电话:
+86 (0512) 65829739
传真:
+86 (010) 6788 5057
电子邮件:
orders@antibodies-online.cn

ATRIP 抗体 (AA 42-309)

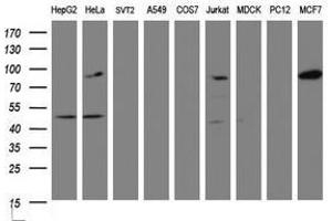
The 小鼠 单克隆 anti-ATRIP antibody is suitable to detect ATRIP in samples from 人. It has been validated for WB.
产品编号 ABIN1491509
发货至: 中国
Contact our Customer Service for availability and price in your country. Contact Info

Our Local Distributor

中国
北京 101111
No. 88 KeChuang 6th Street
Beijing Economic Technological Development Area
Room 801-803
4A Biotech Co.,Ltd.
Tel +86 (0512) 65829739 传真 +86 (010) 6788 5057

Quick Overview for ATRIP 抗体 (AA 42-309) (ABIN1491509)

抗原

See all ATRIP 抗体
ATRIP (ATR Interacting Protein (ATRIP))

适用

  • 78
  • 27
  • 25
  • 2
  • 1

宿主

  • 73
  • 5
小鼠

克隆类型

  • 61
  • 17
单克隆

标记

  • 43
  • 4
  • 2
  • 2
  • 2
  • 2
  • 2
  • 2
  • 2
  • 2
  • 1
  • 1
  • 1
  • 1
  • 1
  • 1
  • 1
  • 1
  • 1
  • 1
  • 1
  • 1
  • 1
  • 1
  • 1
This ATRIP antibody is un-conjugated

应用范围

  • 61
  • 31
  • 26
  • 17
  • 16
  • 14
  • 13
  • 9
  • 8
  • 6
  • 5
  • 3
  • 1
  • 1
Western Blotting (WB)

克隆位点

1G6
  • 抗原表位

    • 21
    • 15
    • 12
    • 9
    • 4
    • 3
    • 3
    • 2
    • 2
    • 1
    • 1
    • 1
    • 1
    • 1
    • 1
    AA 42-309

    特异性

    Human ATRIP

    纯化方法

    Protein A/G purified

    免疫原

    Human recombinant protein fragment corresponding to amino acids 42-309 of human ATRIP(NP_569055) produced in E. coli.

    Type of Immunogen: Recombinant protein

    亚型

    IgG2b
  • 应用备注

    Approved: WB (1:2000)

    说明

    Target Species of Antibody: Human

    限制

    仅限研究用
  • 状态

    Liquid

    浓度

    Lot specific

    缓冲液

    PBS,  pH 7.3, 1 % BSA, 50 % glycerol, 0.02 % sodium azide

    储存液

    Sodium azide

    注意事项

    This product contains Sodium azide: a POISONOUS AND HAZARDOUS SUBSTANCE which should be handled by trained staff only.

    注意事项

    Minimize freezing and thawing.

    储存条件

    -20 °C

    储存方法

    Store at -20°C. Avoid freeze-thaw cycles.
  • 抗原

    ATRIP (ATR Interacting Protein (ATRIP))

    别名

    ATRIP

    背景

    Name/Gene ID: ATRIP

    Synonyms: ATRIP, AGS1, ATR-interacting protein, ATR interacting protein

    基因ID

    84126

    NCBI登录号

    NP_569055

    UniProt

    Q8WXE1
You are here: