azide

    注意事项

    This product contains Sodium azide: a POISONOUS AND HAZARDOUS SUBSTANCE which should be handled by trained staff only.

    储存条件

    4 °C,-80 °C

    储存方法

    Antibody with azide - store at 2 to 8 °C. Antibody is stable for 24 months. Non-hazardous. Also available WITHOUT BSA & azide at 1.0mg/ml.

    有效期

    24 months
  • 抗原

    CEACAM5 (Carcinoembryonic Antigen-Related Cell Adhesion Molecule 5 (CEACAM5))

    别名

    CEACAM5

    背景

    Carcinoembryonic Antigen-related Cell Adhesion Molecule 5, CEACAM5, CD66, Biliary Glycoprotein (BGP-1),Carcinoembryonic Antigen (CEA) / CD66
    Cellular localisation: Cytoplasmic and luminal surface

    分子量

    80-200kDa

    基因ID

    1048, 709196

    UniProt

    P06731
You are here: