PLCB3 抗体 (AA 1050-1150)
Our Local Distributor
北京 101111
Quick Overview for PLCB3 抗体 (AA 1050-1150) (ABIN6145749)
抗原
See all PLCB3 抗体适用
宿主
克隆类型
标记
应用范围
-
-
抗原表位
- AA 1050-1150
-
序列
- VDAEAQRRLE HLRQALQRLR EVVLDANTTQ FKRLKEMNER EKKELQKILD RKRHNSISEA KMRDKHKKEA ELTEINRRHI TESVNSIRRL EEAQKQRHDR L
-
交叉反应
- 人, 小鼠, 大鼠
-
产品特性
- Polyclonal Antibodies
-
免疫原
- A synthetic peptide corresponding to a sequence within amino acids 1050-1150 of human PLC beta 3 (PLC beta 3 (PLCB3)) (NP_000923.1).
-
亚型
- IgG
-
-
-
-
应用备注
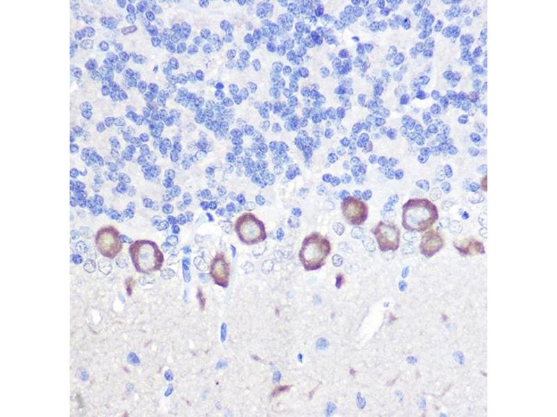
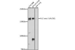
- WB,1:500 - 1:2000,IHC,1:50 - 1:200
-
限制
- 仅限研究用
-
-
-
状态
- Liquid
-
缓冲液
- PBS with 0.02 % sodium azide,50 % glycerol, pH 7.3.
-
储存液
- Sodium azide
-
注意事项
- This product contains Sodium azide: a POISONOUS AND HAZARDOUS SUBSTANCE which should be handled by trained staff only.
-
储存条件
- -20 °C
-
储存方法
- Store at -20°C. Avoid freeze / thaw cycles.
-
-
- PLCB3 (phospholipase C, beta 3 (Phosphatidylinositol-Specific) (PLCB3))
-
别名
- PLCB3
-
背景
- This gene encodes a member of the phosphoinositide phospholipase C beta enzyme family that catalyze the production of the secondary messengers diacylglycerol and inositol 1,4,5-triphosphate from phosphatidylinositol in G-protein-linked receptor-mediated signal transduction. Alternative splicing results in multiple transcript variants.,PLCB3,Cancer,Signal Transduction,G protein signaling,G2/M DNA Damage Checkpoint,Phospholipase Signaling Pathway,ErbB-HER Signaling Pathway,Cell Biology & Developmental Biology,Cytoskeleton,Actins,Endocrine & Metabolism,Lipid Metabolism,AMPK Signaling Pathway,Neuroscience,Neurodegenerative Diseases,PLCB3
-
分子量
- 131 kDa/138 kDa
-
基因ID
- 5331
-
UniProt
- Q01970
-
途径
- WNT signaling, Thyroid Hormone Synthesis, Myometrial Relaxation and Contraction, CXCR4-mediated Signaling Events, G-protein mediated Events
抗原
-