电话:
+86 (0512) 65829739
传真:
+86 (010) 6788 5057
电子邮件:
orders@antibodies-online.cn

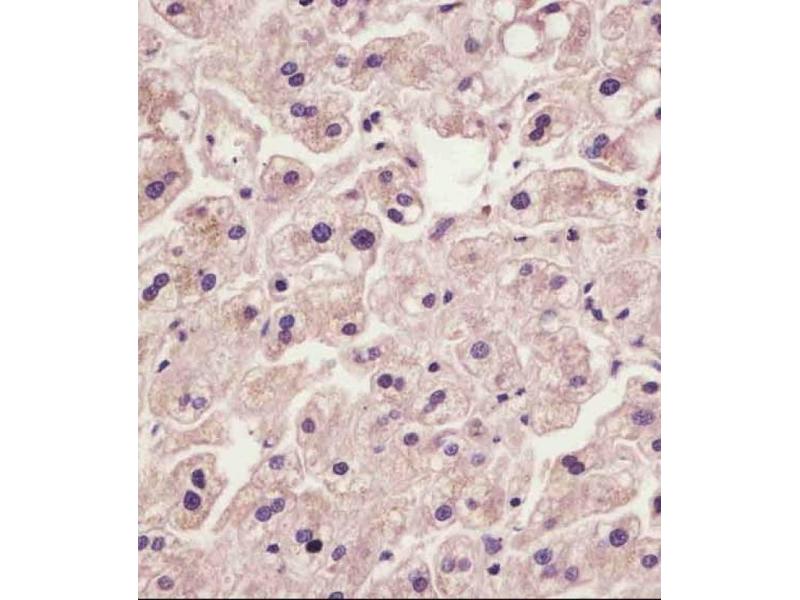
IL1RAP 抗体 (AA 484-518)

The 兔 多克隆 anti-IL1RAP antibody (Clone RB57769) (ABIN6242410) specifically detects IL1RAP in WB 和 IHC (p). The antibody is reactive with 人 和 小鼠 samples.
产品编号 ABIN6242410
发货至: 中国
Contact our Customer Service for availability and price in your country. Contact Info

Our Local Distributor

中国
北京 101111
No. 88 KeChuang 6th Street
Beijing Economic Technological Development Area
Room 801-803
4A Biotech Co.,Ltd.
Tel +86 (0512) 65829739 传真 +86 (010) 6788 5057

Quick Overview for IL1RAP 抗体 (AA 484-518) (ABIN6242410)

抗原

See all IL1RAP 抗体
IL1RAP (Interleukin 1 Receptor Accessory Protein (IL1RAP))

适用

  • 50
  • 11
  • 4
人, 小鼠

宿主

  • 42
  • 9
  • 4

克隆类型

  • 32
  • 23
多克隆

标记

  • 32
  • 4
  • 2
  • 2
  • 2
  • 2
  • 2
  • 2
  • 2
  • 1
  • 1
  • 1
  • 1
  • 1
This IL1RAP antibody is un-conjugated

应用范围

  • 34
  • 12
  • 12
  • 9
  • 6
  • 4
  • 2
  • 2
  • 2
  • 1
Western Blotting (WB), Immunohistochemistry (Paraffin-embedded Sections) (IHC (p))

克隆位点

RB57769
  • 抗原表位

    • 4
    • 4
    • 4
    • 2
    • 2
    • 1
    • 1
    • 1
    • 1
    • 1
    • 1
    AA 484-518

    预测反应

    H

    纯化方法

    This antibody is purified through a protein A column, followed by peptide affinity purification.

    免疫原

    This IL1RAP antibody is generated from a rabbit immunized with a KLH conjugated synthetic peptide between 484-518 amino acids of human IL1RAP.

    亚型

    IgG
  • 应用备注

    WB: 1:2000. IHC-P: 1:25

    限制

    仅限研究用
  • 状态

    Liquid

    缓冲液

    Purified polyclonal antibody supplied in PBS with 0.09 % (W/V) sodium azide.

    储存液

    Sodium azide

    注意事项

    This product contains Sodium azide: a POISONOUS AND HAZARDOUS SUBSTANCE which should be handled by trained staff only.

    储存条件

    4 °C,-20 °C

    有效期

    6 months
  • 抗原

    IL1RAP (Interleukin 1 Receptor Accessory Protein (IL1RAP))

    别名

    IL1RAP

    背景

    Coreceptor for IL1RL2 in the IL-36 signaling system (,By similarity),. Coreceptor with IL1R1 in the IL-1 signaling system. Associates with IL1R1 bound to IL1B to form the high affinity interleukin-1 receptor complex which mediates interleukin-1- dependent activation of NF-kappa-B and other pathways. Signaling involves the recruitment of adapter molecules such as TOLLIP, MYD88, and IRAK1 or IRAK2 via the respective TIR domains of the receptor/coreceptor subunits. Recruits TOLLIP to the signaling complex. Does not bind to interleukin-1 alone, binding of IL1RN to IL1R1, prevents its association with IL1R1 to form a signaling complex. The cellular response is modulated through a non- signaling association with the membrane IL1R2 decoy receptor. Secreted forms (isoforms 2 and 3) associate with secreted ligand- bound IL1R2 and increase the affinity of secreted IL1R2 for IL1B, this complex formation may be the dominant mechanism for neutralization of IL1B by secreted/soluble receptors.

    分子量

    65418

    UniProt

    Q9NPH3

    途径

    NF-kappaB Signaling, Growth Factor Binding
You are here: