电话:
+86 (0512) 65829739
传真:
+86 (010) 6788 5057
电子邮件:
orders@antibodies-online.cn

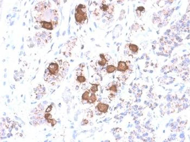
CLIP 抗体 (AA 25-39)

The 兔 单克隆 anti-CLIP antibody (Clone CLIP-2040R) (ABIN5707525) specifically detects CLIP in IHC (p). The antibody is reactive with 人, 大鼠 和 小鼠 samples.
产品编号 ABIN5707525
发货至: 中国
Contact our Customer Service for availability and price in your country. Contact Info

Our Local Distributor

中国
北京 101111
No. 88 KeChuang 6th Street
Beijing Economic Technological Development Area
Room 801-803
4A Biotech Co.,Ltd.
Tel +86 (0512) 65829739 传真 +86 (010) 6788 5057

Quick Overview for CLIP 抗体 (AA 25-39) (ABIN5707525)

抗原

CLIP (Corticotropin-Like Intermediate Peptide (CLIP))

适用

人, 大鼠, 小鼠

宿主

  • 7
  • 4

克隆类型

  • 8
  • 3
单克隆

标记

  • 9
  • 1
  • 1
This CLIP antibody is un-conjugated

应用范围

  • 6
  • 5
  • 4
  • 3
  • 2
  • 2
  • 2
  • 1
  • 1
Immunohistochemistry (Paraffin-embedded Sections) (IHC (p))

克隆位点

CLIP-2040R
  • 抗原表位

    • 3
    • 2
    • 2
    AA 25-39

    纯化方法

    Purified

    纯度

    Protein A affinity chromatography

    免疫原

    Amino acids 25-39 (NGAEDESAEAFPLEF) of Adrenocorticotropic hormone (CLIP sequence) were used as the immunogen for this ACTH antibody.

    亚型

    IgG kappa
  • 应用备注

    The optimal dilution of the recombinant ACTH antibody for each application should be determined by the researcher.

    1. The prediluted format is supplied in a dropper bottle and is optimized for use in IHC. After epitope retrieval step (if required), drip mAb solution onto the tissue section and incubate at RT for 30 min.\. Immunohistochemistry (FFPE): 0.5-1 μg/mL for 30 min at RT,Prediluted IHC only format : incubate for 30 min at RT (1)

    限制

    仅限研究用
  • 缓冲液

    0.2 mg/mL in 1X PBS with 0.1 mg/mL BSA (US sourced) and 0.05 % sodium azide

    储存液

    Sodium azide

    注意事项

    This product contains Sodium azide: a POISONOUS AND HAZARDOUS SUBSTANCE which should be handled by trained staff only.

    储存条件

    4 °C,-20 °C

    储存方法

    Store the recombinant ACTH antibody at 2-8oC (with azide) or aliquot and store at -20oC or colder (without azide).
  • 抗原

    CLIP (Corticotropin-Like Intermediate Peptide (CLIP))

    别名

    ACTH / CLIP

    背景

    ACTH (same as Corticotropin) is a 39 amino acid active peptide produced by the anterior pituitary. This mAb is specific to CLIP (aa 17-39 of ACTH) and does not react with Synacthen (aa 1-24 of ACTH). POMC (pro-opiomelanocortin or corticotropin-lipotropin) is a 267 amino acid polypeptide hormone precursor that goes through extensive, tissue-specific posttranslational processing by convertases. POMC is cleaved into ten hormone chains named NPP, ACTH, alpha-MSH (Melanocyte Stimulating Hormone), beta-MSH, gamma-MSH, CLIP (corticotropin-like intermediary peptide), Lipotropin-beta, Lipotropin-gamma, beta-endorphin and Met-enkephalin. ACTH is also produced by cells of immune system (T-cells, B-cells, and macrophages) in response to stimuli associated with stress. Anti-ACTH is a useful marker in classification of pituitary tumors and the study of pituitary disease. It reacts with ACTH-producing cells (corticotrophs). It also may react with other tumors (e.g. some small cell carcinomas of the lung) causing paraneoplastic syndromes by secreting ACTH.
You are here: