电话:
+86 (0512) 65829739
传真:
+86 (010) 6788 5057
电子邮件:
orders@antibodies-online.cn

SLUG 抗体 (AA 126-268)

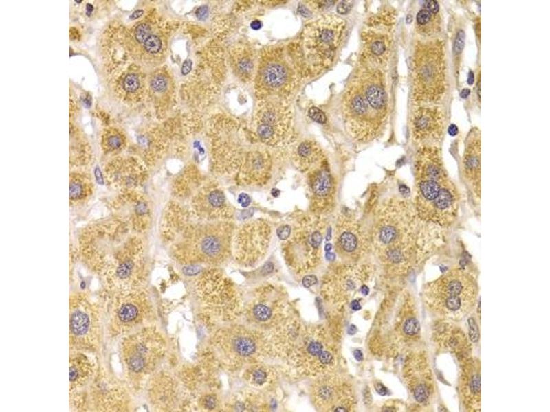
The 兔 多克隆 anti-SLUG antibody (ABIN6148181) specifically detects SLUG in WB 和 IHC. The antibody is reactive with 人 samples.
产品编号 ABIN6148181
发货至: 中国
Contact our Customer Service for availability and price in your country. Contact Info

Our Local Distributor

中国
北京 101111
No. 88 KeChuang 6th Street
Beijing Economic Technological Development Area
Room 801-803
4A Biotech Co.,Ltd.
Tel +86 (0512) 65829739 传真 +86 (010) 6788 5057

Quick Overview for SLUG 抗体 (AA 126-268) (ABIN6148181)

抗原

See all SLUG (SNAI2) 抗体
SLUG (SNAI2) (Snail Family Zinc Finger 2 (SNAI2))

适用

  • 76
  • 33
  • 24
  • 19
  • 5
  • 5
  • 3
  • 3
  • 3
  • 2
  • 2
  • 2
  • 1
  • 1

宿主

  • 63
  • 14

克隆类型

  • 62
  • 14
多克隆

标记

  • 44
  • 3
  • 3
  • 2
  • 2
  • 2
  • 2
  • 2
  • 2
  • 2
  • 2
  • 1
  • 1
  • 1
  • 1
  • 1
  • 1
  • 1
  • 1
  • 1
  • 1
  • 1
This SLUG antibody is un-conjugated

应用范围

  • 52
  • 27
  • 14
  • 13
  • 13
  • 12
  • 8
  • 5
  • 3
  • 3
  • 2
  • 1
Western Blotting (WB), Immunohistochemistry (IHC)
  • 抗原表位

    • 15
    • 5
    • 5
    • 4
    • 3
    • 2
    • 2
    • 2
    • 2
    • 2
    • 1
    • 1
    • 1
    • 1
    • 1
    • 1
    • 1
    • 1
    • 1
    • 1
    • 1
    • 1
    • 1
    AA 126-268

    序列

    EKFQCNLCNK TYSTFSGLAK HKQLHCDAQS RKSFSCKYCD KEYVSLGALK MHIRTHTLPC VCKICGKAFS RPWLLQGHIR THTGEKPFSC PHCNRAFADR SNLRAHLQTH SDVKKYQCKN CSKTFSRMSL LHKHEESGCC VAH

    交叉反应

    人, 小鼠, 大鼠

    产品特性

    Polyclonal Antibodies

    免疫原

    Recombinant fusion protein containing a sequence corresponding to amino acids 126-268 of human Slug (NP_003059.1).

    亚型

    IgG
  • 应用备注

    WB,1:500 - 1:2000,IHC,1:50 - 1:200

    限制

    仅限研究用
  • 状态

    Liquid

    缓冲液

    PBS with 0.02 % sodium azide,50 % glycerol, pH 7.3.

    储存液

    Sodium azide

    注意事项

    This product contains Sodium azide: a POISONOUS AND HAZARDOUS SUBSTANCE which should be handled by trained staff only.

    储存条件

    -20 °C

    储存方法

    Store at -20°C. Avoid freeze / thaw cycles.
  • 抗原

    SLUG (SNAI2) (Snail Family Zinc Finger 2 (SNAI2))

    别名

    SNAI2

    背景

    This gene encodes a member of the Snail family of C2H2-type zinc finger transcription factors. The encoded protein acts as a transcriptional repressor that binds to E-box motifs and is also likely to repress E-cadherin transcription in breast carcinoma. This protein is involved in epithelial-mesenchymal transitions and has antiapoptotic activity. Mutations in this gene may be associated with sporatic cases of neural tube defects.,SNAI2,SLUG,SLUGH,SLUGH1,SNAIL2,WS2D,Epigenetics & Nuclear Signaling,Transcription Factors,Cancer,Cell Biology & Developmental Biology,Neuroscience,Cell Type Marker,Stem Cells,Neural Stem Cells,Neural Stem Cell marker,SNAI2

    分子量

    29 kDa

    基因ID

    6591

    UniProt

    O43623
You are here: