电话:
+86 (0512) 65829739
传真:
+86 (010) 6788 5057
电子邮件:
orders@antibodies-online.cn

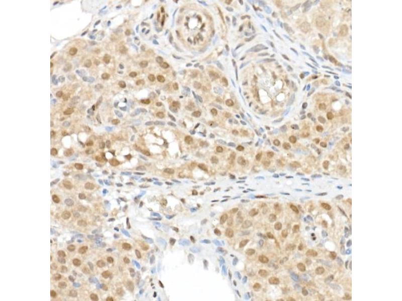
WWTR1 抗体 (AA 1-230)

This 兔 多克隆 antibody specifically detects WWTR1 in WB, IHC 和 IF. It exhibits reactivity toward 人.
产品编号 ABIN6150278
发货至: 中国
Contact our Customer Service for availability and price in your country. Contact Info

Our Local Distributor

中国
北京 101111
No. 88 KeChuang 6th Street
Beijing Economic Technological Development Area
Room 801-803
4A Biotech Co.,Ltd.
Tel +86 (0512) 65829739 传真 +86 (010) 6788 5057

Quick Overview for WWTR1 抗体 (AA 1-230) (ABIN6150278)

抗原

See all WWTR1 抗体
WWTR1 (WW Domain Containing Transcription Regulator 1 (WWTR1))

适用

  • 36
  • 10
  • 4
  • 2
  • 1
  • 1
  • 1
  • 1

宿主

  • 31
  • 5

克隆类型

  • 31
  • 5
多克隆

标记

  • 26
  • 1
  • 1
  • 1
  • 1
  • 1
  • 1
  • 1
  • 1
  • 1
  • 1
This WWTR1 antibody is un-conjugated

应用范围

  • 28
  • 14
  • 4
  • 4
  • 2
  • 2
  • 1
  • 1
  • 1
Western Blotting (WB), Immunohistochemistry (IHC), Immunofluorescence (IF)
  • 抗原表位

    • 6
    • 5
    • 4
    • 2
    • 1
    • 1
    • 1
    • 1
    • 1
    AA 1-230

    序列

    MNPASAPPPL PPPGQQVIHV TQDLDTDLEA LFNSVMNPKP SSWRKKILPE SFFKEPDSGS HSRQSSTDSS GGHPGPRLAG GAQHVRSHSS PASLQLGTGA GAAGSPAQQH AHLRQQSYDV TDELPLPPGW EMTFTATGQR YFLNHIEKIT TWQDPRKAMN QPLNHMNLHP AVSSTPVPQR SMAVSQPNLV MNHQHQQQMA PSTLSQQNHP TQNPPAGLMS MPNALTTQQQ

    交叉反应

    人, 小鼠, 大鼠

    产品特性

    Polyclonal Antibodies

    免疫原

    Recombinant fusion protein containing a sequence corresponding to amino acids 1-230 of human TAZ (NP_056287.1).

    亚型

    IgG
  • 应用备注

    WB,1:500 - 1:2000,IHC,1:50 - 1:200,IF,1:50 - 1:200

    说明

    HIGH QUALITY

    限制

    仅限研究用
  • 状态

    Liquid

    缓冲液

    PBS with 0.02 % sodium azide,50 % glycerol, pH 7.3.

    储存液

    Sodium azide

    注意事项

    This product contains Sodium azide: a POISONOUS AND HAZARDOUS SUBSTANCE which should be handled by trained staff only.

    储存条件

    -20 °C

    储存方法

    Store at -20°C. Avoid freeze / thaw cycles.
  • 抗原

    WWTR1 (WW Domain Containing Transcription Regulator 1 (WWTR1))

    别名

    WWTR1

    背景

    Transcriptional coactivator which acts as a downstream regulatory target in the Hippo signaling pathway that plays a pivotal role in organ size control and tumor suppression by restricting proliferation and promoting apoptosis. The core of this pathway is composed of a kinase cascade wherein STK3/MST2 and STK4/MST1, in complex with its regulatory protein SAV1, phosphorylates and activates LATS1/2 in complex with its regulatory protein MOB1, which in turn phosphorylates and inactivates YAP1 oncoprotein and WWTR1/TAZ. WWTR1 enhances PAX8 and NKX2-1/TTF1-dependent gene activation. In conjunction with YAP1, involved in the regulation of TGFB1-dependent SMAD2 and SMAD3 nuclear accumulation. Plays a key role in coupling SMADs to the transcriptional machinery such as the mediator complex. Regulates embryonic stem-cell self-renewal, promotes cell proliferation and epithelial-mesenchymal transition.,WW domain-containing transcription regulator protein 1,Transcriptional coactivator with PDZ-binding motif,TAZ,WWTR1,Epigenetics & Nuclear Signaling,Cell Biology & Developmental Biology,Hippo Signaling Pathway,Stem Cells,Mesenchymal Stem Cells,WWTR1

    分子量

    44 kDa

    基因ID

    25937

    UniProt

    Q9GZV5

    途径

    Regulation of Lipid Metabolism by PPARalpha
You are here: