电话:
+86 (0512) 65829739
传真:
+86 (010) 6788 5057
电子邮件:
orders@antibodies-online.cn

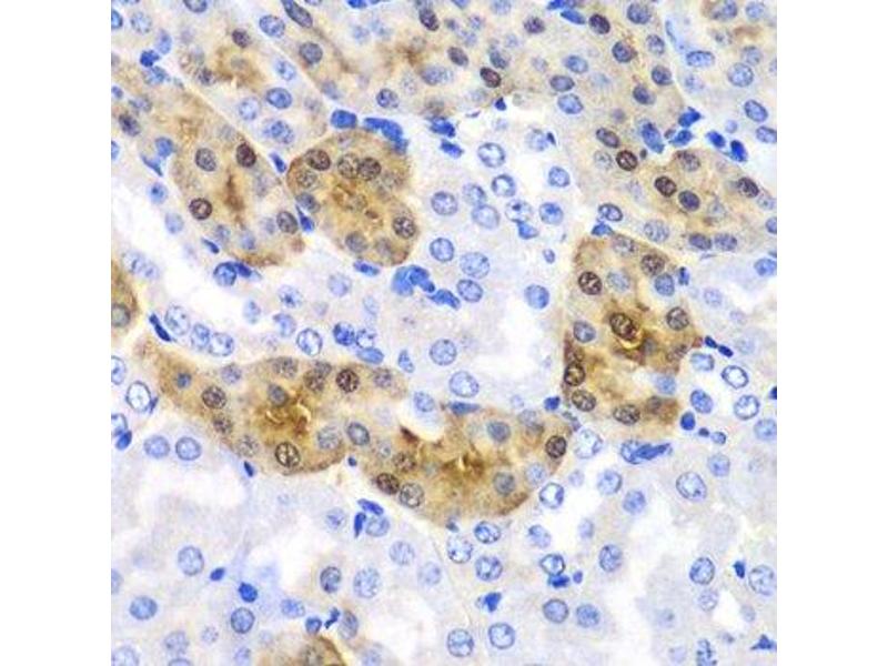
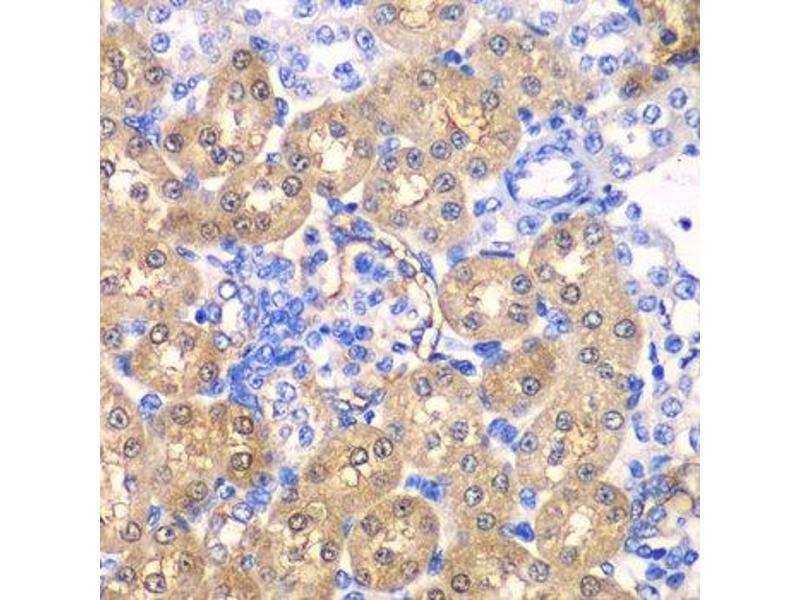
HPD 抗体 (AA 1-393)

The 兔 多克隆 anti-HPD antibody (ABIN6141964) specifically detects HPD in WB 和 IHC. The antibody is reactive with 人 samples.
产品编号 ABIN6141964
发货至: 中国
Contact our Customer Service for availability and price in your country. Contact Info

Our Local Distributor

中国
北京 101111
No. 88 KeChuang 6th Street
Beijing Economic Technological Development Area
Room 801-803
4A Biotech Co.,Ltd.
Tel +86 (0512) 65829739 传真 +86 (010) 6788 5057

Quick Overview for HPD 抗体 (AA 1-393) (ABIN6141964)

抗原

See all HPD 抗体
HPD (4-Hydroxyphenylpyruvate Dioxygenase (HPD))

适用

  • 66
  • 31
  • 14
  • 5
  • 4
  • 2
  • 2
  • 2
  • 2
  • 2
  • 2
  • 1
  • 1
  • 1
  • 1

宿主

  • 69
  • 6

克隆类型

  • 68
  • 7
多克隆

标记

  • 29
  • 8
  • 8
  • 8
  • 3
  • 3
  • 3
  • 3
  • 3
  • 3
  • 2
  • 2
This HPD antibody is un-conjugated

应用范围

  • 41
  • 35
  • 16
  • 7
  • 5
  • 4
  • 4
  • 4
  • 2
  • 1
  • 1
Western Blotting (WB), Immunohistochemistry (IHC)
  • 抗原表位

    • 9
    • 9
    • 8
    • 8
    • 4
    • 4
    • 1
    • 1
    • 1
    • 1
    AA 1-393

    序列

    MTTYSDKGAK PERGRFLHFH SVTFWVGNAK QAASFYCSKM GFEPLAYRGL ETGSREVVSH VIKQGKIVFV LSSALNPWNK EMGDHLVKHG DGVKDIAFEV EDCDYIVQKA RERGAKIMRE PWVEQDKFGK VKFAVLQTYG DTTHTLVEKM NYIGQFLPGY EAPAFMDPLL PKLPKCSLEM IDHIVGNQPD QEMVSASEWY LKNLQFHRFW SVDDTQVHTE YSSLRSIVVA NYEESIKMPI NEPAPGKKKS QIQEYVDYNG GAGVQHIALK TEDIITAIRH LRERGLEFLS VPSTYYKQLR EKLKTAKIKV KENIDALEEL KILVDYDEKG YLLQIFTKPV QDRPTLFLEV IQRHNHQGFG AGNFNSLFKA FEEEQNLRGN LTNMETNGVV PGM

    交叉反应

    人, 小鼠, 大鼠

    产品特性

    Polyclonal Antibodies

    纯化方法

    Affinity purification

    免疫原

    Recombinant fusion protein containing a sequence corresponding to amino acids 1-393 of human HPD (NP_002141.1).

    亚型

    IgG
  • 应用备注

    WB,1:500 - 1:2000,IHC,1:50 - 1:200

    说明

    HIGH QUALITY

    限制

    仅限研究用
  • 状态

    Liquid

    缓冲液

    PBS with 0.02 % sodium azide,50 % glycerol, pH 7.3.

    储存液

    Sodium azide

    注意事项

    This product contains Sodium azide: a POISONOUS AND HAZARDOUS SUBSTANCE which should be handled by trained staff only.

    储存条件

    -20 °C

    储存方法

    Store at -20°C. Avoid freeze / thaw cycles.
  • 抗原

    HPD (4-Hydroxyphenylpyruvate Dioxygenase (HPD))

    别名

    HPD

    背景

    The protein encoded by this gene is an enzyme in the catabolic pathway of tyrosine. The encoded protein catalyzes the conversion of 4-hydroxyphenylpyruvate to homogentisate. Defects in this gene are a cause of tyrosinemia type 3 (TYRO3) and hawkinsinuria (HAWK). Two transcript variants encoding different isoforms have been found for this gene.,HPD,4-HPPD,4HPPD,GLOD3,HPPDASE,PPD,Cancer,Signal Transduction,Cell Biology & Developmental Biology,Endocrine & Metabolism,Amino acid metabolism,HPD

    分子量

    40 kDa/44 kDa

    基因ID

    3242

    UniProt

    P32754
You are here: