电话:
+86 (0512) 65829739
传真:
+86 (010) 6788 5057
电子邮件:
orders@antibodies-online.cn

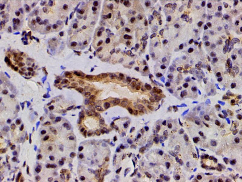
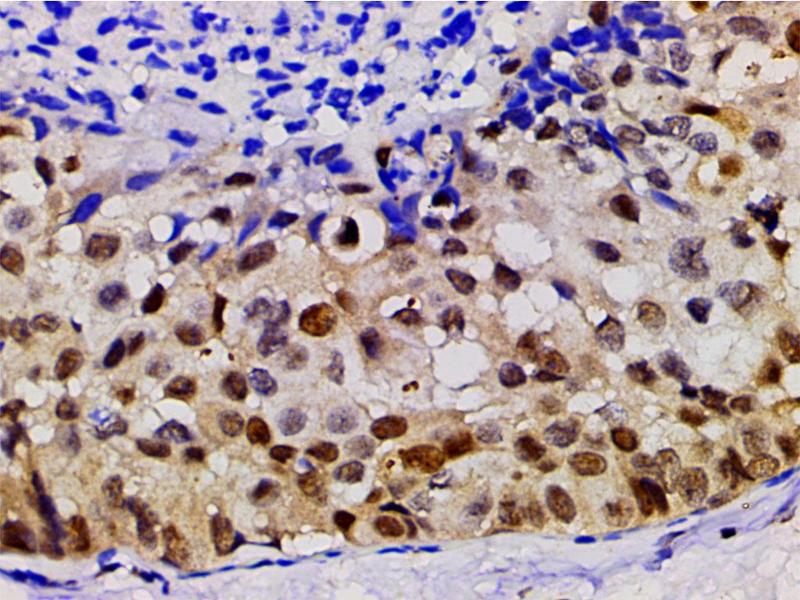
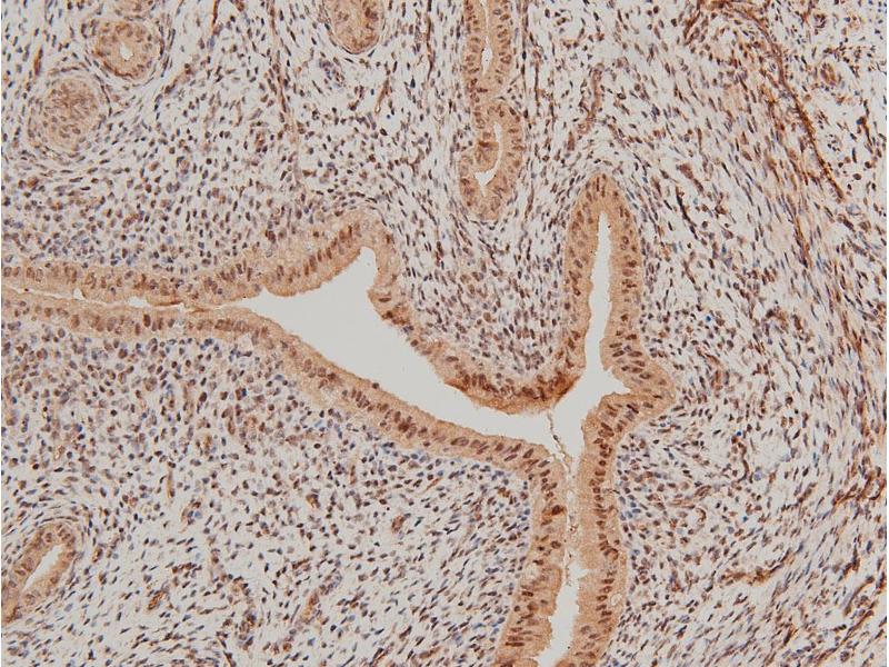
LIM Domain Kinase 1 抗体 (pThr508)

This 兔 多克隆 antibody specifically detects LIM Domain Kinase 1 in WB, ELISA, IHC, IF 和 ICC. It exhibits reactivity toward 人, 小鼠 和 大鼠.
产品编号 ABIN6255701
发货至: 中国
Contact our Customer Service for availability and price in your country. Contact Info

Our Local Distributor

中国
北京 101111
No. 88 KeChuang 6th Street
Beijing Economic Technological Development Area
Room 801-803
4A Biotech Co.,Ltd.
Tel +86 (0512) 65829739 传真 +86 (010) 6788 5057

Quick Overview for LIM Domain Kinase 1 抗体 (pThr508) (ABIN6255701)

抗原

See all LIM Domain Kinase 1 (LIMK1) 抗体
LIM Domain Kinase 1 (LIMK1)

适用

  • 108
  • 77
  • 71
  • 2
  • 2
  • 1
  • 1
  • 1
  • 1
  • 1
人, 小鼠, 大鼠

宿主

  • 103
  • 20
  • 3

克隆类型

  • 105
  • 21
多克隆

标记

  • 60
  • 9
  • 8
  • 5
  • 3
  • 3
  • 3
  • 3
  • 3
  • 3
  • 2
  • 2
  • 2
  • 2
  • 2
  • 2
  • 2
  • 2
  • 2
  • 2
  • 2
  • 2
  • 2
This LIM Domain Kinase 1 antibody is un-conjugated

应用范围

  • 90
  • 47
  • 27
  • 26
  • 26
  • 18
  • 14
  • 8
  • 7
  • 6
  • 6
  • 2
  • 1
  • 1
Western Blotting (WB), ELISA, Immunohistochemistry (IHC), Immunofluorescence (IF), Immunocytochemistry (ICC)
  • 抗原表位

    • 23
    • 15
    • 15
    • 8
    • 7
    • 7
    • 6
    • 5
    • 4
    • 3
    • 3
    • 3
    • 3
    • 3
    • 2
    • 2
    • 2
    • 1
    • 1
    • 1
    • 1
    • 1
    • 1
    • 1
    • 1
    • 1
    • 1
    • 1
    • 1
    pThr508

    特异性

    Phospho-LIMK1 (Thr508) Antibody detects endogenous levels of LIMK1 only when phosphorylated at Threonine 508.

    预测反应

    Pig,Bovine,Horse,Sheep,Rabbit,Dog,Chicken,Xenopus

    纯化方法

    The antibody is from purified rabbit serum by affinity purification via sequential chromatography on phospho- and non-phospho-peptide affinity columns.

    免疫原

    A synthesized peptide derived from human LIMK1 around the phosphorylation site of Thr508.

    亚型

    IgG
  • 应用备注

    WB 1:500-1:2000, IHC 1:50-1:200, IF/ICC 1:100-500, ELISA(peptide) 1:20000-1:40000

    限制

    仅限研究用
  • 状态

    Liquid

    浓度

    1 mg/mL

    缓冲液

    Rabbit IgG in phosphate buffered saline , pH 7.4, 150 mM NaCl, 0.02 % sodium azide and 50 % glycerol.

    储存液

    Sodium azide

    注意事项

    This product contains Sodium azide: a POISONOUS AND HAZARDOUS SUBSTANCE which should be handled by trained staff only.

    储存条件

    -20 °C

    储存方法

    Store at -20 °C. Stable for 12 months from date of receipt.

    有效期

    12 months
  • 抗原

    LIM Domain Kinase 1 (LIMK1)

    别名

    LIMK1

    背景

    Description: Serine/threonine-protein kinase that plays an essential role in the regulation of actin filament dynamics. Acts downstream of several Rho family GTPase signal transduction pathways. Activated by upstream kinases including ROCK1, PAK1 and PAK4, which phosphorylate LIMK1 on a threonine residue located in its activation loop. LIMK1 subsequently phosphorylates and inactivates the actin binding/depolymerizing factors cofilin-1/CFL1, cofilin-2/CFL2 and destrin/DSTN, thereby preventing the cleavage of filamentous actin (F-actin), and stabilizing the actin cytoskeleton. In this way LIMK1 regulates several actin-dependent biological processes including cell motility, cell cycle progression, and differentiation. Phosphorylates TPPP on serine residues, thereby promoting microtubule disassembly. Stimulates axonal outgrowth and may be involved in brain development. Isoform 3 has a dominant negative effect on actin cytoskeletal changes. Required for atypical chemokine receptor ACKR2-induced phosphorylation of cofilin (CFL1).

    Gene: LIMK1

    分子量

    70kDa

    基因ID

    3984

    UniProt

    P53667

    途径

    Caspase Cascade in Apoptosis, Regulation of Cell Size, CXCR4-mediated Signaling Events
You are here: