XRCC2 抗体
Our Local Distributor
北京 101111
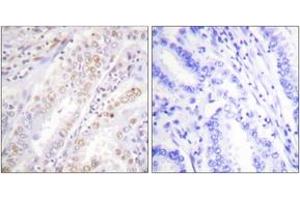
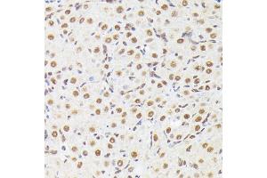
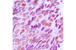
Quick Overview for XRCC2 抗体 (ABIN3022570)
抗原
See all XRCC2 抗体适用
宿主
克隆类型
标记
应用范围
-
-
纯化方法
- Affinity purification
-
免疫原
- Recombinant protein of human XRCC2
-
亚型
- IgG
-
-
-
-
应用备注
- Recommended dilutions: WB: 1:500-1:2000, IHC: 1:50-1:200
-
限制
- 仅限研究用
-
-
-
状态
- Liquid
-
缓冲液
- PBS with 0.02 % sodium azide, 50 % glycerol, pH 7.3
-
储存液
- Sodium azide
-
注意事项
- This product contains sodium azide: a POISONOUS AND HAZARDOUS SUBSTANCE which should be handled by trained staff only.
-
注意事项
- Avoid freeze / thaw cycles
-
储存条件
- -20 °C/-80 °C
-
-
-
: "Quantitative proteomic analysis revealed changes in protein synthesis and mitochondrial functions after acute DNA damage in mouse neural stem cells." in: Neuroscience letters, Vol. 653, pp. 355-361, (2018) (PubMed).
: "The transcription factor GATA3 is required for homologous recombination repair by regulating CtIP expression." in: Oncogene, Vol. 36, Issue 36, pp. 5168-5176, (2017) (PubMed).
: "Human Parvovirus Infection of Human Airway Epithelia Induces Pyroptotic Cell Death by Inhibiting Apoptosis." in: Journal of virology, Vol. 91, Issue 24, (2017) (PubMed).
: "A stress-induced cellular aging model with postnatal neural stem cells." in: Cell death & disease, Vol. 5, pp. e1116, (2014) (PubMed).
-
-
- XRCC2 (X-Ray Repair Complementing Defective Repair in Chinese Hamster Cells 2 (XRCC2))
-
别名
- XRCC2
-
背景
-
This gene encodes a member of the RecA/Rad51-related protein family that participates in homologous recombination to maintain chromosome stability and repair DNA damage. This gene is involved in the repair of DNA double-strand breaks by homologous recombination and it functionally complements Chinese hamster irs1, a repair-deficient mutant that exhibits hypersensitivity to a number of different DNA-damaging agents. [provided by RefSeq, Jul 2008]
Synonyms: DKFZp781P0919 -
基因ID
- 7516
-
UniProt
- O43543
-
途径
- DNA Damage Repair
抗原
-