电话:
+86 (0512) 65829739
传真:
+86 (010) 6788 5057
电子邮件:
orders@antibodies-online.cn

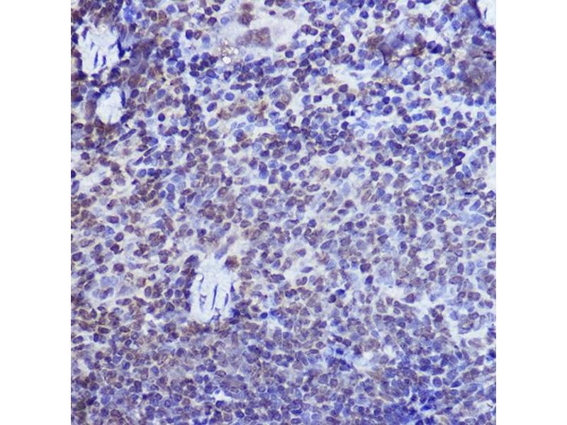
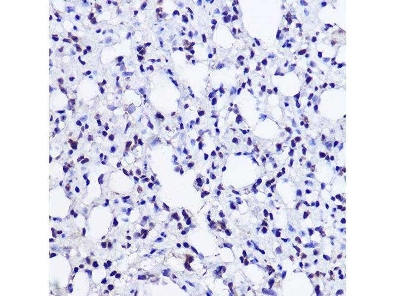
POLR2A/RPB1 抗体 (AA 1-260)

The 兔 多克隆 anti-POLR2A/RPB1 antibody (ABIN6145914) specifically detects POLR2A/RPB1 in WB, IF, IHC, IP 和 ChIP. The antibody is reactive with 人 samples.
产品编号 ABIN6145914
发货至: 中国
Contact our Customer Service for availability and price in your country. Contact Info

Our Local Distributor

中国
北京 101111
No. 88 KeChuang 6th Street
Beijing Economic Technological Development Area
Room 801-803
4A Biotech Co.,Ltd.
Tel +86 (0512) 65829739 传真 +86 (010) 6788 5057

Quick Overview for POLR2A/RPB1 抗体 (AA 1-260) (ABIN6145914)

抗原

See all POLR2A/RPB1 (POLR2A) 抗体
POLR2A/RPB1 (POLR2A) (RNA Polymerase II Subunit RPB1 (POLR2A))

适用

  • 112
  • 71
  • 70
  • 7
  • 6
  • 6
  • 6
  • 5
  • 5
  • 3
  • 3
  • 2
  • 1
  • 1
  • 1

宿主

  • 94
  • 19
  • 1
  • 1
  • 1

克隆类型

  • 67
  • 49
多克隆

标记

  • 63
  • 7
  • 6
  • 6
  • 6
  • 6
  • 6
  • 6
  • 4
  • 4
  • 1
  • 1
This POLR2A/RPB1 antibody is un-conjugated

应用范围

  • 93
  • 68
  • 62
  • 47
  • 42
  • 33
  • 29
  • 10
  • 10
  • 4
  • 3
  • 3
  • 2
  • 2
  • 1
  • 1
Western Blotting (WB), Immunofluorescence (IF), Immunohistochemistry (IHC), Immunoprecipitation (IP), Chromatin Immunoprecipitation (ChIP)
  • 抗原表位

    • 31
    • 27
    • 12
    • 4
    • 3
    • 3
    • 2
    • 2
    • 1
    • 1
    • 1
    • 1
    • 1
    • 1
    • 1
    • 1
    • 1
    • 1
    • 1
    • 1
    • 1
    • 1
    • 1
    • 1
    • 1
    • 1
    • 1
    • 1
    AA 1-260

    序列

    MHGGGPPSGD SACPLRTIKR VQFGVLSPDE LKRMSVTEGG IKYPETTEGG RPKLGGLMDP RQGVIERTGR CQTCAGNMTE CPGHFGHIEL AKPVFHVGFL VKTMKVLRCV CFFCSKLLVD SNNPKIKDIL AKSKGQPKKR LTHVYDLCKG KNICEGGEEM DNKFGVEQPE GDEDLTKEKG HGGCGRYQPR IRRSGLELYA EWKHVNEDSQ EKKILLSPER VHEIFKRISD EECFVLGMEP RYARPEWMIV TVLPVPPLSV

    交叉反应

    人, 小鼠, 大鼠

    产品特性

    Polyclonal Antibodies

    免疫原

    Recombinant fusion protein containing a sequence corresponding to amino acids 1-260 of human POLR2A (NP_000928.1).

    亚型

    IgG
  • 应用备注

    WB,1:500 - 1:2000,IHC,1:50 - 1:200,IF,1:50 - 1:200,IP,1:20 - 1:50,ChIP,1:20 - 1:50

    说明

    HIGH QUALITY

    限制

    仅限研究用
  • 状态

    Liquid

    缓冲液

    PBS with 0.02 % sodium azide,50 % glycerol, pH 7.3.

    储存液

    Sodium azide

    注意事项

    This product contains Sodium azide: a POISONOUS AND HAZARDOUS SUBSTANCE which should be handled by trained staff only.

    储存条件

    -20 °C

    储存方法

    Store at -20°C. Avoid freeze / thaw cycles.
  • 抗原

    POLR2A/RPB1 (POLR2A) (RNA Polymerase II Subunit RPB1 (POLR2A))

    别名

    POLR2A

    背景

    This gene encodes the largest subunit of RNA polymerase II, the polymerase responsible for synthesizing messenger RNA in eukaryotes. The product of this gene contains a carboxy terminal domain composed of heptapeptide repeats that are essential for polymerase activity. These repeats contain serine and threonine residues that are phosphorylated in actively transcribing RNA polymerase. In addition, this subunit, in combination with several other polymerase subunits, forms the DNA binding domain of the polymerase, a groove in which the DNA template is transcribed into RNA.,POLR2A,POLR2,POLRA,RPB1,RPBh1,RPO2,RPOL2,RpIILS,hRPB220,hsRPB1,Pol II,Epigenetics & Nuclear Signaling,DNA Damage & Repair,Neuroscience,Neurodegenerative Diseases,POLR2A

    分子量

    63 kDa/217 kDa

    基因ID

    5430

    UniProt

    P24928

    途径

    Regulatory RNA Pathways
You are here: