电话:
+86 (0512) 65829739
传真:
+86 (010) 6788 5057
电子邮件:
orders@antibodies-online.cn

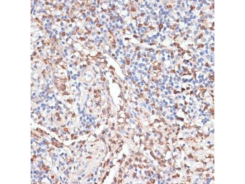
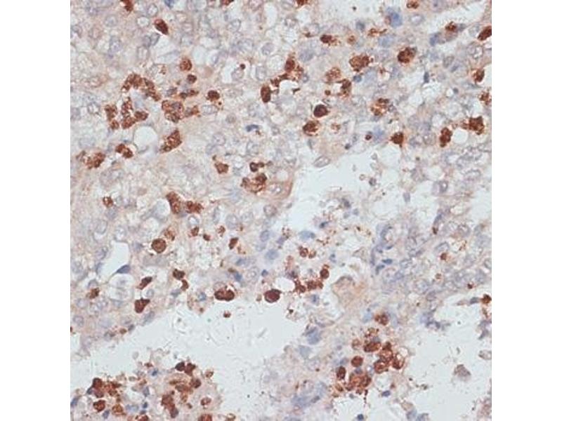
Cathepsin G 抗体 (AA 75-190)

This 兔 多克隆 antibody specifically detects Cathepsin G in WB 和 IHC. It exhibits reactivity toward 人.
产品编号 ABIN6139228
发货至: 中国
Contact our Customer Service for availability and price in your country. Contact Info

Our Local Distributor

中国
北京 101111
No. 88 KeChuang 6th Street
Beijing Economic Technological Development Area
Room 801-803
4A Biotech Co.,Ltd.
Tel +86 (0512) 65829739 传真 +86 (010) 6788 5057

Quick Overview for Cathepsin G 抗体 (AA 75-190) (ABIN6139228)

抗原

See all Cathepsin G (CTSG) 抗体
Cathepsin G (CTSG)

适用

  • 54
  • 28
  • 23
  • 2

宿主

  • 61
  • 5

克隆类型

  • 62
  • 4
多克隆

标记

  • 33
  • 5
  • 5
  • 2
  • 2
  • 1
  • 1
  • 1
  • 1
  • 1
  • 1
  • 1
  • 1
  • 1
  • 1
  • 1
  • 1
  • 1
  • 1
  • 1
  • 1
  • 1
  • 1
  • 1
This Cathepsin G antibody is un-conjugated

应用范围

  • 47
  • 17
  • 16
  • 13
  • 13
  • 9
  • 7
  • 6
  • 4
  • 4
  • 3
  • 3
  • 2
  • 2
Western Blotting (WB), Immunohistochemistry (IHC)
  • 抗原表位

    • 16
    • 7
    • 6
    • 3
    • 3
    • 2
    • 2
    • 2
    • 2
    • 1
    • 1
    • 1
    • 1
    • 1
    • 1
    • 1
    • 1
    • 1
    • 1
    AA 75-190

    序列

    GAHNIQRREN TQQHITARRA IRHPQYNQRT IQNDIMLLQL SRRVRRNRNV NPVALPRAQE GLRPGTLCTV AGWGRVSMRR GTDTLREVQL RVQRDRQCLR IFGSYDPRRQ ICVGDR

    交叉反应

    人, 小鼠, 大鼠

    产品特性

    Polyclonal Antibodies

    纯化方法

    Affinity purification

    免疫原

    Recombinant fusion protein containing a sequence corresponding to amino acids 75-190 of human CTSG (NP_001902.1).

    亚型

    IgG
  • 应用备注

    WB,1:500 - 1:2000,IHC,1:50 - 1:100

    说明

    HIGH QUALITY

    限制

    仅限研究用
  • 状态

    Liquid

    缓冲液

    PBS with 0.02 % sodium azide,50 % glycerol, pH 7.3.

    储存液

    Sodium azide

    注意事项

    This product contains Sodium azide: a POISONOUS AND HAZARDOUS SUBSTANCE which should be handled by trained staff only.

    储存条件

    -20 °C

    储存方法

    Store at -20°C. Avoid freeze / thaw cycles.
  • 抗原

    Cathepsin G (CTSG)

    别名

    CTSG

    背景

    The protein encoded by this gene, a member of the peptidase S1 protein family, is found in azurophil granules of neutrophilic polymorphonuclear leukocytes. The encoded protease has a specificity similar to that of chymotrypsin C, and may participate in the killing and digestion of engulfed pathogens, and in connective tissue remodeling at sites of inflammation. In addition, the encoded protein is antimicrobial, with bacteriocidal activity against S. aureus and N. gonorrhoeae. Transcript variants utilizing alternative polyadenylation signals exist for this gene.,CTSG,CATG,CG,Signal Transduction,Cell Biology & Developmental Biology,Cell Adhesion,Cytoskeleton,Extracellular Matrix,Neuroscience,CTSG

    分子量

    28 kDa

    基因ID

    1511

    UniProt

    P08311

    途径

    ACE Inhibitor Pathway, Peptide Hormone Metabolism, Regulation of Systemic Arterial Blood Pressure by Hormones
You are here: