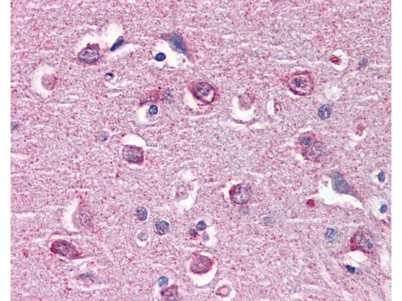
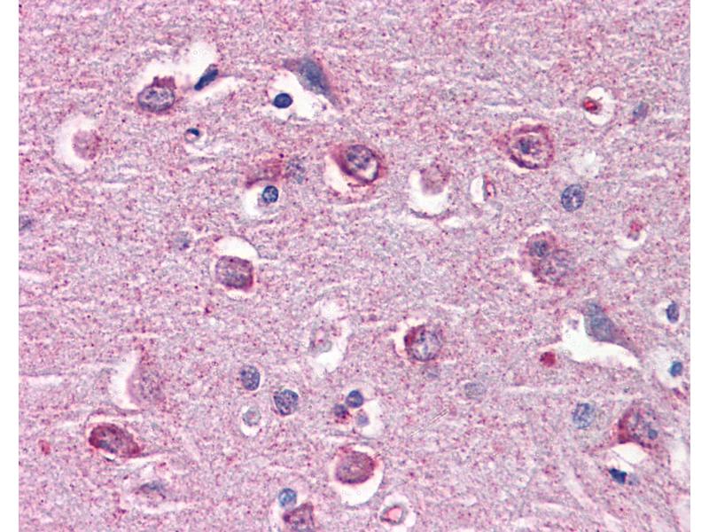
CAMK2B 抗体 (AA 1-504)
Our Local Distributor
北京 101111
Quick Overview for CAMK2B 抗体 (AA 1-504) (ABIN574217)
抗原
See all CAMK2B 抗体适用
宿主
克隆类型
标记
应用范围
克隆位点
-
-
抗原表位
- AA 1-504
-
纯化方法
- Purified from ascites by Protein A
-
免疫原
-
CAMK2B (AAH19070, 1 a.a. ~ 504 a.a) full length recombinant protein with GST tag. MW of the GST tag alone is 26 KDa.
Type of Immunogen: Recombinant protein -
亚型
- IgG1 kappa
-
-
-
-
应用备注
-
Approved: ELISA, IHC, IHC-P (5 μg/mL), WB
Usage: Western Blot (Cell lysate) - positive control HeLa NE. Sandwich ELISA (Recombinant protein). -
说明
-
Target Species of Antibody: Human
-
限制
- 仅限研究用
-
-
-
状态
- Liquid
-
浓度
- Lot specific
-
缓冲液
- PBS, pH 7.4
-
注意事项
- Aliquot to Avoid freeze/thaw cycles.
-
储存条件
- -20 °C
-
储存方法
- Store at -20°C. Aliquot to avoid freeze/thaw cycles.
-
-
- CAMK2B (Calcium/calmodulin-Dependent Protein Kinase II beta (CAMK2B))
-
别名
- CAMK2B / CaMKII beta
-
背景
-
Name/Gene ID: CAMK2B
Subfamily: CAMK2
Family: Protein Kinase
Synonyms: CAMK2B, Beta-subunit of CaMK II, Cam kinase II beta, CaMK IIbeta, CaM-kinase II beta chain, CAMKB, Beta CaMK II, CaM kinase II beta subunit, CaM kinase II subunit beta, CaM kinase IIbeta, CAM2, Camk ii beta, CAMK2, CaMKII beta, CaMK-II subunit beta, CaMKIIbeta -
基因ID
- 816
-
UniProt
- Q13554
-
途径
- WNT signaling, Interferon-gamma Pathway, Myometrial Relaxation and Contraction, Regulation of G-Protein Coupled Receptor Protein Signaling, Smooth Muscle Cell Migration, Regulation of long-term Neuronal Synaptic Plasticity
抗原
-