电话:
+86 (0512) 65829739
传真:
+86 (010) 6788 5057
电子邮件:
orders@antibodies-online.cn

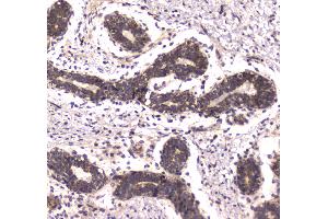
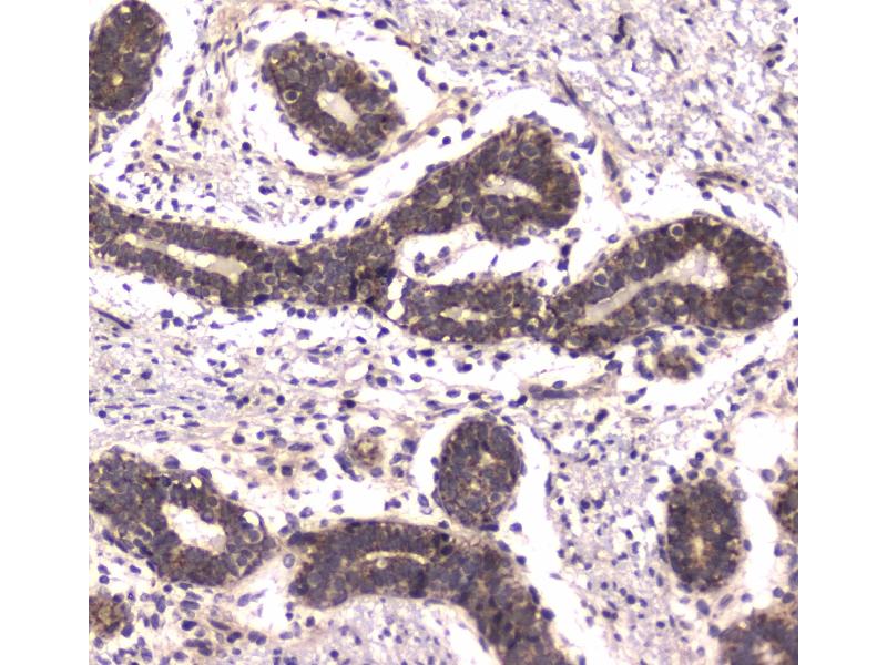
POLR2A/RPB1 抗体 (AA 1148-1384)

This 兔 多克隆 antibody specifically detects POLR2A/RPB1 in IHC 和 ELISA. It exhibits reactivity toward 人, 小鼠 和 大鼠.
产品编号 ABIN5693106
发货至: 中国
Contact our Customer Service for availability and price in your country. Contact Info

Our Local Distributor

中国
北京 101111
No. 88 KeChuang 6th Street
Beijing Economic Technological Development Area
Room 801-803
4A Biotech Co.,Ltd.
Tel +86 (0512) 65829739 传真 +86 (010) 6788 5057

Quick Overview for POLR2A/RPB1 抗体 (AA 1148-1384) (ABIN5693106)

抗原

See all POLR2A/RPB1 (POLR2A) 抗体
POLR2A/RPB1 (POLR2A) (RNA Polymerase II Subunit RPB1 (POLR2A))

适用

  • 112
  • 70
  • 69
  • 7
  • 6
  • 6
  • 6
  • 5
  • 5
  • 3
  • 3
  • 2
  • 1
  • 1
  • 1
人, 小鼠, 大鼠

宿主

  • 94
  • 19
  • 1
  • 1
  • 1

克隆类型

  • 67
  • 49
多克隆

标记

  • 63
  • 7
  • 6
  • 6
  • 6
  • 6
  • 6
  • 6
  • 4
  • 4
  • 1
  • 1
This POLR2A/RPB1 antibody is un-conjugated

应用范围

  • 94
  • 69
  • 62
  • 47
  • 42
  • 34
  • 28
  • 11
  • 10
  • 4
  • 3
  • 3
  • 2
  • 2
  • 1
  • 1
Immunohistochemistry (IHC), ELISA
  • 抗原表位

    • 31
    • 27
    • 12
    • 4
    • 3
    • 3
    • 2
    • 2
    • 2
    • 1
    • 1
    • 1
    • 1
    • 1
    • 1
    • 1
    • 1
    • 1
    • 1
    • 1
    • 1
    • 1
    • 1
    • 1
    • 1
    • 1
    • 1
    AA 1148-1384

    原理

    Anti-RNA polymerase II RPB1/POLR2A Antibody

    交叉反应 (详细)

    No cross-reactivity with other proteins.

    产品特性

    Anti-RNA polymerase II RPB1/POLR2A Antibody (ABIN5693106). Tested in ELISA, IHC applications. This antibody reacts with Human, Mouse, Rat.

    纯化方法

    Immunogen affinity purified.

    免疫原

    E. coli-derived human POLR2A recombinant protein (Position: A1148-H1384).

    亚型

    IgG
  • 应用备注

    Immunohistochemistry (Paraffin-embedded Section), 0.5-1 μg/mL
    ELISA, 0.1-0.5 μg/mL

    限制

    仅限研究用
  • 状态

    Lyophilized

    溶解方式

    Add 0.2 mL of distilled water will yield a concentration of 500 μg/mL.

    浓度

    500 μg/mL

    缓冲液

    Each vial contains 4 mg Trehalose, 0.9 mg NaCl, 0.2 mg Na2HPO4, 0.05 mg NaN3.

    储存液

    Sodium azide

    注意事项

    This product contains Sodium azide: a POISONOUS AND HAZARDOUS SUBSTANCE which should be handled by trained staff only.

    储存条件

    4 °C,-20 °C

    储存方法

    Store at -20°C for one year from date of receipt. After reconstitution, at 4°C for one month.
    It can also be aliquotted and stored frozen at -20°C for six months. Avoid repeated freeze-thaw cycles.
  • 抗原

    POLR2A/RPB1 (POLR2A) (RNA Polymerase II Subunit RPB1 (POLR2A))

    别名

    POLR2A

    背景

    Synonyms: DNA-ed RNA polymerase II subunit RPB1, RNA polymerase II subunit B1, DNA-ed RNA polymerase II subunit A, DNA-ed RNA polymerase III largest subunit, RNA-ed RNA polymerase II subunit RPB1, POLR2A, POLR2

    Background: DNA-ed RNA polymerase II subunit RPB1, also known as RPB1, is an enzyme that in humans is encoded by the POLR2A gene. This gene encodes the largest subunit of RNA polymerase II, the polymerase responsible for synthesizing messenger RNA in eukaryotes. The product of this gene contains a carboxy terminal domain composed of heptapeptide repeats that are essential for polymerase activity. These repeats contain serine and threonine residues that are phosphorylated in actively transcribing RNA polymerase. In addition, this subunit, in combination with several other polymerase subunits, forms the DNA binding domain of the polymerase, a groove in which the DNA template is transcribed into RNA.

    分子量

    120 kDa

    基因ID

    5430

    UniProt

    P24928

    途径

    Regulatory RNA Pathways
You are here: