电话:
+86 (0512) 65829739
传真:
+86 (010) 6788 5057
电子邮件:
orders@antibodies-online.cn

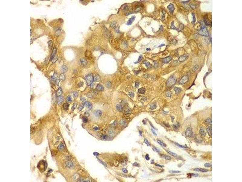
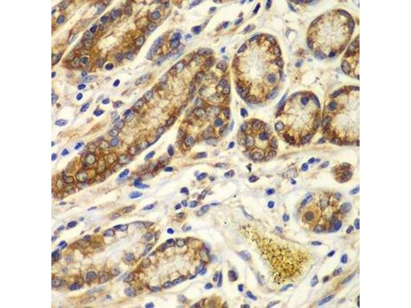
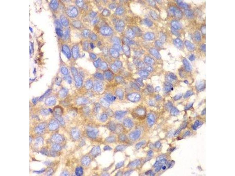
Calpain S1 抗体 (AA 69-268)

Cited in 1 publication. The 兔 多克隆 anti-Calpain S1 antibody (ABIN6137928) specifically detects Calpain S1 in WB, IHC 和 IF. The antibody is reactive with 人 samples.
产品编号 ABIN6137928
发货至: 中国
Contact our Customer Service for availability and price in your country. Contact Info

Our Local Distributor

中国
北京 101111
No. 88 KeChuang 6th Street
Beijing Economic Technological Development Area
Room 801-803
4A Biotech Co.,Ltd.
Tel +86 (0512) 65829739 传真 +86 (010) 6788 5057

Quick Overview for Calpain S1 抗体 (AA 69-268) (ABIN6137928)

抗原

See all Calpain S1 (CAPNS1) 抗体
Calpain S1 (CAPNS1) (Calpain, Small Subunit 1 (CAPNS1))

适用

  • 49
  • 30
  • 21
  • 3
  • 2
  • 2
  • 1
  • 1
  • 1
  • 1
  • 1
  • 1
  • 1

宿主

  • 42
  • 8

克隆类型

  • 30
  • 20
多克隆

标记

  • 23
  • 4
  • 3
  • 3
  • 3
  • 3
  • 3
  • 3
  • 2
  • 1
  • 1
  • 1
This Calpain S1 antibody is un-conjugated

应用范围

  • 28
  • 17
  • 17
  • 17
  • 11
  • 5
  • 2
  • 1
  • 1
  • 1
Western Blotting (WB), Immunohistochemistry (IHC), Immunofluorescence (IF)
  • 抗原表位

    • 8
    • 3
    • 2
    • 1
    • 1
    • 1
    • 1
    • 1
    AA 69-268

    序列

    ISEAAAQYNP EPPPPRTHYS NIEANESEEV RQFRRLFAQL AGDDMEVSAT ELMNILNKVV TRHPDLKTDG FGIDTCRSMV AVMDSDTTGK LGFEEFKYLW NNIKRWQAIY KQFDTDRSGT ICSSELPGAF EAAGFHLNEH LYNMIIRRYS DESGNMDFDN FISCLVRLDA MFRAFKSLDK DGTGQIQVNI QEWLQLTMYS

    交叉反应

    人, 小鼠, 大鼠

    产品特性

    Polyclonal Antibodies

    纯化方法

    Affinity purification

    免疫原

    Recombinant fusion protein containing a sequence corresponding to amino acids 69-268 of human Calpain small subunit 1 (NP_001740.1).

    亚型

    IgG
  • 应用备注

    WB,1:500 - 1:2000,IHC,1:50 - 1:100,IF,1:50 - 1:100

    说明

    HIGH QUALITY

    限制

    仅限研究用
  • 状态

    Liquid

    缓冲液

    PBS with 0.02 % sodium azide,50 % glycerol, pH 7.3.

    储存液

    Sodium azide

    注意事项

    This product contains Sodium azide: a POISONOUS AND HAZARDOUS SUBSTANCE which should be handled by trained staff only.

    储存条件

    -20 °C

    储存方法

    Store at -20°C. Avoid freeze / thaw cycles.
  • Liu, Lou, Li, Xu, Ruan, Xiao, Qiu, Bao, Yuan, Huang, Wang, Cao, Chen, Yang, Zhang: "Calpain and AR-V7: Two potential therapeutic targets to overcome acquired docetaxel resistance in castration-resistant prostate cancer cells." in: Oncology reports, Vol. 37, Issue 6, pp. 3651-3659, (2018) (PubMed).

  • 抗原

    Calpain S1 (CAPNS1) (Calpain, Small Subunit 1 (CAPNS1))

    别名

    CAPNS1

    背景

    This gene is a member of the calpain small subunit family. Calpains are calcium-dependent cysteine proteinases that are widely distributed in mammalian cells. Calpains operate as heterodimers, comprising a specific large catalytic subunit (calpain 1 subunit in Calpain I, and calpain 2 subunit in Calpain II), and a common small regulatory subunit encoded by this gene. This encoded protein is essential for the stability and function of both calpain heterodimers, whose proteolytic activities influence various cellular functions including apoptosis, proliferation, migration, adhesion, and autophagy. Calpains have been implicated in neurodegenerative processes, such as myotonic dystrophy. A pseudogene of this gene has been defined on chromosome 1. Alternative splicing results in multiple transcript variants.,CAPNS1,CALPAIN4,CANP,CANPS,CAPN4,CDPS,CSS1,Signal Transduction,Immunology & Inflammation,T Cell Receptor Signaling Pathway,Neuroscience,Calcium Signaling,CAPNS1

    分子量

    28 kDa

    基因ID

    826

    UniProt

    P04632

    途径

    Apoptosis
You are here: