电话:
+86 (0512) 65829739
传真:
+86 (010) 6788 5057
电子邮件:
orders@antibodies-online.cn

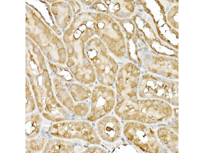
LIG3 抗体 (AA 730-1009)

The 兔 多克隆 anti-LIG3 antibody is suitable to detect LIG3 in samples from 人. It has been validated for WB, IHC 和 IF.
产品编号 ABIN6143207
发货至: 中国
Contact our Customer Service for availability and price in your country. Contact Info

Our Local Distributor

中国
北京 101111
No. 88 KeChuang 6th Street
Beijing Economic Technological Development Area
Room 801-803
4A Biotech Co.,Ltd.
Tel +86 (0512) 65829739 传真 +86 (010) 6788 5057

Quick Overview for LIG3 抗体 (AA 730-1009) (ABIN6143207)

抗原

See all LIG3 抗体
LIG3 (Ligase III, DNA, ATP-Dependent (LIG3))

适用

  • 43
  • 16
  • 16
  • 4
  • 4
  • 3
  • 3
  • 2
  • 2
  • 1
  • 1
  • 1

宿主

  • 41
  • 2

克隆类型

  • 42
  • 1
多克隆

标记

  • 27
  • 3
  • 3
  • 2
  • 1
  • 1
  • 1
  • 1
  • 1
  • 1
  • 1
  • 1
This LIG3 antibody is un-conjugated

应用范围

  • 29
  • 16
  • 7
  • 6
  • 6
  • 3
  • 2
  • 2
  • 2
  • 1
  • 1
  • 1
  • 1
Western Blotting (WB), Immunohistochemistry (IHC), Immunofluorescence (IF)
  • 抗原表位

    • 9
    • 7
    • 5
    • 2
    • 2
    • 2
    • 2
    • 1
    • 1
    • 1
    • 1
    • 1
    • 1
    • 1
    • 1
    • 1
    AA 730-1009

    序列

    AGGHDDATLA RLQNELDMVK ISKDPSKIPS WLKVNKIYYP DFIVPDPKKA AVWEITGAEF SKSEAHTADG ISIRFPRCTR IRDDKDWKSA TNLPQLKELY QLSKEKADFT VVAGDEGSST TGGSSEENKG PSGSAVSRKA PSKPSASTKK AEGKLSNSNS KDGNMQTAKP SAMKVGEKLA TKSSPVKVGE KRKAADETLC QTKVLLDIFT GVRLYLPPST PDFSRLRRYF VAFDGDLVQE FDMTSATHVL GSRDKNPAAQ QVSPEWIWAC IRKRRLVAPC

    交叉反应

    人, 小鼠, 大鼠

    产品特性

    Polyclonal Antibodies

    免疫原

    Recombinant fusion protein containing a sequence corresponding to amino acids 730-1009 of human LIG3 (NP_039269.2).

    亚型

    IgG
  • 应用备注

    WB,1:500 - 1:2000,IHC,1:50 - 1:200,IF,1:50 - 1:200

    限制

    仅限研究用
  • 状态

    Liquid

    缓冲液

    PBS with 0.02 % sodium azide,50 % glycerol, pH 7.3.

    储存液

    Sodium azide

    注意事项

    This product contains Sodium azide: a POISONOUS AND HAZARDOUS SUBSTANCE which should be handled by trained staff only.

    储存条件

    -20 °C

    储存方法

    Store at -20°C. Avoid freeze / thaw cycles.
  • 抗原

    LIG3 (Ligase III, DNA, ATP-Dependent (LIG3))

    别名

    LIG3

    背景

    This gene is a member of the DNA ligase family. Each member of this family encodes a protein that catalyzes the joining of DNA ends but they each have a distinct role in DNA metabolism. The protein encoded by this gene is involved in excision repair and is located in both the mitochondria and nucleus, with translation initiation from the upstream start codon allowing for transport to the mitochondria and translation initiation from a downstream start codon allowing for transport to the nucleus. Additionally, alternate transcriptional splice variants, encoding different isoforms, have been characterized.,LIG3,LIG2,Epigenetics & Nuclear Signaling,LIG3

    分子量

    95 kDa/102 kDa/106 kDa/112 kDa

    基因ID

    3980

    UniProt

    P49916

    途径

    DNA Damage Repair
You are here: