电话:
+86 (0512) 65829739
传真:
+86 (010) 6788 5057
电子邮件:
orders@antibodies-online.cn

ATRIP 抗体 (N-Term)

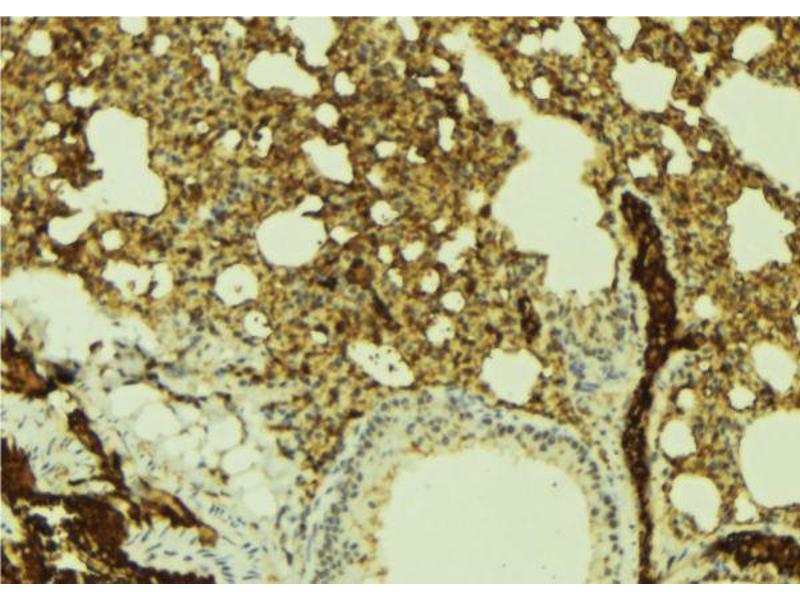
The 兔 多克隆 anti-ATRIP antibody (ABIN6260146) specifically detects ATRIP in WB, ELISA, IHC, IF 和 ICC. The antibody is reactive with 人, 小鼠 和 大鼠 samples.
产品编号 ABIN6260146
发货至: 中国
Contact our Customer Service for availability and price in your country. Contact Info

Our Local Distributor

中国
北京 101111
No. 88 KeChuang 6th Street
Beijing Economic Technological Development Area
Room 801-803
4A Biotech Co.,Ltd.
Tel +86 (0512) 65829739 传真 +86 (010) 6788 5057

Quick Overview for ATRIP 抗体 (N-Term) (ABIN6260146)

抗原

See all ATRIP 抗体
ATRIP (ATR Interacting Protein (ATRIP))

适用

  • 78
  • 26
  • 24
  • 2
  • 1
人, 小鼠, 大鼠

宿主

  • 72
  • 6

克隆类型

  • 60
  • 18
多克隆

标记

  • 43
  • 4
  • 2
  • 2
  • 2
  • 2
  • 2
  • 2
  • 2
  • 2
  • 1
  • 1
  • 1
  • 1
  • 1
  • 1
  • 1
  • 1
  • 1
  • 1
  • 1
  • 1
  • 1
  • 1
  • 1
This ATRIP antibody is un-conjugated

应用范围

  • 61
  • 30
  • 25
  • 16
  • 15
  • 14
  • 13
  • 9
  • 8
  • 6
  • 5
  • 3
  • 1
  • 1
Western Blotting (WB), ELISA, Immunohistochemistry (IHC), Immunofluorescence (IF), Immunocytochemistry (ICC)
  • 抗原表位

    • 21
    • 15
    • 12
    • 9
    • 5
    • 3
    • 2
    • 2
    • 2
    • 1
    • 1
    • 1
    • 1
    • 1
    • 1
    N-Term

    特异性

    ATRIP Antibody detects endogenous levels of total ATRIP.

    预测反应

    Pig,Bovine,Sheep,Rabbit,Dog,Chicken

    纯化方法

    The antiserum was purified by peptide affinity chromatography using SulfoLinkTM Coupling Resin (Thermo Fisher Scientific).

    免疫原

    A synthesized peptide derived from human ATRIP, corresponding to a region within N-terminal amino acids.

    亚型

    IgG
  • 应用备注

    WB 1:500-1:2000, IHC 1:50-1:200, IF/ICC 1:100-1:500, ELISA(peptide) 1:20000-1:40000

    限制

    仅限研究用
  • 状态

    Liquid

    浓度

    1 mg/mL

    缓冲液

    Rabbit IgG in phosphate buffered saline , pH 7.4, 150 mM NaCl, 0.02 % sodium azide and 50 % glycerol.

    储存液

    Sodium azide

    注意事项

    This product contains Sodium azide: a POISONOUS AND HAZARDOUS SUBSTANCE which should be handled by trained staff only.

    储存条件

    -20 °C

    储存方法

    Store at -20 °C. Stable for 12 months from date of receipt.

    有效期

    12 months
  • 抗原

    ATRIP (ATR Interacting Protein (ATRIP))

    别名

    ATRIP

    背景

    Description: Required for checkpoint signaling after DNA damage. Required for ATR expression, possibly by stabilizing the protein.

    Gene: ATRIP

    分子量

    80kDa

    基因ID

    84126

    UniProt

    Q8WXE1
You are here: