ADAM17 抗体 (AA 215-315)
Our Local Distributor
北京 101111
Quick Overview for ADAM17 抗体 (AA 215-315) (ABIN574351)
抗原
See all ADAM17 抗体适用
宿主
克隆类型
标记
应用范围
克隆位点
-
-
抗原表位
- AA 215-315
-
纯化方法
- Purified from ascites by Protein A
-
免疫原
-
ADAM17 (NP_003174, 215 a.a. ~ 315 a.a) partial recombinant protein with GST tag. MW of the GST tag alone is 26 KDa.
Type of Immunogen: Recombinant protein -
亚型
- IgG2b kappa
-
-
-
-
应用备注
-
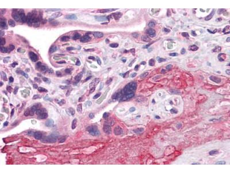
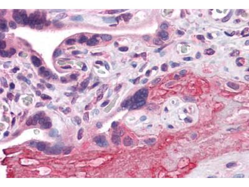
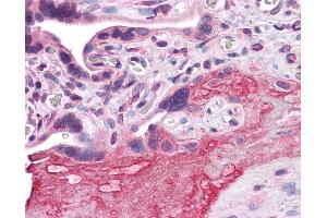
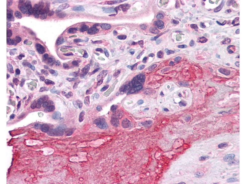
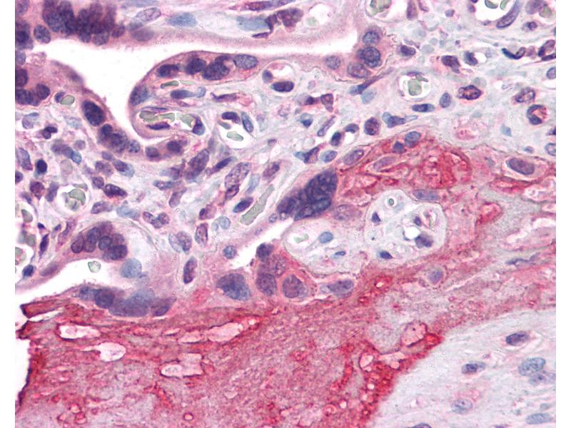
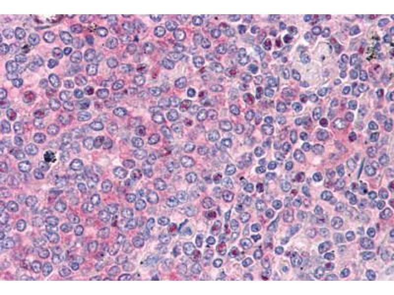
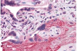
Approved: ELISA, IHC, IHC-P (5 μg/mL), PLA, WB (1:500 - 1:1000)
Usage: Western blot performed with the recombinant protein used as the immunogen. In situ Proximity Ligation Assay (Cell). -
说明
-
Target Species of Antibody: Human
-
限制
- 仅限研究用
-
-
-
状态
- Liquid
-
浓度
- Lot specific
-
缓冲液
- PBS, pH 7.4. Sourced in Ascites.
-
注意事项
- Aliquot to Avoid freeze/thaw cycles.
-
储存条件
- -20 °C
-
储存方法
- Store at -20°C. Aliquot to avoid freeze/thaw cycles.
-
-
- ADAM17 (ADAM Metallopeptidase Domain 17 (ADAM17))
-
别名
- ADAM17 / TACE
-
背景
-
Name/Gene ID: ADAM17
Subfamily: Metallopeptidase M12B
Family: Protease
Synonyms: ADAM17, CD156B, CD156b antigen, CSVP, ADAM 17, NISBD, TNF-alpha converting enzyme, TNF-alpha convertase, TNF-alpha-converting enzyme, Snake venom-like protease, TACE -
基因ID
- 6868
-
NCBI登录号
- NP_003174
-
UniProt
- P78536
-
途径
- Notch Signaling, EGFR Signaling Pathway, Neurotrophin Signaling Pathway, Response to Growth Hormone Stimulus
抗原
-