电话:
+86 (0512) 65829739
传真:
+86 (010) 6788 5057
电子邮件:
orders@antibodies-online.cn

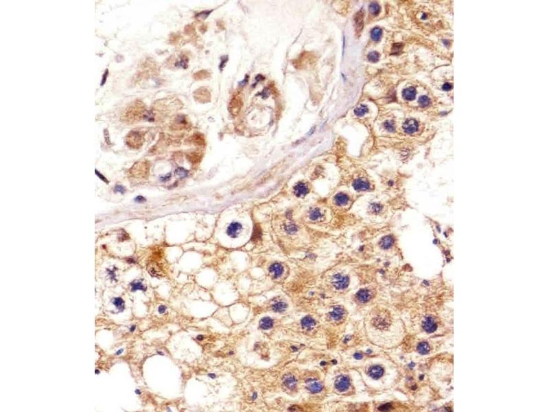
EPH Receptor A4 抗体 (AA 383-417)

This 兔 多克隆 antibody specifically detects EPH Receptor A4 in WB 和 IHC (p). It exhibits reactivity toward 人 和 小鼠.
产品编号 ABIN6243785
发货至: 中国
Contact our Customer Service for availability and price in your country. Contact Info

Our Local Distributor

中国
北京 101111
No. 88 KeChuang 6th Street
Beijing Economic Technological Development Area
Room 801-803
4A Biotech Co.,Ltd.
Tel +86 (0512) 65829739 传真 +86 (010) 6788 5057

Quick Overview for EPH Receptor A4 抗体 (AA 383-417) (ABIN6243785)

抗原

See all EPH Receptor A4 (EPHA4) 抗体
EPH Receptor A4 (EPHA4)

适用

  • 77
  • 34
  • 21
  • 5
  • 4
  • 4
  • 3
  • 3
  • 3
  • 2
  • 2
  • 2
  • 2
  • 1
  • 1
  • 1
  • 1
人, 小鼠

宿主

  • 90
  • 7
  • 3
  • 1

克隆类型

  • 87
  • 9
  • 2
多克隆

标记

  • 48
  • 9
  • 8
  • 5
  • 3
  • 3
  • 2
  • 2
  • 2
  • 2
  • 2
  • 2
  • 1
  • 1
  • 1
  • 1
  • 1
  • 1
  • 1
  • 1
  • 1
  • 1
  • 1
This EPH Receptor A4 antibody is un-conjugated

应用范围

  • 55
  • 47
  • 32
  • 13
  • 13
  • 13
  • 12
  • 11
  • 6
  • 4
  • 3
  • 2
  • 1
Western Blotting (WB), Immunohistochemistry (Paraffin-embedded Sections) (IHC (p))

克隆位点

RB50832
  • 抗原表位

    • 15
    • 11
    • 10
    • 9
    • 8
    • 7
    • 5
    • 3
    • 3
    • 3
    • 3
    • 2
    • 2
    • 2
    • 1
    • 1
    • 1
    • 1
    • 1
    • 1
    • 1
    • 1
    • 1
    AA 383-417

    纯化方法

    This antibody is purified through a protein A column, followed by peptide affinity purification.

    免疫原

    This EPHA4 antibody is generated from a rabbit immunized with a KLH conjugated synthetic peptide between 383-417 amino acids from the Central region of human EPHA4.

    亚型

    Ig Fraction
  • 应用备注

    WB: 1:1000. IHC-P: 1:25

    限制

    仅限研究用
  • 状态

    Liquid

    缓冲液

    Purified polyclonal antibody supplied in PBS with 0.09 % (W/V) sodium azide.

    储存液

    Sodium azide

    注意事项

    This product contains Sodium azide: a POISONOUS AND HAZARDOUS SUBSTANCE which should be handled by trained staff only.

    储存条件

    4 °C,-20 °C

    有效期

    6 months
  • 抗原

    EPH Receptor A4 (EPHA4)

    别名

    EPHA4

    背景

    Receptor tyrosine kinase which binds membrane-bound ephrin family ligands residing on adjacent cells, leading to contact-dependent bidirectional signaling into neighboring cells. The signaling pathway downstream of the receptor is referred to as forward signaling while the signaling pathway downstream of the ephrin ligand is referred to as reverse signaling. Highly promiscuous, it has the unique property among Eph receptors to bind and to be physiologically activated by both GPI-anchored ephrin-A and transmembrane ephrin-B ligands including EFNA1 and EFNB3. Upon activation by ephrin ligands, modulates cell morphology and integrin-dependent cell adhesion through regulation of the Rac, Rap and Rho GTPases activity. Plays an important role in the development of the nervous system controlling different steps of axonal guidance including the establishment of the corticospinal projections. May also control the segregation of motor and sensory axons during neuromuscular circuit development. Beside its role in axonal guidance plays a role in synaptic plasticity. Activated by EFNA1 phosphorylates CDK5 at 'Tyr-15' which in turn phosphorylates NGEF regulating RHOA and dendritic spine morphogenesis. In the nervous system, plays also a role in repair after injury preventing axonal regeneration and in angiogenesis playing a role in central nervous system vascular formation. Additionally, its promiscuity makes it available to participate in a variety of cell-cell signaling regulating for instance the development of the thymic epithelium.

    分子量

    109860

    UniProt

    P54764

    途径

    RTK signaling
You are here: