SCO2 抗体 (AA 1-130)
Our Local Distributor
北京 101111
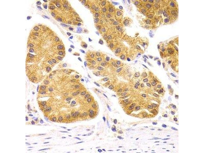
Quick Overview for SCO2 抗体 (AA 1-130) (ABIN6147457)
抗原
See all SCO2 抗体适用
宿主
克隆类型
标记
应用范围
-
-
抗原表位
- AA 1-130
-
序列
- MLLLTRSPTA WHRLSQLKPR VLPGTLGGQA LHLRSWLLSR QGPAETGGQG QPQGPGLRTR LLITGLFGAG LGGAWLALRA EKERLQQQKR TEALRQAAVG QGDFHLLDHR GRARCKADFR GQWVLMYFGF
-
交叉反应
- 人, 小鼠, 大鼠
-
产品特性
- Polyclonal Antibodies
-
免疫原
- Recombinant fusion protein containing a sequence corresponding to amino acids 1-130 of human SCO2 (NP_001162582.1).
-
亚型
- IgG
-
-
-
-
应用备注
- WB,1:500 - 1:2000,IHC,1:50 - 1:200
-
说明
-
HIGH QUALITY
-
限制
- 仅限研究用
-
-
-
状态
- Liquid
-
缓冲液
- PBS with 0.02 % sodium azide,50 % glycerol, pH 7.3.
-
储存液
- Sodium azide
-
注意事项
- This product contains Sodium azide: a POISONOUS AND HAZARDOUS SUBSTANCE which should be handled by trained staff only.
-
储存条件
- -20 °C
-
储存方法
- Store at -20°C. Avoid freeze / thaw cycles.
-
-
- SCO2 (SCO2 Cytochrome C Oxidase Assembly Protein (SCO2))
-
别名
- SCO2
-
背景
- Cytochrome c oxidase (COX) catalyzes the transfer of electrons from cytochrome c to molecular oxygen, which helps to maintain the proton gradient across the inner mitochondrial membrane that is necessary for aerobic ATP production. Human COX is a multimeric protein complex that requires several assembly factors, this gene encodes one of the COX assembly factors. The encoded protein is a metallochaperone that is involved in the biogenesis of cytochrome c oxidase subunit II. Mutations in this gene are associated with fatal infantile encephalocardiomyopathy and myopia 6.,SCO2,CEMCOX1,MYP6,SCO1L,Cancer,Signal Transduction,Endocrine & Metabolism,Mitochondrial metabolism,Mitochondrial markers,Oxidative phosphorylation,SCO2
-
分子量
- 29 kDa
-
基因ID
- 9997
-
UniProt
- O43819
-
途径
- Transition Metal Ion Homeostasis, Warburg Effect
抗原
-