电话:
+86 (0512) 65829739
传真:
+86 (010) 6788 5057
电子邮件:
orders@antibodies-online.cn

TET2 抗体 (Internal Region)

This 山羊 多克隆 antibody specifically detects TET2 in ELISA, IHC 和 FACS. It exhibits reactivity toward 人.It has been mentioned in 1 publication
产品编号 ABIN571057
发货至: 中国
Contact our Customer Service for availability and price in your country. Contact Info

Our Local Distributor

中国
北京 101111
No. 88 KeChuang 6th Street
Beijing Economic Technological Development Area
Room 801-803
4A Biotech Co.,Ltd.
Tel +86 (0512) 65829739 传真 +86 (010) 6788 5057

Quick Overview for TET2 抗体 (Internal Region) (ABIN571057)

抗原

See all TET2 抗体
TET2 (Tet Methylcytosine Dioxygenase 2 (TET2))

适用

  • 55
  • 24
  • 16

宿主

  • 48
  • 9
山羊

克隆类型

  • 48
  • 9
多克隆

标记

  • 33
  • 2
  • 2
  • 2
  • 2
  • 1
  • 1
  • 1
  • 1
  • 1
  • 1
  • 1
  • 1
  • 1
  • 1
  • 1
  • 1
  • 1
  • 1
  • 1
  • 1
This TET2 antibody is un-conjugated

应用范围

  • 35
  • 17
  • 11
  • 10
  • 7
  • 7
  • 7
  • 5
  • 5
  • 3
  • 1
  • 1
ELISA, Immunohistochemistry (IHC), Flow Cytometry (FACS)

质量等级

Verified
  • 抗原表位

    • 13
    • 13
    • 8
    • 4
    • 2
    • 2
    • 2
    • 1
    • 1
    • 1
    Internal Region

    原理

    TET2

    序列

    PHPQSNNDQQ REGSF

    特异性

    This antibody is expected to recognize both reported isoforms (NP_001120680.1, NP_060098.3).

    交叉反应

    犬, 人, 小鼠

    纯化方法

    Purified from goat serum by ammonium sulphate precipitation followed by antigen affinity chromatography using the immunizing peptide.

    免疫原

    C-PHPQSNNDQQREGSF

    亚型

    IgG
  • 应用备注

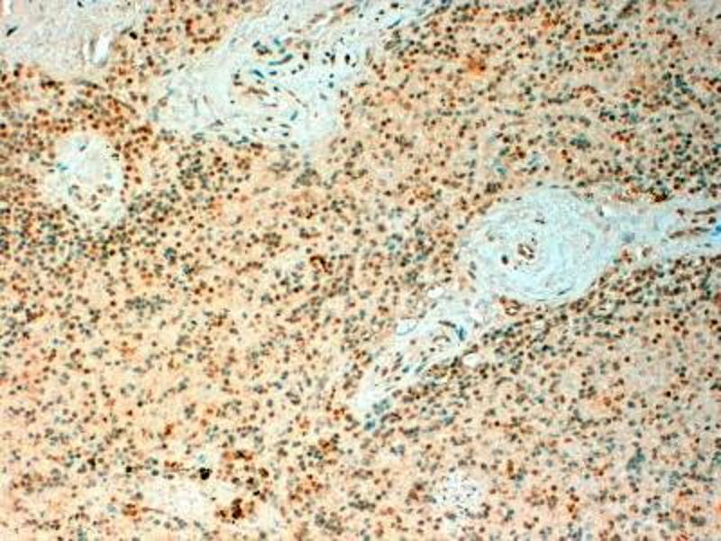
    Immunohistochemistry: In paraffin embedded Human Spleen shows nuclear staining in select splenocytes. Recommended concentration: 2-6 μg/mL.

    Peptide ELISA: antibody detection limit dilution 1:16000.

    说明

    Flow Cytometry: Flow cytometric analysis of A431 cells. Recommended concentration: 10ug/ml.

    限制

    仅限研究用
  • 状态

    Liquid

    浓度

    0.5 mg/mL

    缓冲液

    Supplied at 0.5 mg/mL in Tris saline, 0.02 % sodium azide, pH 7.3 with 0.5 % bovine serum albumin.

    储存液

    Sodium azide

    注意事项

    This product contains Sodium azide: a POISONOUS AND HAZARDOUS SUBSTANCE which should be handled by trained staff only.

    注意事项

    Minimize freezing and thawing.

    储存条件

    -20 °C

    储存方法

    Aliquot and store at -20°C, with minimal freeze/thawing. A working aliquot may be refrigerated at 4°C for a few weeks and still remain viable.
  • Orr, Haffner, Nelson, Yegnasubramanian, Eberhart: "Decreased 5-hydroxymethylcytosine is associated with neural progenitor phenotype in normal brain and shorter survival in malignant glioma." in: PLoS ONE, Vol. 7, Issue 7, pp. e41036, (2012) (PubMed).

  • 抗原

    TET2 (Tet Methylcytosine Dioxygenase 2 (TET2))

    别名

    TET2

    背景

    TET2, tet oncogene family member 2, FLJ20032, KIAA1546, MGC125715, OTTHUMP00000161869

    基因ID

    54790, 214133

    NCBI登录号

    NP_001120680, NP_060098

    途径

    Warburg Effect
You are here: