电话:
+86 (0512) 65829739
传真:
+86 (010) 6788 5057
电子邮件:
orders@antibodies-online.cn

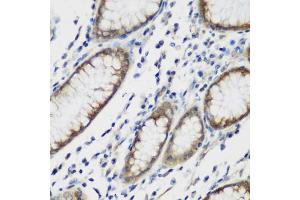
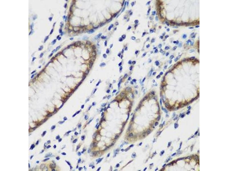
TTBK2 抗体 (AA 1185-1244)

The 兔 多克隆 anti-TTBK2 antibody is suitable to detect TTBK2 in samples from 人. It has been validated for IHC 和 WB.
产品编号 ABIN6149666
发货至: 中国
Contact our Customer Service for availability and price in your country. Contact Info

Our Local Distributor

中国
北京 101111
No. 88 KeChuang 6th Street
Beijing Economic Technological Development Area
Room 801-803
4A Biotech Co.,Ltd.
Tel +86 (0512) 65829739 传真 +86 (010) 6788 5057

Quick Overview for TTBK2 抗体 (AA 1185-1244) (ABIN6149666)

抗原

See all TTBK2 抗体
TTBK2 (tau Tubulin Kinase 2 (TTBK2))

适用

  • 48
  • 5
  • 5
  • 2
  • 2
  • 2
  • 2
  • 1
  • 1
  • 1

宿主

  • 45
  • 3

克隆类型

  • 47
  • 1
多克隆

标记

  • 23
  • 2
  • 2
  • 2
  • 1
  • 1
  • 1
  • 1
  • 1
  • 1
  • 1
  • 1
  • 1
  • 1
  • 1
  • 1
  • 1
  • 1
  • 1
  • 1
  • 1
  • 1
  • 1
This TTBK2 antibody is un-conjugated

应用范围

  • 38
  • 17
  • 15
  • 13
  • 13
  • 9
  • 8
  • 4
  • 4
  • 3
  • 2
  • 2
  • 1
Immunohistochemistry (IHC), Western Blotting (WB)
  • 抗原表位

    • 15
    • 8
    • 5
    • 3
    • 2
    • 2
    • 2
    • 1
    • 1
    AA 1185-1244

    序列

    LGRSKSPPSH SGSSSSRRSC QQEHCKPSKN GLKGSGSLHH HSASTKTPQG KSKPASKLSR

    交叉反应

    人, 大鼠

    产品特性

    Polyclonal Antibodies

    免疫原

    Recombinant fusion protein containing a sequence corresponding to amino acids 1185-1244 of human TTBK2 (NP_775771.3).

    亚型

    IgG
  • 应用备注

    WB,1:500 - 1:2000,IHC,1:50 - 1:200

    限制

    仅限研究用
  • 状态

    Liquid

    缓冲液

    PBS with 0.02 % sodium azide,50 % glycerol, pH 7.3.

    储存液

    Sodium azide

    注意事项

    This product contains Sodium azide: a POISONOUS AND HAZARDOUS SUBSTANCE which should be handled by trained staff only.

    储存条件

    -20 °C

    储存方法

    Store at -20°C. Avoid freeze / thaw cycles.
  • 抗原

    TTBK2 (tau Tubulin Kinase 2 (TTBK2))

    别名

    TTBK2

    背景

    This gene encodes a serine-threonine kinase that putatively phosphorylates tau and tubulin proteins. Mutations in this gene cause spinocerebellar ataxia type 11 (SCA11), a neurodegenerative disease characterized by progressive ataxia and atrophy of the cerebellum and brainstem.,TTBK2,SCA11,TTBK,Signal Transduction,Kinase,Cell Biology & Developmental Biology,Cytoskeleton,Microtubules,Neuroscience,Neurodegenerative Diseases,TTBK2

    分子量

    54 kDa/129 kDa/137 kDa

    基因ID

    146057

    UniProt

    Q6IQ55
You are here: