电话:
+86 (0512) 65829739
传真:
+86 (010) 6788 5057
电子邮件:
orders@antibodies-online.cn

E2F8 抗体 (C-Term)

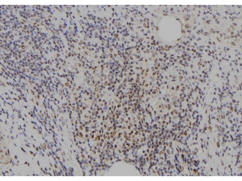
The 兔 多克隆 anti-E2F8 antibody (ABIN6257152) specifically detects E2F8 in WB, ELISA, IHC, IF 和 ICC. The antibody is reactive with 人 samples.
产品编号 ABIN6257152
发货至: 中国
Contact our Customer Service for availability and price in your country. Contact Info

Our Local Distributor

中国
北京 101111
No. 88 KeChuang 6th Street
Beijing Economic Technological Development Area
Room 801-803
4A Biotech Co.,Ltd.
Tel +86 (0512) 65829739 传真 +86 (010) 6788 5057

Quick Overview for E2F8 抗体 (C-Term) (ABIN6257152)

抗原

See all E2F8 抗体
E2F8 (E2F Transcription Factor 8 (E2F8))

适用

  • 43
  • 26
  • 25
  • 14
  • 13
  • 4
  • 4
  • 4
  • 2
  • 2
  • 2
  • 1
  • 1

宿主

  • 40
  • 2
  • 1

克隆类型

  • 41
  • 2
多克隆

标记

  • 19
  • 2
  • 2
  • 2
  • 2
  • 2
  • 2
  • 1
  • 1
  • 1
  • 1
  • 1
  • 1
  • 1
  • 1
  • 1
  • 1
  • 1
  • 1
This E2F8 antibody is un-conjugated

应用范围

  • 19
  • 12
  • 7
  • 4
  • 2
  • 1
  • 1
Western Blotting (WB), ELISA, Immunohistochemistry (IHC), Immunofluorescence (IF), Immunocytochemistry (ICC)
  • 抗原表位

    • 3
    • 2
    • 2
    • 1
    • 1
    • 1
    • 1
    • 1
    • 1
    C-Term

    特异性

    E2F8 Antibody detects endogenous levels of total E2F8.

    预测反应

    Pig,Bovine,Horse,Dog

    纯化方法

    The antiserum was purified by peptide affinity chromatography using SulfoLinkTM Coupling Resin (Thermo Fisher Scientific).

    免疫原

    A synthesized peptide derived from human E2F8, corresponding to a region within C-terminal amino acids.

    亚型

    IgG
  • 应用备注

    WB 1:500-1:2000, IHC 1:50-1:200, IF/ICC 1:100-1:500, ELISA(peptide) 1:20000-1:40000

    限制

    仅限研究用
  • 状态

    Liquid

    浓度

    1 mg/mL

    缓冲液

    Rabbit IgG in phosphate buffered saline, pH 7.4, 150 mM NaCl, 0.02 % sodium azide and 50 % glycerol.

    储存液

    Sodium azide

    注意事项

    This product contains Sodium azide: a POISONOUS AND HAZARDOUS SUBSTANCE which should be handled by trained staff only.

    储存条件

    -20 °C

    有效期

    12 months
  • 抗原

    E2F8 (E2F Transcription Factor 8 (E2F8))

    别名

    E2F8

    背景

    Description: Atypical E2F transcription factor that participates in various processes such as angiogenesis and polyploidization of specialized cells. Mainly acts as a transcription repressor that binds DNA independently of DP proteins and specifically recognizes the E2 recognition site 5'-TTTC[CG]CGC-3'. Directly represses transcription of classical E2F transcription factors such as E2F1: component of a feedback loop in S phase by repressing the expression of E2F1, thereby preventing p53/TP53-dependent apoptosis. Plays a key role in polyploidization of cells in placenta and liver by regulating the endocycle, probably by repressing genes promoting cytokinesis and antagonizing action of classical E2F proteins (E2F1, E2F2 and/or E2F3). Required for placental development by promoting polyploidization of trophoblast giant cells. Acts as a promoter of sprouting angiogenesis, possibly by acting as a transcription activator: associates with HIF1A, recognizes and binds the VEGFA promoter, which is different from canonical E2 recognition site, and activates expression of the VEGFA gene.

    Gene: E2F8

    分子量

    94 kDa

    基因ID

    79733

    UniProt

    A0AVK6
You are here: