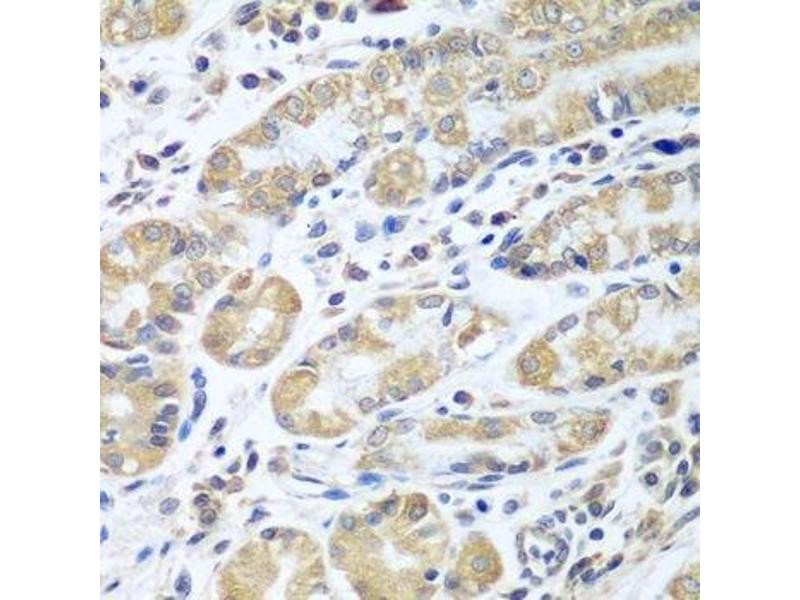
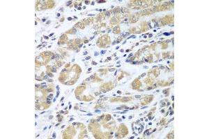
EIF1AX 抗体 (AA 10-144)
Our Local Distributor
北京 101111
Quick Overview for EIF1AX 抗体 (AA 10-144) (ABIN6140017)
抗原
See all EIF1AX 抗体适用
宿主
克隆类型
标记
应用范围
-
-
抗原表位
- AA 10-144
-
序列
- KNRRRGKNEN ESEKRELVFK EDGQEYAQVI KMLGNGRLEA MCFDGVKRLC HIRGKLRKKV WINTSDIILV GLRDYQDNKA DVILKYNADE ARSLKAYGEL PEHAKINETD TFGPGDDDEI QFDDIGDDDE DIDDI
-
交叉反应
- 人, 小鼠, 大鼠
-
产品特性
- Polyclonal Antibodies
-
纯化方法
- Affinity purification
-
免疫原
- Recombinant fusion protein containing a sequence corresponding to amino acids 10-144 of human EIF1AX (NP_001403.1).
-
亚型
- IgG
-
-
-
-
应用备注
- WB,1:200 - 1:2000,IHC,1:100 - 1:200,IF,1:50 - 1:200
-
说明
-
HIGH QUALITY
-
限制
- 仅限研究用
-
-
-
状态
- Liquid
-
缓冲液
- PBS with 0.02 % sodium azide,50 % glycerol, pH 7.3.
-
储存液
- Sodium azide
-
注意事项
- This product contains Sodium azide: a POISONOUS AND HAZARDOUS SUBSTANCE which should be handled by trained staff only.
-
储存条件
- -20 °C
-
储存方法
- Store at -20°C. Avoid freeze / thaw cycles.
-
-
- EIF1AX (Eukaryotic Translation Initiation Factor 1A, X-Linked (EIF1AX))
-
别名
- EIF1AX
-
背景
- This gene encodes an essential eukaryotic translation initiation factor. The protein is required for the binding of the 43S complex (a 40S subunit, eIF2/GTP/Met-tRNAi and eIF3) to the 5' end of capped RNA.,EIF1AX,EIF1A,EIF1AP1,EIF4C,eIF-1A,eIF-4C,X-linked,Epigenetics & Nuclear Signaling,RNA Binding,EIF1AX
-
分子量
- 16 kDa
-
基因ID
- 1964
-
UniProt
- P47813
抗原
-