COPS7B 抗体 (AA 61-95)
Our Local Distributor
北京 101111
Quick Overview for COPS7B 抗体 (AA 61-95) (ABIN6243119)
抗原
See all COPS7B 抗体适用
宿主
克隆类型
标记
应用范围
克隆位点
-
-
抗原表位
- AA 61-95
-
预测反应
- B
-
纯化方法
- This antibody is purified through a protein A column, followed by peptide affinity purification.
-
免疫原
- This COPS7B antibody is generated from a rabbit immunized with a KLH conjugated synthetic peptide between 61-95 amino acids from human COPS7B.
-
亚型
- Ig Fraction
-
-
-
-
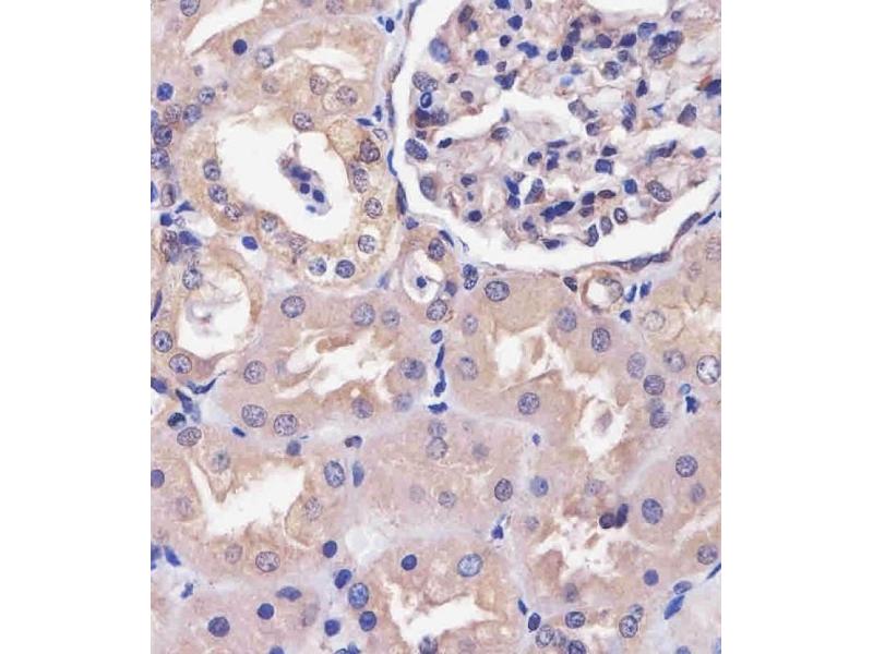
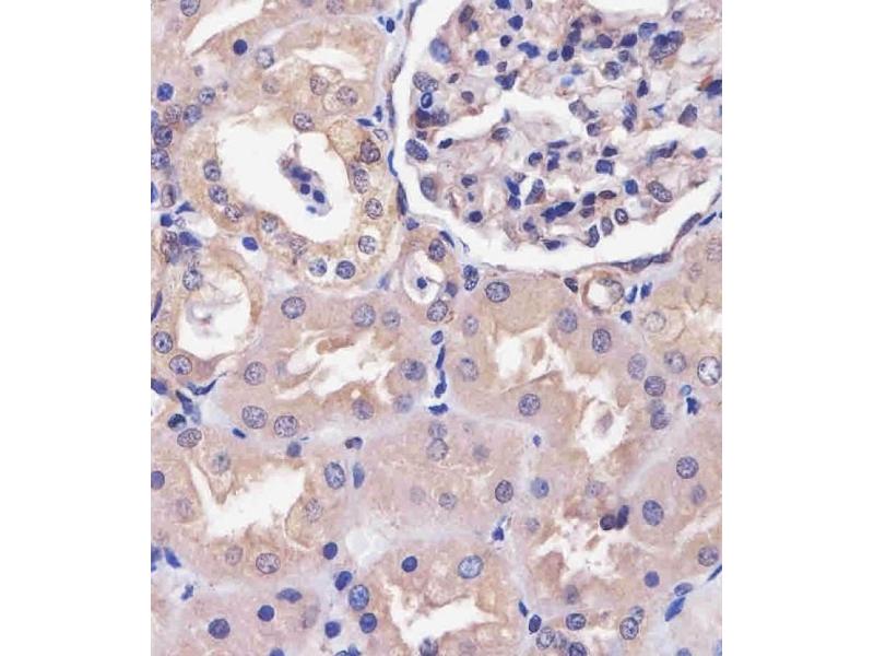
应用备注
- WB: 1:2000. IHC-P: 1:25. FC: 1:25
-
限制
- 仅限研究用
-
-
-
状态
- Liquid
-
缓冲液
- Purified polyclonal antibody supplied in PBS with 0.09 % (W/V) sodium azide.
-
储存液
- Sodium azide
-
注意事项
- This product contains Sodium azide: a POISONOUS AND HAZARDOUS SUBSTANCE which should be handled by trained staff only.
-
储存条件
- 4 °C,-20 °C
-
有效期
- 6 months
-
-
- COPS7B (COP9 Signalosome Complex Subunit 7b (COPS7B))
-
别名
- COPS7B
-
背景
- Component of the COP9 signalosome complex (CSN), a complex involved in various cellular and developmental processes. The CSN complex is an essential regulator of the ubiquitin (Ubl) conjugation pathway by mediating the deneddylation of the cullin subunits of SCF-type E3 ligase complexes, leading to decrease the Ubl ligase activity of SCF-type complexes such as SCF, CSA or DDB2. The complex is also involved in phosphorylation of p53/TP53, JUN, I-kappa-B-alpha/NFKBIA, ITPK1 and IRF8/ICSBP, possibly via its association with CK2 and PKD kinases. CSN-dependent phosphorylation of TP53 and JUN promotes and protects degradation by the Ubl system, respectively.
-
分子量
- 29622
-
UniProt
- Q9H9Q2
-
途径
- Cell Division Cycle
抗原
-