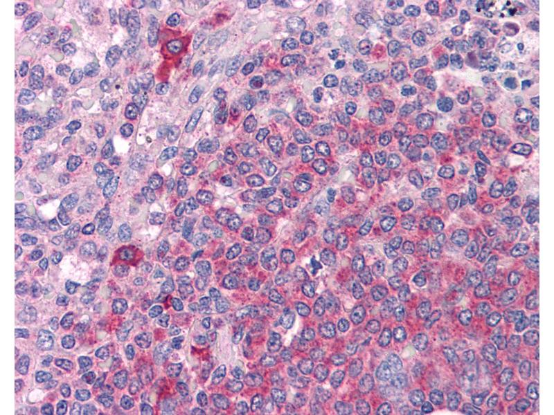
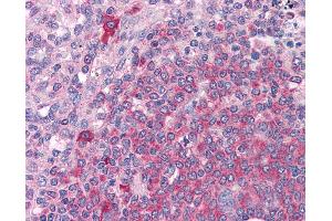
BTK 抗体 (AA 91-387)
Our Local Distributor
北京 101111
Quick Overview for BTK 抗体 (AA 91-387) (ABIN604940)
抗原
See all BTK 抗体适用
宿主
克隆类型
标记
应用范围
-
-
抗原表位
- AA 91-387
-
特异性
- Human Btk. Predicted cross-reactivity based on amino acid sequence homology: mouse (97 % ), rat (97 %), bovine (98 %).
-
纯化方法
- Immunoaffinity purified
-
免疫原
-
Recombinant protein fragment containing a sequence corresponding to a region within amino acids 91 and 387 of Human Btk.
Type of Immunogen: Recombinant protein
-
-
-
-
应用备注
- Approved: IHC, IHC-P (10 μg/mL), WB (1:1000 - 1:10000)
-
说明
-
Target Species of Antibody: Human
-
限制
- 仅限研究用
-
-
-
状态
- Liquid
-
浓度
- Lot specific
-
缓冲液
- 0.1 M Tris-glycine, pH 7, 10 % Glycerol, 0.01 % Thimerosal
-
储存液
- Thimerosal (Merthiolate)
-
注意事项
- This product contains Thimerosal (Merthiolate): a POISONOUS AND HAZARDOUS SUBSTANCE which should be handled by trained staff only.
-
注意事项
- Minimize freezing and thawing.
-
储存条件
- -20 °C
-
储存方法
- Aliquot and store at -20°C. Avoid freeze-thaw cycles.
-
-
- BTK (Bruton Agammaglobulinemia tyrosine Kinase (BTK))
-
别名
- BTK
-
背景
-
Name/Gene ID: BTK
Subfamily: BTK/TEC
Family: Protein Kinase
Synonyms: BTK, AGMX1, AT, ATK, XLA, PSCTK1, B-cell progenitor kinase, BPK, Bruton tyrosine kinase, Tyrosine-protein kinase BTK, IMD1 -
基因ID
- 695
-
UniProt
- Q06187
-
途径
- Fc-epsilon Receptor Signaling Pathway, Hormone Transport, Activation of Innate immune Response, Regulation of Leukocyte Mediated Immunity, Production of Molecular Mediator of Immune Response, Toll-Like Receptors Cascades, BCR Signaling
抗原
-