STAT5A 抗体 (pTyr694)
Our Local Distributor
北京 101111
Quick Overview for STAT5A 抗体 (pTyr694) (ABIN6136272)
抗原
See all STAT5A 抗体适用
宿主
克隆类型
标记
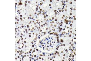
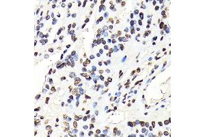
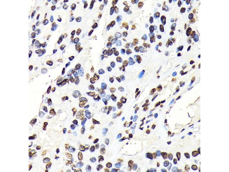
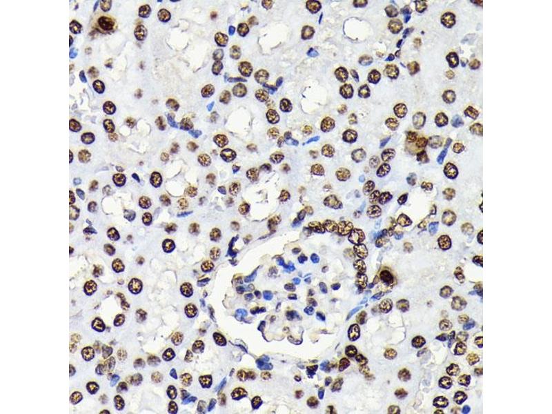
应用范围
-
-
抗原表位
- pTyr694
-
交叉反应
- 人, 小鼠, 大鼠
-
产品特性
- Phosphorylated Antibodies
-
纯化方法
- Affinity purification
-
免疫原
- A synthesized peptide derived from human Phospho-Stat5 (Y694).
-
亚型
- IgG
-
-
-
-
应用备注
- WB,1:500 - 1:2000,IHC,1:50 - 1:200
-
限制
- 仅限研究用
-
-
-
状态
- Liquid
-
缓冲液
- PBS with 0.02 % sodium azide,0.05 % BSA,50 % glycerol, pH 7.3.
-
储存液
- Sodium azide
-
注意事项
- This product contains Sodium azide: a POISONOUS AND HAZARDOUS SUBSTANCE which should be handled by trained staff only.
-
储存条件
- -20 °C
-
储存方法
- Store at -20°C. Avoid freeze / thaw cycles.
-
-
- STAT5A (Signal Transducer and Activator of Transcription 5A (STAT5A))
-
别名
- STAT5A
-
背景
- The protein encoded by this gene is a member of the STAT family of transcription factors. In response to cytokines and growth factors, STAT family members are phosphorylated by the receptor associated kinases, and then form homo- or heterodimers that translocate to the cell nucleus where they act as transcription activators. This protein is activated by, and mediates the responses of many cell ligands, such as IL2, IL3, IL7 GM-CSF, erythropoietin, thrombopoietin, and different growth hormones. Activation of this protein in myeloma and lymphoma associated with a TEL/JAK2 gene fusion is independent of cell stimulus and has been shown to be essential for tumorigenesis. The mouse counterpart of this gene is found to induce the expression of BCL2L1/BCL-X(L), which suggests the antiapoptotic function of this gene in cells. Alternatively spliced transcript variants have been found for this gene. [provided by RefSeq, Dec 2013],MGF,STAT5,STAT5A,Apoptosis,Cell Biology & Developmental Biology,Epigenetics & Nuclear Signaling,ErbB-HER Signaling Pathway,IL-6 Receptor Signaling Pathway,Immunology & Inflammation,Protein phosphorylation,Signal Transduction,Stem Cells,Transcription Factors,STAT5A
-
分子量
- 90 kDa
-
基因ID
- 6776
-
UniProt
- P42229
-
途径
- JAK/STAT Signaling, RTK signaling, Response to Growth Hormone Stimulus, C21-Steroid Hormone Metabolic Process, Regulation of Leukocyte Mediated Immunity, Positive Regulation of Immune Effector Process, CXCR4-mediated Signaling Events, Activated T Cell Proliferation
抗原
-