电话:
+86 (0512) 65829739
传真:
+86 (010) 6788 5057
电子邮件:
orders@antibodies-online.cn

ARHGEF17 抗体

This 兔 多克隆 antibody specifically detects ARHGEF17 in WB, IHC (p) 和 EIA. It exhibits reactivity toward 人.
产品编号 ABIN615058
发货至: 中国
Contact our Customer Service for availability and price in your country. Contact Info

Our Local Distributor

中国
北京 101111
No. 88 KeChuang 6th Street
Beijing Economic Technological Development Area
Room 801-803
4A Biotech Co.,Ltd.
Tel +86 (0512) 65829739 传真 +86 (010) 6788 5057

Quick Overview for ARHGEF17 抗体 (ABIN615058)

抗原

See all ARHGEF17 抗体
ARHGEF17 (rho Guanine Nucleotide Exchange Factor (GEF) 17 (ARHGEF17))

适用

  • 5
  • 2

宿主

  • 5

克隆类型

  • 5
多克隆

标记

  • 5
This ARHGEF17 antibody is un-conjugated

应用范围

  • 4
  • 3
  • 2
  • 2
  • 2
  • 1
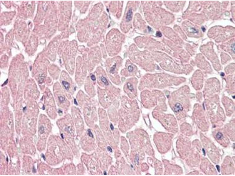
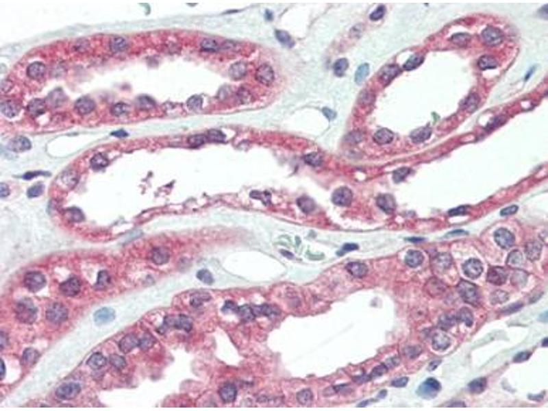
Western Blotting (WB), Immunohistochemistry (Paraffin-embedded Sections) (IHC (p)), Enzyme Immunoassay (EIA)
  • 特异性

    This antibody reacts to Tumor Endothelial Marker 2 (TEM2) (RASD2).

    纯化方法

    Immunoaffinity Chromatography

    免疫原

    ARHGEF17 antibody was raised against 18 amino acid peptide near the center of human TEM4 Genename: ARHGEF17
  • 应用备注

    Optimal working dilution should be determined by the investigator.

    限制

    仅限研究用
  • 缓冲液

    PBS containing 0.02 % sodium azide.

    储存液

    Sodium azide

    注意事项

    This product contains sodium azide: a POISONOUS AND HAZARDOUS SUBSTANCE which should be handled by trained staff only.

    储存条件

    4 °C

    储存方法

    Store the antibody undiluted at 2-8 °C.
  • 抗原

    ARHGEF17 (rho Guanine Nucleotide Exchange Factor (GEF) 17 (ARHGEF17))

    别名

    ARHGEF17 / TEM4

    背景

    Synonyms: 164 kDa Rho-specific guanine-nucleotide exchange factor, KIAA0337, Rho guanine nucleotide exchange factor 17, Tumor endothelial marker 4, p164-RhoGEF, p164RhoGEF

    基因ID

    9828

    NCBI登录号

    NP_055601

    UniProt

    Q96PE2
You are here: