AKR1C4 抗体 (AA 1-324)
Our Local Distributor
北京 101111
Quick Overview for AKR1C4 抗体 (AA 1-324) (ABIN626031)
抗原
See all AKR1C4 抗体适用
宿主
克隆类型
标记
应用范围
克隆位点
-
-
抗原表位
- AA 1-324
-
特异性
- Human AKR1C4
-
纯化方法
- Purified from ascites by Protein A
-
免疫原
-
AKR1C4 (AAH20744, 1 a.a. ~ 324 a.a) full length recombinant protein with GST tag. MW of the GST tag alone is 26 KDa.
Type of Immunogen: Recombinant protein -
亚型
- IgG1 kappa
-
-
-
-
应用备注
-
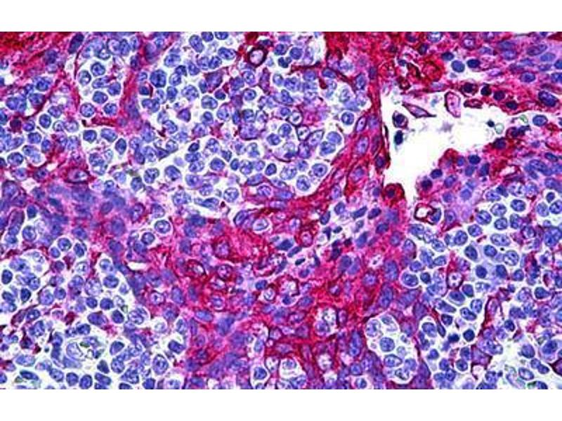
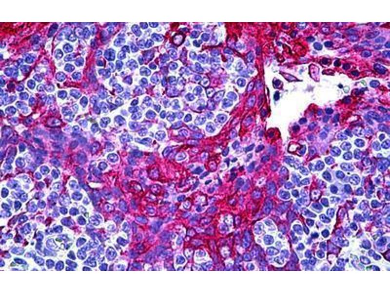
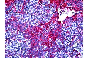
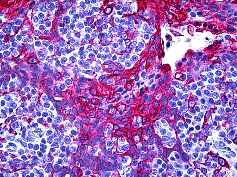
Approved: ELISA, IF (15 μg/mL), IHC, IHC-P (5 μg/mL), WB
Usage: Immunohistochemistry: Formalin-fixed paraffin-embedded sections. Western Blot: Cell lysate, Transfected lysate, Recombinant protein. -
说明
-
Target Species of Antibody: Human
-
限制
- 仅限研究用
-
-
-
状态
- Liquid
-
浓度
- Lot specific
-
缓冲液
- PBS, pH 7.4
-
注意事项
- avoid freeze thaw cycles.
-
储存条件
- 4 °C,-20 °C
-
储存方法
- Short term 4°C, long term aliquot and store at -20°C, avoid freeze-thaw cycles.
-
-
- AKR1C4 (Aldo-keto Reductase Family 1 Member C4 (AKR1C4))
-
别名
- AKR1C4 / Chlordecone Reductase
-
背景
-
Name/Gene ID: AKR1C4
Synonyms: AKR1C4, 3-alpha-HSD, 3-alpha-HSD1, Chlordecone reductase, CDR, CHDR, DD-4, Dihydrodiol dehydrogenase 4, C11, DD4, HAKRA -
基因ID
- 1109
-
UniProt
- P17516
-
途径
- Steroid Hormone Biosynthesis
抗原
-