电话:
+86 (0512) 65829739
传真:
+86 (010) 6788 5057
电子邮件:
orders@antibodies-online.cn

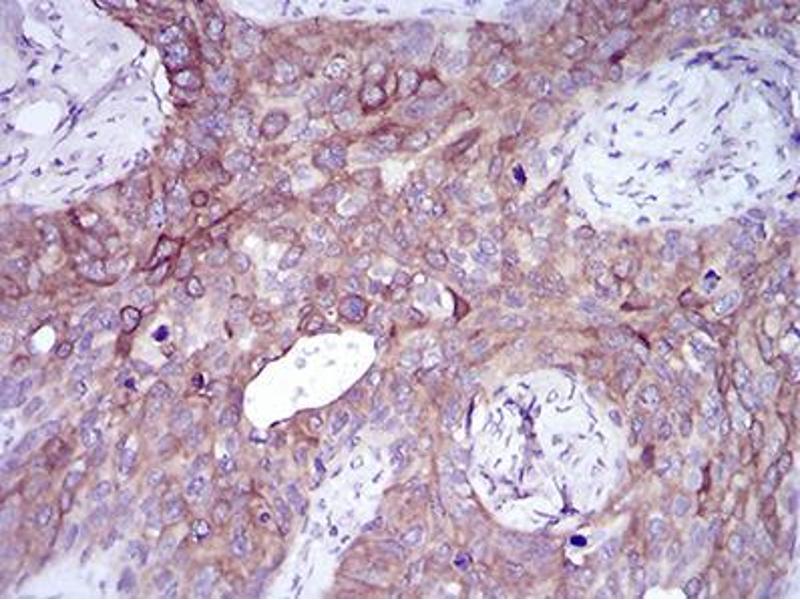
SLUG 抗体 (AA 100-200)

This 小鼠 单克隆 antibody specifically detects SLUG in WB, ELISA, IHC, FACS 和 ICC. It exhibits reactivity toward 人.
产品编号 ABIN5542256
发货至: 中国
Contact our Customer Service for availability and price in your country. Contact Info

Our Local Distributor

中国
北京 101111
No. 88 KeChuang 6th Street
Beijing Economic Technological Development Area
Room 801-803
4A Biotech Co.,Ltd.
Tel +86 (0512) 65829739 传真 +86 (010) 6788 5057

Quick Overview for SLUG 抗体 (AA 100-200) (ABIN5542256)

抗原

See all SLUG (SNAI2) 抗体
SLUG (SNAI2) (Snail Family Zinc Finger 2 (SNAI2))

适用

  • 76
  • 33
  • 24
  • 19
  • 5
  • 5
  • 3
  • 3
  • 3
  • 2
  • 2
  • 2
  • 1
  • 1

宿主

  • 64
  • 13
小鼠

克隆类型

  • 63
  • 13
单克隆

标记

  • 44
  • 3
  • 3
  • 2
  • 2
  • 2
  • 2
  • 2
  • 2
  • 2
  • 2
  • 1
  • 1
  • 1
  • 1
  • 1
  • 1
  • 1
  • 1
  • 1
  • 1
  • 1
This SLUG antibody is un-conjugated

应用范围

  • 52
  • 26
  • 14
  • 13
  • 13
  • 12
  • 8
  • 4
  • 3
  • 3
  • 2
Western Blotting (WB), ELISA, Immunohistochemistry (IHC), Flow Cytometry (FACS), Immunocytochemistry (ICC)

克隆位点

4B6D5
  • 抗原表位

    • 15
    • 5
    • 5
    • 4
    • 3
    • 2
    • 2
    • 2
    • 2
    • 2
    • 1
    • 1
    • 1
    • 1
    • 1
    • 1
    • 1
    • 1
    • 1
    • 1
    • 1
    • 1
    • 1
    AA 100-200

    原理

    SNAI2 Antibody

    纯化方法

    Purified antibody

    免疫原

    Purified recombinant fragment of human SNAI2 (AA: 100-200) expressed in E. Coli.

    亚型

    IgG1
  • 应用备注

    ELISA: 1/10000

    FCM: 1/200 - 1/400

    ICC: 1/200 - 1/1000

    限制

    仅限研究用
  • 状态

    Liquid

    缓冲液

    Purified antibody in PBS with 0.05 % sodium azide.

    储存液

    Sodium azide

    注意事项

    This product contains Sodium azide: a POISONOUS AND HAZARDOUS SUBSTANCE which should be handled by trained staff only.

    储存条件

    4 °C,-20 °C

    储存方法

    Store at 4°C short term. Aliquot and store at -20°C long term. Avoid freeze/thaw cycles.
  • 抗原

    SLUG (SNAI2) (Snail Family Zinc Finger 2 (SNAI2))

    别名

    SNAI2

    背景

    This gene encodes a member of the Snail family of C2H2-type zinc finger transcription factors. The encoded protein acts as a transcriptional repressor that binds to E-box motifs and is also likely to repress E-cadherin transcription in breast carcinoma. This protein is involved in epithelial-mesenchymal transitions and has antiapoptotic activity. Mutations in this gene may be associated with sporatic cases of neural tube defects.

    分子量

    30 kDa

    基因ID

    6591

    UniProt

    O43623
You are here: