电话:
+86 (0512) 65829739
传真:
+86 (010) 6788 5057
电子邮件:
orders@antibodies-online.cn

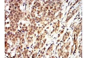
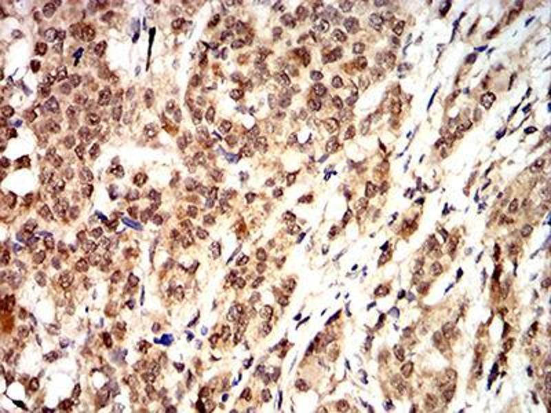
Cyclin D1 抗体 (AA 167-295)

The 小鼠 单克隆 anti-Cyclin D1 antibody (ABIN5862106) specifically detects Cyclin D1. The antibody is reactive with 人 samples.
产品编号 ABIN5862106
发货至: 中国
Contact our Customer Service for availability and price in your country. Contact Info

Our Local Distributor

中国
北京 101111
No. 88 KeChuang 6th Street
Beijing Economic Technological Development Area
Room 801-803
4A Biotech Co.,Ltd.
Tel +86 (0512) 65829739 传真 +86 (010) 6788 5057

Quick Overview for Cyclin D1 抗体 (AA 167-295) (ABIN5862106)

抗原

See all Cyclin D1 (CCND1) 抗体
Cyclin D1 (CCND1)

适用

  • 236
  • 134
  • 126
  • 42
  • 21
  • 18
  • 17
  • 12
  • 9
  • 9
  • 3
  • 3
  • 3
  • 3
  • 2
  • 2
  • 2
  • 1
  • 1
  • 1
  • 1

宿主

  • 187
  • 76
  • 1
小鼠

克隆类型

  • 162
  • 100
单克隆

标记

  • 130
  • 25
  • 15
  • 6
  • 4
  • 4
  • 4
  • 4
  • 4
  • 4
  • 4
  • 4
  • 4
  • 4
  • 4
  • 4
  • 4
  • 3
  • 3
  • 2
  • 2
  • 2
  • 2
  • 2
  • 2
  • 2
  • 2
  • 2
  • 2
  • 2
  • 2
  • 2
  • 1
  • 1
  • 1
  • 1
This Cyclin D1 antibody is un-conjugated

应用范围

请咨询
  • 抗原表位

    • 21
    • 16
    • 16
    • 15
    • 12
    • 12
    • 10
    • 9
    • 8
    • 7
    • 7
    • 3
    • 3
    • 3
    • 2
    • 2
    • 2
    • 2
    • 2
    • 2
    • 2
    • 2
    • 2
    • 1
    • 1
    • 1
    • 1
    • 1
    • 1
    • 1
    • 1
    • 1
    • 1
    • 1
    • 1
    • 1
    • 1
    • 1
    • 1
    • 1
    • 1
    • 1
    • 1
    AA 167-295

    产品特性

    Isotype: Mouse IgG1

    免疫原

    Purified recombinant fragment of human CCND1 (AA: 167-295) expressed in E. Coli.

    亚型

    IgG1
  • 限制

    仅限研究用
  • 状态

    Liquid

    缓冲液

    Purified antibody in PBS with 0.05 % sodium azide.

    储存液

    Sodium azide

    注意事项

    This product contains Sodium azide: a POISONOUS AND HAZARDOUS SUBSTANCE which should be handled by trained staff only.

    储存条件

    -20 °C

    储存方法

    Aliquot and store at -20 °C. Avoid repeated freeze/thaw cycles.
  • 抗原

    Cyclin D1 (CCND1)

    别名

    CCND1

    分子量

    26 kDa

    基因ID

    712

    UniProt

    P02745

    途径

    PI3K-Akt Signaling, Cell Division Cycle, Mitotic G1-G1/S Phases, ER-Nucleus Signaling
You are here: