电话:
+86 (0512) 65829739
传真:
+86 (010) 6788 5057
电子邮件:
orders@antibodies-online.cn

IGF2R 抗体 (AA 424-529)

This 兔 多克隆 antibody specifically detects IGF2R in WB, IHC, ELISA, FACS, IF 和 ICC. It exhibits reactivity toward 人, 小鼠 和 大鼠.It has been mentioned in 1 publication
产品编号 ABIN5693085
发货至: 中国
Contact our Customer Service for availability and price in your country. Contact Info

Our Local Distributor

中国
北京 101111
No. 88 KeChuang 6th Street
Beijing Economic Technological Development Area
Room 801-803
4A Biotech Co.,Ltd.
Tel +86 (0512) 65829739 传真 +86 (010) 6788 5057

Quick Overview for IGF2R 抗体 (AA 424-529) (ABIN5693085)

抗原

See all IGF2R 抗体
IGF2R (Insulin-Like Growth Factor 2 Receptor (IGF2R))

适用

  • 90
  • 35
  • 12
  • 8
  • 5
  • 3
  • 2
  • 1
  • 1
人, 小鼠, 大鼠

宿主

  • 64
  • 36

克隆类型

  • 59
  • 41
多克隆

标记

  • 55
  • 7
  • 7
  • 5
  • 5
  • 2
  • 2
  • 1
  • 1
  • 1
  • 1
  • 1
  • 1
  • 1
  • 1
  • 1
  • 1
  • 1
  • 1
  • 1
  • 1
  • 1
  • 1
  • 1
This IGF2R antibody is un-conjugated

应用范围

  • 43
  • 38
  • 26
  • 26
  • 15
  • 13
  • 13
  • 12
  • 11
  • 10
  • 3
  • 2
  • 1
  • 1
Western Blotting (WB), Immunohistochemistry (IHC), ELISA, Flow Cytometry (FACS), Immunofluorescence (IF), Immunocytochemistry (ICC)
  • 抗原表位

    • 16
    • 13
    • 7
    • 4
    • 2
    • 2
    • 2
    • 2
    • 1
    • 1
    • 1
    • 1
    • 1
    • 1
    • 1
    • 1
    • 1
    • 1
    • 1
    • 1
    • 1
    • 1
    • 1
    AA 424-529

    原理

    Anti-Mannose 6 Phosphate Receptor (Cation independent)/IGF2R Antibody

    交叉反应 (详细)

    No cross-reactivity with other proteins.

    产品特性

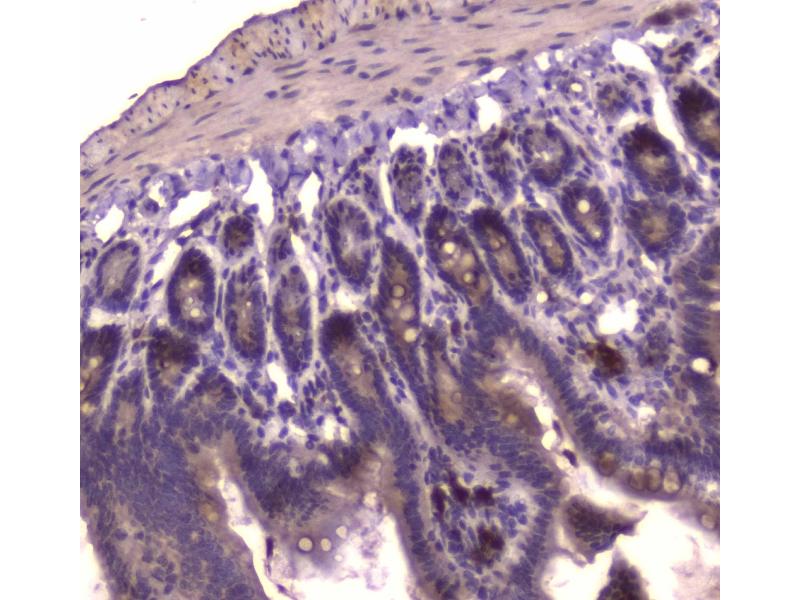
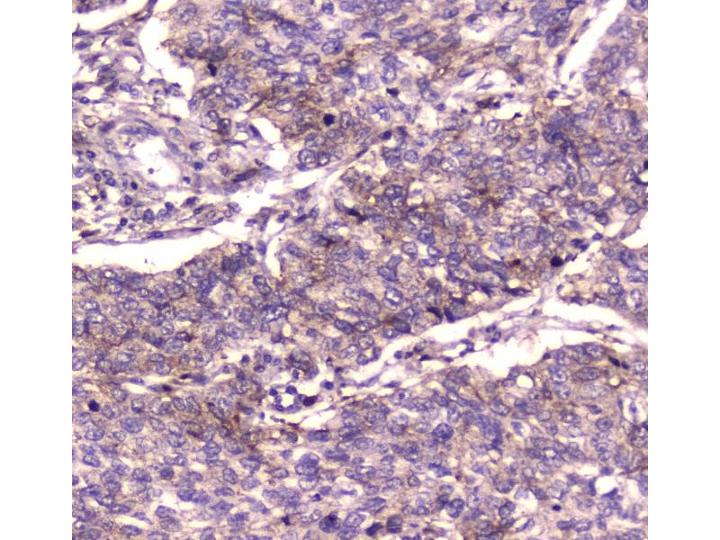
    Anti-Mannose 6 Phosphate Receptor (Cation independent)/IGF2R Antibody (ABIN5693085). Tested in ELISA, Flow Cytometry, IF, IHC, ICC, WB applications. This antibody reacts with Human, Mouse, Rat. This is a premium antibody that guarantees superior quality, high affinity, and strong signals with minimal background in Western blot applications.

    纯化方法

    Immunogen affinity purified.

    免疫原

    E. coli-derived human IGF2R recombinant protein (Position: F424-R529).

    亚型

    IgG
  • 应用备注

    Western blot, 0.1-0.5 μg/mL
    Immunohistochemistry (Paraffin-embedded Section), 2-5 μg/mL
    Immunocytochemistry/Immunofluorescence, 5 μg/mL
    Flow Cytometry(Fixed), 1-3 μg/1x106 cells
    ELISA, 0.1-0.5 μg/mL

    限制

    仅限研究用
  • 状态

    Lyophilized

    溶解方式

    Add 0.2 mL of distilled water will yield a concentration of 500 μg/mL.

    浓度

    500 μg/mL

    缓冲液

    Each vial contains 4 mg Trehalose, 0.9 mg NaCl and 0.2 mg Na2HPO4.

    储存条件

    4 °C,-20 °C

    储存方法

    Store at -20°C for one year from date of receipt. After reconstitution, at 4°C for one month.
    It can also be aliquotted and stored frozen at -20°C for six months. Avoid repeated freeze-thaw cycles.
  • Liang, Hao, Zhang, Wu, Wang: "Insulin-like growth factors in endometrioid adenocarcinoma: correlation with clinico-pathological features and estrogen receptor expression." in: BMC cancer, Vol. 12, pp. 262, (2013) (PubMed).

  • 抗原

    IGF2R (Insulin-Like Growth Factor 2 Receptor (IGF2R))

    别名

    IGF2R

    背景

    Synonyms: Cation-independent mannose-6-phosphate receptor, CI Man-6-P receptor, CI-MPR, M6PR, 300 kDa mannose 6-phosphate receptor, MPR 300, Insulin-like growth factor 2 receptor, Insulin-like growth factor II receptor, IGF-II receptor, M6P/IGF2 receptor, M6P/IGF2R, CD222, IGF2R, MPRI

    Tissue Specificity: Liver.

    Background: Insulin-like growth factor 2 receptor, also called IGF2R or I-MPR is a protein that in humans is encoded by the IGF2R gene. This gene is mapped to 6q25.3. This gene encodes a receptor for both insulin-like growth factor 2 and mannose 6-phosphate, although the binding sites for either are located on different segments of the receptor. This receptor functions in the intracellular trafficking of lysosomal enzymes, the activation of transforming growth factor beta, and the degradation of insulin-like growth factor 2. While the related mouse gene shows exclusive expression from the maternal allele, imprinting of the human gene appears to be polymorphic, with only a minority of individuals showing expression from the maternal allele.

    分子量

    274 kDa

    基因ID

    3482

    UniProt

    P11717
You are here: