电话:
+86 (0512) 65829739
传真:
+86 (010) 6788 5057
电子邮件:
orders@antibodies-online.cn

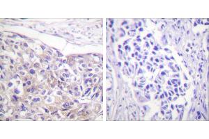
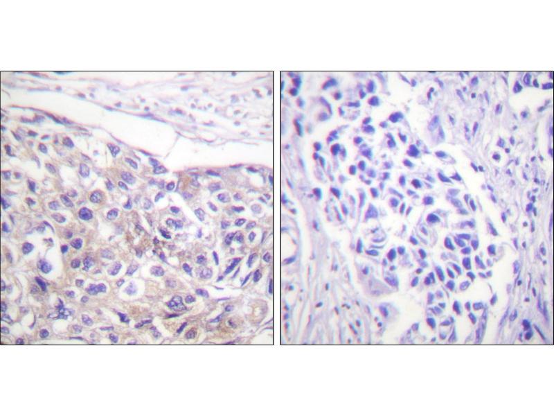
RPS6KA3 抗体 (pThr573)

The 兔 多克隆 anti-RPS6KA3 antibody is suitable to detect RPS6KA3 in samples from 人, 小鼠 和 大鼠. It has been validated for WB 和 IHC.
产品编号 ABIN6240990
发货至: 中国
Contact our Customer Service for availability and price in your country. Contact Info

Our Local Distributor

中国
北京 101111
No. 88 KeChuang 6th Street
Beijing Economic Technological Development Area
Room 801-803
4A Biotech Co.,Ltd.
Tel +86 (0512) 65829739 传真 +86 (010) 6788 5057

Quick Overview for RPS6KA3 抗体 (pThr573) (ABIN6240990)

抗原

See all RPS6KA3 抗体
RPS6KA3 (Ribosomal Protein S6 Kinase, 90kDa, Polypeptide 3 (RPS6KA3))

适用

  • 195
  • 133
  • 84
  • 3
  • 3
  • 2
  • 2
  • 2
  • 2
  • 1
  • 1
人, 小鼠, 大鼠

宿主

  • 197
  • 18
  • 1

克隆类型

  • 173
  • 43
多克隆

标记

  • 79
  • 13
  • 9
  • 8
  • 7
  • 7
  • 7
  • 7
  • 7
  • 7
  • 5
  • 5
  • 5
  • 5
  • 5
  • 5
  • 5
  • 5
  • 5
  • 5
  • 5
  • 4
  • 2
  • 2
  • 2
This RPS6KA3 antibody is un-conjugated

应用范围

  • 120
  • 68
  • 67
  • 57
  • 52
  • 30
  • 25
  • 17
  • 16
  • 8
  • 6
  • 3
  • 2
  • 2
  • 1
  • 1
  • 1
Western Blotting (WB), Immunohistochemistry (IHC)
  • 抗原表位

    • 23
    • 23
    • 18
    • 18
    • 16
    • 15
    • 11
    • 10
    • 10
    • 8
    • 6
    • 5
    • 3
    • 3
    • 3
    • 2
    • 2
    • 2
    • 2
    • 2
    • 2
    • 1
    • 1
    • 1
    • 1
    • 1
    • 1
    • 1
    • 1
    • 1
    • 1
    • 1
    • 1
    • 1
    • 1
    • 1
    • 1
    pThr573

    免疫原

    synthetic peptide
  • 应用备注

    WB: 1:1000. IHC: 1:50~100

    限制

    仅限研究用
  • 状态

    Liquid

    储存条件

    4 °C,-20 °C
  • 抗原

    RPS6KA3 (Ribosomal Protein S6 Kinase, 90kDa, Polypeptide 3 (RPS6KA3))

    别名

    p90 RSK

    背景

    Serine/threonine-protein kinase that acts downstream of ERK (MAPK1/ERK2 and MAPK3/ERK1) signaling and mediates mitogenic and stress-induced activation of the transcription factors CREB1, ETV1/ER81 and NR4A1/NUR77, regulates translation through RPS6 and EIF4B phosphorylation, and mediates cellular proliferation, survival, and differentiation by modulating mTOR signaling and repressing pro-apoptotic function of BAD and DAPK1. In fibroblast, is required for EGF-stimulated phosphorylation of CREB1, which results in the subsequent transcriptional activation of several immediate-early genes. In response to mitogenic stimulation (EGF and PMA), phosphorylates and activates NR4A1/NUR77 and ETV1/ER81 transcription factors and the cofactor CREBBP. Upon insulin- derived signal, acts indirectly on the transcription regulation of several genes by phosphorylating GSK3B at 'Ser-9' and inhibiting its activity. Phosphorylates RPS6 in response to serum or EGF via an mTOR-independent mechanism and promotes translation initiation by facilitating assembly of the preinitiation complex. In response to insulin, phosphorylates EIF4B, enhancing EIF4B affinity for the EIF3 complex and stimulating cap-dependent translation. Is involved in the mTOR nutrient-sensing pathway by directly phosphorylating TSC2 at 'Ser-1798', which potently inhibits TSC2 ability to suppress mTOR signaling, and mediates phosphorylation of RPTOR, which regulates mTORC1 activity and may promote rapamycin-sensitive signaling independently of the PI3K/AKT pathway. Mediates cell survival by phosphorylating the pro- apoptotic proteins BAD and DAPK1 and suppressing their pro- apoptotic function. Promotes the survival of hepatic stellate cells by phosphorylating CEBPB in response to the hepatotoxin carbon tetrachloride (CCl4). Is involved in cell cycle regulation by phosphorylating the CDK inhibitor CDKN1B, which promotes CDKN1B association with 14-3-3 proteins and prevents its translocation to the nucleus and inhibition of G1 progression.

    UniProt

    Q15418

    途径

    MAPK Pathway, Neurotrophin Signaling Pathway, Activation of Innate immune Response, Toll-Like Receptors Cascades
You are here: