电话:
+86 (0512) 65829739
传真:
+86 (010) 6788 5057
电子邮件:
orders@antibodies-online.cn

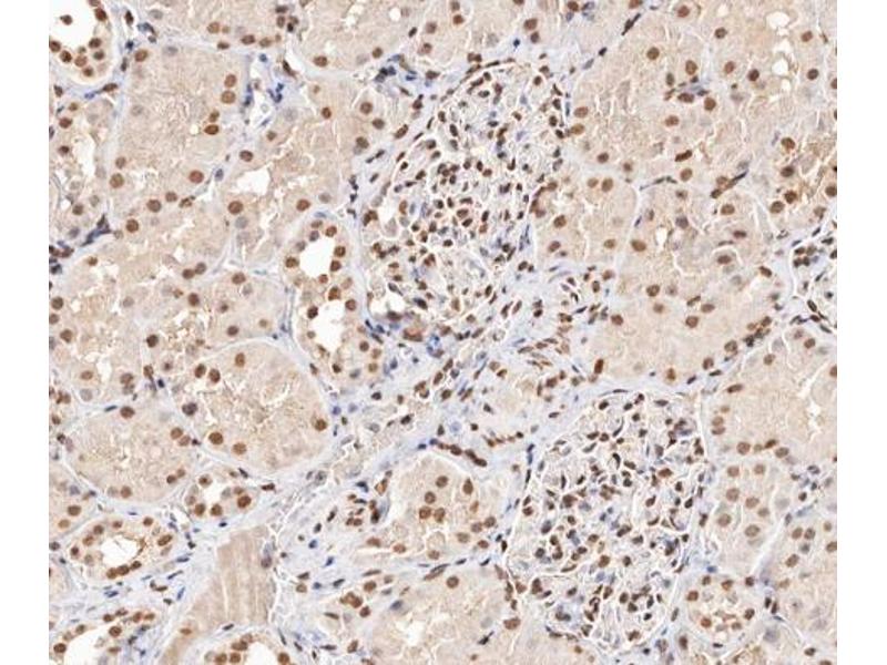
Stathmin 1 抗体 (pSer15)

The 兔 多克隆 anti-Stathmin 1 antibody is suitable to detect Stathmin 1 in samples from 人, 小鼠 和 大鼠. It has been validated for WB, IHC, ELISA, IF 和 ICC.
产品编号 ABIN6256152
发货至: 中国
Contact our Customer Service for availability and price in your country. Contact Info

Our Local Distributor

中国
北京 101111
No. 88 KeChuang 6th Street
Beijing Economic Technological Development Area
Room 801-803
4A Biotech Co.,Ltd.
Tel +86 (0512) 65829739 传真 +86 (010) 6788 5057

Quick Overview for Stathmin 1 抗体 (pSer15) (ABIN6256152)

抗原

See all Stathmin 1 (STMN1) 抗体
Stathmin 1 (STMN1)

适用

  • 198
  • 118
  • 117
  • 17
  • 16
  • 12
  • 10
  • 10
  • 9
  • 7
  • 3
  • 3
  • 2
  • 2
  • 1
人, 小鼠, 大鼠

宿主

  • 182
  • 16
  • 1

克隆类型

  • 155
  • 43
多克隆

标记

  • 113
  • 9
  • 7
  • 7
  • 7
  • 7
  • 7
  • 7
  • 4
  • 3
  • 2
  • 2
  • 2
  • 2
  • 2
  • 2
  • 2
  • 2
  • 2
  • 2
  • 2
  • 1
  • 1
  • 1
  • 1
  • 1
  • 1
This Stathmin 1 antibody is un-conjugated

应用范围

  • 137
  • 95
  • 48
  • 47
  • 32
  • 27
  • 25
  • 20
  • 18
  • 13
  • 4
  • 3
  • 3
Western Blotting (WB), Immunohistochemistry (IHC), ELISA, Immunofluorescence (IF), Immunocytochemistry (ICC)
  • 抗原表位

    • 27
    • 26
    • 21
    • 12
    • 10
    • 7
    • 5
    • 4
    • 4
    • 3
    • 3
    • 3
    • 3
    • 2
    • 2
    • 2
    • 2
    • 2
    • 2
    • 2
    • 2
    • 2
    • 1
    • 1
    • 1
    • 1
    • 1
    • 1
    • 1
    • 1
    • 1
    • 1
    • 1
    • 1
    • 1
    • 1
    • 1
    • 1
    pSer15

    特异性

    Phospho-Stathmin 1 (Ser15) Antibody detects endogenous levels of Stathmin 1 only when phosphorylated at Serine 15

    交叉反应

    人, 小鼠, 大鼠

    纯化方法

    The antibody is from purified rabbit serum by affinity purification via sequential chromatography on phospho- and non-phospho-peptide affinity columns.

    免疫原

    A synthesized peptide derived from human Stathmin 1 around the phosphorylation site of Serine 15

    亚型

    IgG
  • 应用备注

    WB 1:500-1:2000 IHC 1:50-1:200 IF/ICC 1:100-1:500

    限制

    仅限研究用
  • 状态

    Liquid

    浓度

    1 mg/mL

    缓冲液

    Rabbit IgG in phosphate buffered saline ,  pH 7.4, 150  mM NaCl, 0.02 % sodium azide and 50 % glycerol.

    储存液

    Sodium azide

    注意事项

    This product contains Sodium azide: a POISONOUS AND HAZARDOUS SUBSTANCE which should be handled by trained staff only.

    储存条件

    -20 °C

    储存方法

    Store at -20 °C.Stable for 12 months from date of receipt

    有效期

    12 months
  • 抗原

    Stathmin 1 (STMN1)

    别名

    Stathmin 1

    背景

    Description: Involved in the regulation of the microtubule (MT) filament system by destabilizing microtubules. Prevents assembly and promotes disassembly of microtubules. Phosphorylation at Ser-16 may be required for axon formation during neurogenesis. Involved in the control of the learned and innate fear (By similarity).

    Gene: STMN1

    分子量

    19kDa

    基因ID

    3925

    UniProt

    P16949

    途径

    MAPK Pathway, Microtubule Dynamics
You are here: