电话:
+86 (0512) 65829739
传真:
+86 (010) 6788 5057
电子邮件:
orders@antibodies-online.cn

Adipsin 抗体 (AA 26-263)

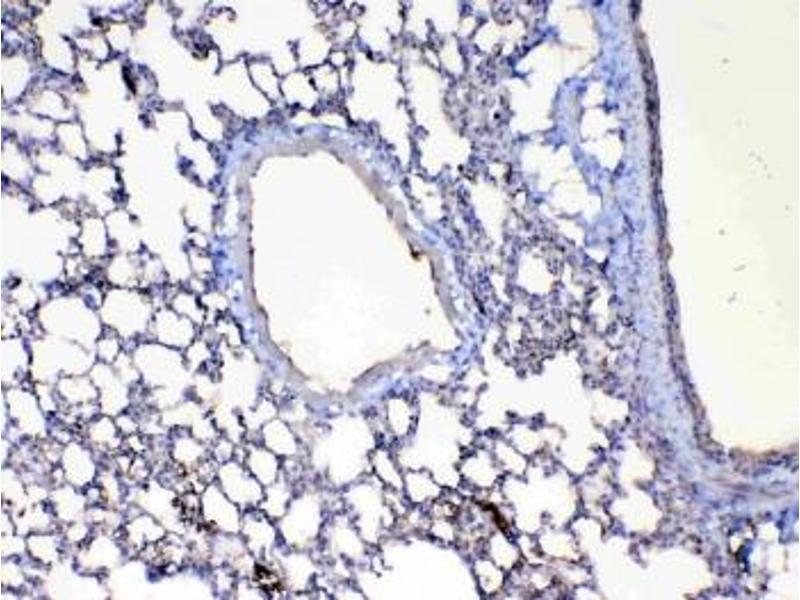
The 兔 多克隆 anti-Adipsin antibody is suitable to detect Adipsin in samples from 小鼠 和 大鼠. It has been validated for WB, ELISA 和 IHC (p).
产品编号 ABIN5708190
发货至: 中国
Contact our Customer Service for availability and price in your country. Contact Info

Our Local Distributor

中国
北京 101111
No. 88 KeChuang 6th Street
Beijing Economic Technological Development Area
Room 801-803
4A Biotech Co.,Ltd.
Tel +86 (0512) 65829739 传真 +86 (010) 6788 5057

Quick Overview for Adipsin 抗体 (AA 26-263) (ABIN5708190)

抗原

See all Adipsin (CFD) 抗体
Adipsin (CFD) (Complement Factor D (CFD))

适用

  • 66
  • 33
  • 8
  • 3
  • 2
  • 1
  • 1
  • 1
小鼠, 大鼠

宿主

  • 68
  • 10
  • 5
  • 2
  • 1

克隆类型

  • 74
  • 12
多克隆

标记

  • 46
  • 8
  • 7
  • 4
  • 4
  • 3
  • 2
  • 1
  • 1
  • 1
  • 1
  • 1
  • 1
  • 1
  • 1
  • 1
  • 1
  • 1
  • 1
This Adipsin antibody is un-conjugated

应用范围

  • 67
  • 32
  • 27
  • 17
  • 13
  • 13
  • 13
  • 11
  • 10
  • 7
  • 6
  • 6
  • 3
  • 2
  • 1
  • 1
  • 1
  • 1
  • 1
Western Blotting (WB), ELISA, Immunohistochemistry (Paraffin-embedded Sections) (IHC (p))
  • 抗原表位

    • 15
    • 11
    • 8
    • 7
    • 6
    • 3
    • 3
    • 3
    • 2
    • 2
    • 1
    • 1
    • 1
    • 1
    • 1
    • 1
    • 1
    • 1
    AA 26-263

    纯化方法

    Antigen affinity purified

    免疫原

    A recombinant rat partial protein corresponding to amino acids I26-A263 was used as the immunogen for the Factor D antibody.

    亚型

    IgG
  • 应用备注

    Optimal dilution of the Factor D antibody should be determined by the researcher.\. Western Blot: 0.5-1 μg/mL,IHC (FFPE): 1-2 μg/mL,Direct ELISA: 0.1-0.5 μg/mL

    限制

    仅限研究用
  • 缓冲液

    0.5 mg/mL if reconstituted with 0.2 mL sterile DI water

    储存条件

    -20 °C

    储存方法

    After reconstitution, the Factor D antibody can be stored for up to one month at 4°C. For long-term, aliquot and store at -20°C. Avoid repeated freezing and thawing.
  • 抗原

    Adipsin (CFD) (Complement Factor D (CFD))

    别名

    CFD / Complement Factor D

    背景

    Factor D is a protein which in humans is encoded by the CFD gene. The protein encoded by this gene is a member of the trypsin family of peptidases. The encoded protein is a component of the alternative complement pathway best known for its role in humoral suppression of infectious agents. It is also a serine protease that is secreted by adipocytes into the bloodstream. And it stimulates glucose transport for triglyceride accumulation in fats cells and inhibits lipolysis. Finally, the encoded protein has a high level of expression in fat, suggesting a role for adipose tissue in immune system biology.

    UniProt

    P32038

    途径

    Complement System
You are here: