电话:
+86 (0512) 65829739
传真:
+86 (010) 6788 5057
电子邮件:
orders@antibodies-online.cn

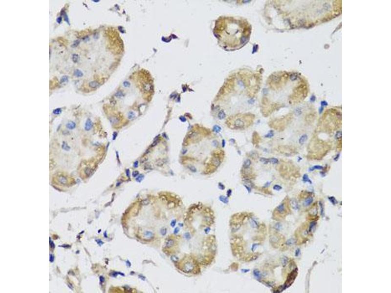
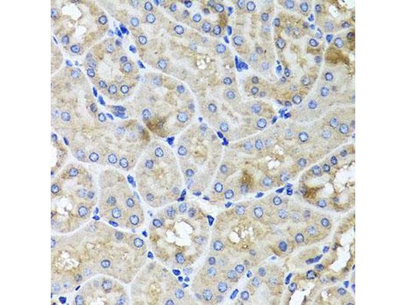
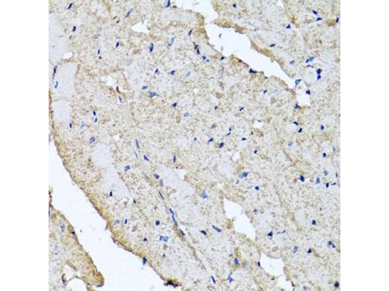
USH1C 抗体

The 兔 多克隆 anti-USH1C antibody is suitable to detect USH1C in samples from 人, 小鼠 和 大鼠. It has been validated for WB 和 IHC.
产品编号 ABIN5972448
发货至: 中国
Contact our Customer Service for availability and price in your country. Contact Info

Our Local Distributor

中国
北京 101111
No. 88 KeChuang 6th Street
Beijing Economic Technological Development Area
Room 801-803
4A Biotech Co.,Ltd.
Tel +86 (0512) 65829739 传真 +86 (010) 6788 5057

Quick Overview for USH1C 抗体 (ABIN5972448)

抗原

See all USH1C 抗体
USH1C (Usher Syndrome 1C (Autosomal Recessive, Severe) (USH1C))

适用

  • 23
  • 10
  • 2
  • 1
人, 小鼠, 大鼠

宿主

  • 19
  • 4
  • 1

克隆类型

  • 21
  • 3
多克隆

标记

  • 15
  • 3
  • 2
  • 2
  • 1
  • 1
This USH1C antibody is un-conjugated

应用范围

  • 18
  • 17
  • 4
  • 3
  • 1
  • 1
  • 1
Western Blotting (WB), Immunohistochemistry (IHC)
You are here: