电话:
+86 (0512) 65829739
传真:
+86 (010) 6788 5057
电子邮件:
orders@antibodies-online.cn

TCP1 alpha/CCTA 抗体 (C-Term)

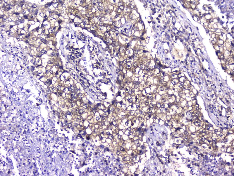
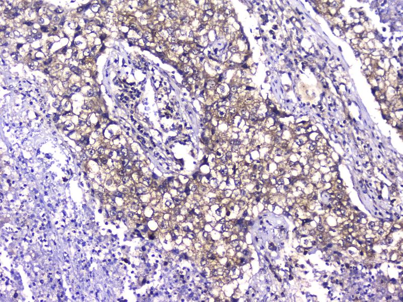
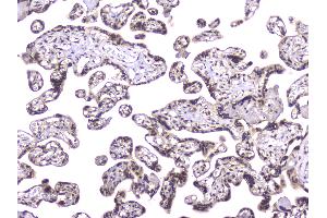
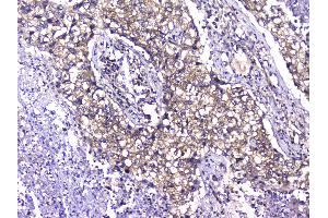
Cited in 1 publication. The 小鼠 单克隆 anti-TCP1 alpha/CCTA antibody (Clone 2E7) (ABIN5693078) specifically detects TCP1 alpha/CCTA in WB, IHC, IF, FACS 和 ICC. The antibody is reactive with 人 samples.
产品编号 ABIN5693078
发货至: 中国
Contact our Customer Service for availability and price in your country. Contact Info

Our Local Distributor

中国
北京 101111
No. 88 KeChuang 6th Street
Beijing Economic Technological Development Area
Room 801-803
4A Biotech Co.,Ltd.
Tel +86 (0512) 65829739 传真 +86 (010) 6788 5057

Quick Overview for TCP1 alpha/CCTA 抗体 (C-Term) (ABIN5693078)

抗原

See all TCP1 alpha/CCTA (TCP1) 抗体
TCP1 alpha/CCTA (TCP1) (T-Complex 1 (TCP1))

适用

  • 227
  • 148
  • 96
  • 21
  • 21
  • 20
  • 19
  • 17
  • 17
  • 15
  • 13
  • 11
  • 10
  • 4
  • 3
  • 2
  • 2
  • 2
  • 1
  • 1
  • 1
  • 1

宿主

  • 182
  • 47
  • 26
  • 1
  • 1
小鼠

克隆类型

  • 143
  • 114
单克隆

标记

  • 79
  • 18
  • 10
  • 8
  • 6
  • 6
  • 6
  • 6
  • 6
  • 6
  • 6
  • 5
  • 5
  • 5
  • 5
  • 5
  • 5
  • 5
  • 5
  • 5
  • 5
  • 5
  • 5
  • 5
  • 5
  • 5
  • 5
  • 4
  • 2
  • 2
  • 2
  • 2
  • 2
  • 2
  • 2
  • 2
This TCP1 alpha/CCTA antibody is un-conjugated

应用范围

  • 152
  • 89
  • 63
  • 62
  • 53
  • 52
  • 49
  • 43
  • 42
  • 41
  • 22
  • 12
  • 11
  • 1
  • 1
Western Blotting (WB), Immunohistochemistry (IHC), Immunofluorescence (IF), Flow Cytometry (FACS), Immunocytochemistry (ICC)

克隆位点

2E7
  • 抗原表位

    • 36
    • 18
    • 18
    • 15
    • 15
    • 15
    • 15
    • 10
    • 5
    • 3
    • 3
    • 2
    • 2
    • 2
    • 2
    • 2
    • 2
    • 2
    • 1
    • 1
    • 1
    • 1
    • 1
    • 1
    • 1
    • 1
    • 1
    • 1
    • 1
    • 1
    • 1
    • 1
    • 1
    AA 515-551, C-Term

    原理

    Anti-TCP1 alpha Antibody (monoclonal, 2E7)

    序列

    KFATEAAITI LRIDDLIKLH PESKDDKHGS YEDAVHS

    交叉反应 (详细)

    No cross-reactivity with other proteins.

    产品特性

    Anti-TCP1 alpha Antibody (monoclonal, 2E7) (ABIN5693078). Tested in Flow Cytometry, IF, IHC, ICC, WB applications. This antibody reacts with Human. This is a premium antibody that guarantees superior quality, high affinity, and strong signals with minimal background in Western blot applications.

    纯化方法

    Immunogen affinity purified.

    免疫原

    A synthetic peptide corresponding to a sequence at the C-terminus of human TCP1 alpha, different from the related mouse sequence by one amino acid, and from the related rat sequence by two amino acids.

    亚型

    IgG1
  • 应用备注

    Western blot, 0.1-0.5 μg/mL
    Immunohistochemistry (Paraffin-embedded Section), 0.5-1 μg/mL
    Immunocytochemistry/Immunofluorescence, 2 μg/mL
    Flow Cytometry (Fixed), 1-3 μg/1x106 cells

    限制

    仅限研究用
  • 状态

    Lyophilized

    溶解方式

    Add 0.2 mL of distilled water will yield a concentration of 500 μg/mL.

    浓度

    500 μg/mL

    缓冲液

    Each vial contains 4 mg Trehalose, 0.9 mg NaCl, 0.2 mg Na2HPO4, 0.05 mg Sodium azide.

    储存液

    Sodium azide

    注意事项

    This product contains Sodium azide: a POISONOUS AND HAZARDOUS SUBSTANCE which should be handled by trained staff only.

    储存条件

    4 °C,-20 °C

    储存方法

    Store at -20°C for one year from date of receipt. After reconstitution, at 4°C for one month.
    It can also be aliquotted and stored frozen at -20°C for six months. Avoid repeated freeze-thaw cycles.
  • Gong, Guo, Huang, Sun: "Inhaled nitric oxide alleviates hyperoxia suppressed phosphatidylcholine synthesis in endotoxin-induced injury in mature rat lungs." in: Respiratory research, Vol. 7, pp. 5, (2006) (PubMed).

  • 抗原

    TCP1 alpha/CCTA (TCP1) (T-Complex 1 (TCP1))

    别名

    TCP1

    背景

    Synonyms: T-complex protein 1 subunit alpha, TCP-1-alpha, CCT-alpha, TCP1, CCT1, CCTA

    Tissue Specificity: Widely expressed. Highest level in placenta, liver, muscle and kidney.

    Background: T-complex protein 1 subunit alpha is a protein that in humans is encoded by the TCP1 gene. The protein encoded by this gene is a molecular chaperone that is a member of the chaperonin containing TCP1 complex (CCT), also known as the TCP1 ring complex (TRiC). This complex consists of two identical stacked rings, each containing eight different proteins. Unfolded polypeptides enter the central cavity of the complex and are folded in an ATP-dependent manner. The complex folds various proteins, including actin and tubulin. Alternate transcriptional splice variants of this gene, encoding different isoforms, have been characterized. In addition, three pseudogenes that appear to be derived from this gene have been found.

    分子量

    60 kDa

    基因ID

    6950

    UniProt

    P17987
You are here: