电话:
+86 (0512) 65829739
传真:
+86 (010) 6788 5057
电子邮件:
orders@antibodies-online.cn

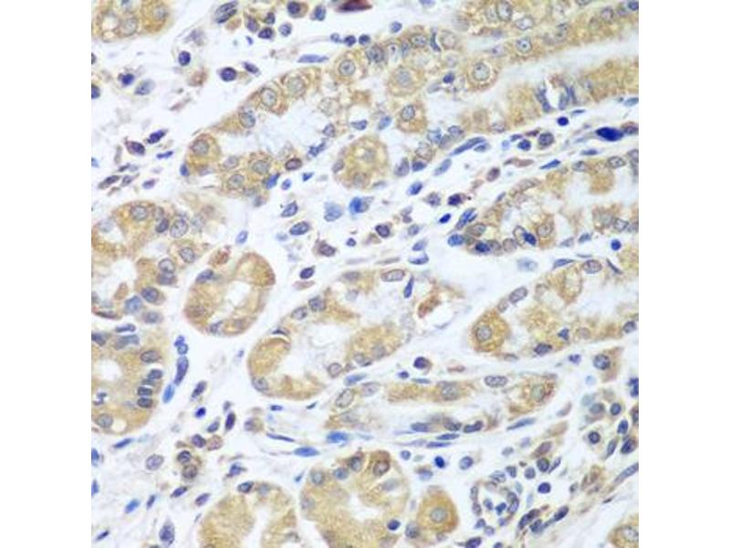
EIF1AX 抗体

This 兔 多克隆 antibody specifically detects EIF1AX in IHC 和 WB. It exhibits reactivity toward 人, 小鼠 和 大鼠.
产品编号 ABIN5973507
发货至: 中国
Contact our Customer Service for availability and price in your country. Contact Info

Our Local Distributor

中国
北京 101111
No. 88 KeChuang 6th Street
Beijing Economic Technological Development Area
Room 801-803
4A Biotech Co.,Ltd.
Tel +86 (0512) 65829739 传真 +86 (010) 6788 5057

Quick Overview for EIF1AX 抗体 (ABIN5973507)

抗原

See all EIF1AX 抗体
EIF1AX (Eukaryotic Translation Initiation Factor 1A, X-Linked (EIF1AX))

适用

  • 27
  • 14
  • 6
  • 2
  • 2
  • 2
  • 2
  • 2
  • 2
  • 2
  • 1
  • 1
  • 1
  • 1
  • 1
  • 1
人, 小鼠, 大鼠

宿主

  • 27

克隆类型

  • 22
  • 5
多克隆

标记

  • 15
  • 2
  • 1
  • 1
  • 1
  • 1
  • 1
  • 1
  • 1
  • 1
  • 1
  • 1
This EIF1AX antibody is un-conjugated

应用范围

  • 12
  • 10
  • 9
  • 5
  • 5
  • 4
  • 3
  • 2
  • 2
Immunohistochemistry (IHC), Western Blotting (WB)
You are here: