电话:
+86 (0512) 65829739
传真:
+86 (010) 6788 5057
电子邮件:
orders@antibodies-online.cn

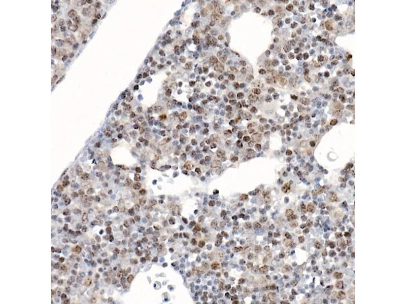
Survivin 抗体 (AA 1-142)

This 兔 多克隆 antibody specifically detects Survivin in WB 和 IHC. It exhibits reactivity toward 人. It has been mentioned in 2+ publications
产品编号 ABIN6137562
发货至: 中国
Contact our Customer Service for availability and price in your country. Contact Info

Our Local Distributor

中国
北京 101111
No. 88 KeChuang 6th Street
Beijing Economic Technological Development Area
Room 801-803
4A Biotech Co.,Ltd.
Tel +86 (0512) 65829739 传真 +86 (010) 6788 5057

Quick Overview for Survivin 抗体 (AA 1-142) (ABIN6137562)

抗原

See all Survivin (BIRC5) 抗体
Survivin (BIRC5) (Baculoviral IAP Repeat-Containing 5 (BIRC5))

适用

  • 150
  • 71
  • 60
  • 1
  • 1
  • 1
  • 1
  • 1

宿主

  • 130
  • 39
  • 1
  • 1
  • 1

克隆类型

  • 95
  • 77
多克隆

标记

  • 87
  • 14
  • 10
  • 5
  • 4
  • 4
  • 4
  • 4
  • 4
  • 4
  • 3
  • 3
  • 2
  • 2
  • 2
  • 2
  • 2
  • 2
  • 2
  • 2
  • 2
  • 2
  • 2
  • 2
  • 1
  • 1
This Survivin antibody is un-conjugated

应用范围

  • 138
  • 61
  • 56
  • 55
  • 36
  • 34
  • 33
  • 26
  • 20
  • 13
  • 6
  • 6
  • 5
  • 3
  • 1
  • 1
  • 1
  • 1
Western Blotting (WB), Immunohistochemistry (IHC)
  • 抗原表位

    • 20
    • 16
    • 8
    • 7
    • 6
    • 5
    • 4
    • 4
    • 2
    • 2
    • 2
    • 2
    • 2
    • 2
    • 2
    • 1
    • 1
    • 1
    • 1
    • 1
    • 1
    • 1
    • 1
    • 1
    • 1
    • 1
    • 1
    • 1
    AA 1-142

    序列

    MGAPTLPPAW QPFLKDHRIS TFKNWPFLEG CACTPERMAE AGFIHCPTEN EPDLAQCFFC FKELEGWEPD DDPIEEHKKH SSGCAFLSVK KQFEELTLGE FLKLDRERAK NKIAKETNNK KKEFEETAEK VRRAIEQLAA MD

    交叉反应

    人, 小鼠, 大鼠

    产品特性

    Polyclonal Antibodies

    纯化方法

    Affinity purification

    免疫原

    Recombinant fusion protein containing a sequence corresponding to amino acids 1-142 of human Survivin (NP_001159.2).

    亚型

    IgG
  • 应用备注

    WB,1:500 - 1:2000,IHC,1:50 - 1:200

    说明

    HIGH QUALITY

    限制

    仅限研究用
  • 状态

    Liquid

    缓冲液

    PBS with 0.02 % sodium azide,50 % glycerol, pH 7.3.

    储存液

    Sodium azide

    注意事项

    This product contains Sodium azide: a POISONOUS AND HAZARDOUS SUBSTANCE which should be handled by trained staff only.

    储存条件

    -20 °C

    储存方法

    Store at -20°C. Avoid freeze / thaw cycles.
  • Jin, Zhu, Liang, Huang, Xie, Xiao, Ni, Liu: "Sodium selenate activated Wnt/β-catenin signaling and repressed amyloid-β formation in a triple transgenic mouse model of Alzheimer's disease." in: Experimental neurology, Vol. 297, pp. 36-49, (2017) (PubMed).

    Ying, Zhu, Liang, Ma, Li: "GLP1 protects cardiomyocytes from palmitate-induced apoptosis via Akt/GSK3b/b-catenin pathway." in: Journal of molecular endocrinology, Vol. 55, Issue 3, pp. 245-62, (2016) (PubMed).

  • 抗原

    Survivin (BIRC5) (Baculoviral IAP Repeat-Containing 5 (BIRC5))

    别名

    BIRC5

    背景

    This gene is a member of the inhibitor of apoptosis (IAP) gene family, which encode negative regulatory proteins that prevent apoptotic cell death. IAP family members usually contain multiple baculovirus IAP repeat (BIR) domains, but this gene encodes proteins with only a single BIR domain. The encoded proteins also lack a C-terminus RING finger domain. Gene expression is high during fetal development and in most tumors, yet low in adult tissues. Alternatively spliced transcript variants encoding distinct isoforms have been found for this gene.,API4,EPR-1,BIRC5,Survivin,Cancer,Invasion and Metastasis,Cell Biology & Developmental Biology,Apoptosis,Death receptors & ligands,Cell Cycle,Centrosome,Centromere,Neuroscience,Cell Type Marker,Neurodegenerative Diseases,Astrocyte marker,BIRC5

    分子量

    8 kDa/13 kDa/15 kDa/16 kDa/18 kDa

    基因ID

    332

    UniProt

    O15392

    途径

    Apoptosis, Cell Division Cycle, Nuclear Hormone Receptor Binding
You are here: