电话:
+86 (0512) 65829739
传真:
+86 (010) 6788 5057
电子邮件:
orders@antibodies-online.cn

RENT1/UPF1 抗体 (AA 270-370)

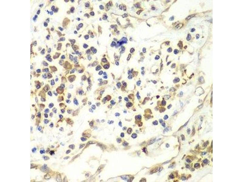
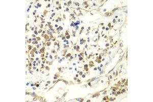
The 兔 多克隆 anti-RENT1/UPF1 antibody is suitable to detect RENT1/UPF1 in samples from 人. It has been validated for WB 和 IHC.
产品编号 ABIN6149938
发货至: 中国
Contact our Customer Service for availability and price in your country. Contact Info

Our Local Distributor

中国
北京 101111
No. 88 KeChuang 6th Street
Beijing Economic Technological Development Area
Room 801-803
4A Biotech Co.,Ltd.
Tel +86 (0512) 65829739 传真 +86 (010) 6788 5057

Quick Overview for RENT1/UPF1 抗体 (AA 270-370) (ABIN6149938)

抗原

See all RENT1/UPF1 (UPF1) 抗体
RENT1/UPF1 (UPF1) (UPF1 Regulator of Nonsense Transcripts Homolog (UPF1))

适用

  • 70
  • 27
  • 7
  • 3
  • 3
  • 2
  • 2
  • 1
  • 1
  • 1
  • 1
  • 1

宿主

  • 62
  • 6
  • 3

克隆类型

  • 50
  • 20
  • 1
多克隆

标记

  • 38
  • 3
  • 3
  • 2
  • 2
  • 2
  • 2
  • 2
  • 2
  • 2
  • 1
  • 1
  • 1
  • 1
  • 1
  • 1
  • 1
  • 1
  • 1
  • 1
  • 1
  • 1
  • 1
This RENT1/UPF1 antibody is un-conjugated

应用范围

  • 40
  • 21
  • 20
  • 19
  • 19
  • 15
  • 14
  • 14
  • 12
  • 7
  • 3
  • 1
Western Blotting (WB), Immunohistochemistry (IHC)
  • 抗原表位

    • 15
    • 5
    • 3
    • 3
    • 2
    • 2
    • 2
    • 1
    • 1
    • 1
    • 1
    • 1
    • 1
    • 1
    • 1
    • 1
    • 1
    • 1
    • 1
    • 1
    AA 270-370

    序列

    KENPSATLED LEKPGVDEEP QHVLLRYEDA YQYQNIFGPL VKLEADYDKK LKESQTQDNI TVRWDLGLNK KRIAYFTLPK TDSDMRLMQG DEICLRYKGD L

    交叉反应

    人, 小鼠

    产品特性

    Polyclonal Antibodies

    免疫原

    A synthetic peptide corresponding to a sequence within amino acids 270-370 of human UPF1/RENT1 (NP_002902.2).

    亚型

    IgG
  • 应用备注

    WB,1:500 - 1:2000,IHC,1:50 - 1:200

    限制

    仅限研究用
  • 状态

    Liquid

    缓冲液

    PBS with 0.02 % sodium azide,50 % glycerol, pH 7.3.

    储存液

    Sodium azide

    注意事项

    This product contains Sodium azide: a POISONOUS AND HAZARDOUS SUBSTANCE which should be handled by trained staff only.

    储存条件

    -20 °C

    储存方法

    Store at -20°C. Avoid freeze / thaw cycles.
  • 抗原

    RENT1/UPF1 (UPF1) (UPF1 Regulator of Nonsense Transcripts Homolog (UPF1))

    别名

    UPF1

    背景

    This gene encodes a protein that is part of a post-splicing multiprotein complex involved in both mRNA nuclear export and mRNA surveillance. mRNA surveillance detects exported mRNAs with truncated open reading frames and initiates nonsense-mediated mRNA decay (NMD). When translation ends upstream from the last exon-exon junction, this triggers NMD to degrade mRNAs containing premature stop codons. This protein is located only in the cytoplasm. When translation ends, it interacts with the protein that is a functional homolog of yeast Upf2p to trigger mRNA decapping. Use of multiple polyadenylation sites has been noted for this gene. Alternative splicing results in multiple transcript variants.,UPF1,HUPF1,NORF1,RENT1,pNORF1,smg-2,Epigenetics & Nuclear Signaling,RNA Binding,Cell Biology & Developmental Biology,Apoptosis,UPF1

    分子量

    123 kDa/124 kDa

    基因ID

    5976

    UniProt

    Q92900

    途径

    SARS-CoV-2 Protein Interactome
You are here: