电话:
+86 (0512) 65829739
传真:
+86 (010) 6788 5057
电子邮件:
orders@antibodies-online.cn

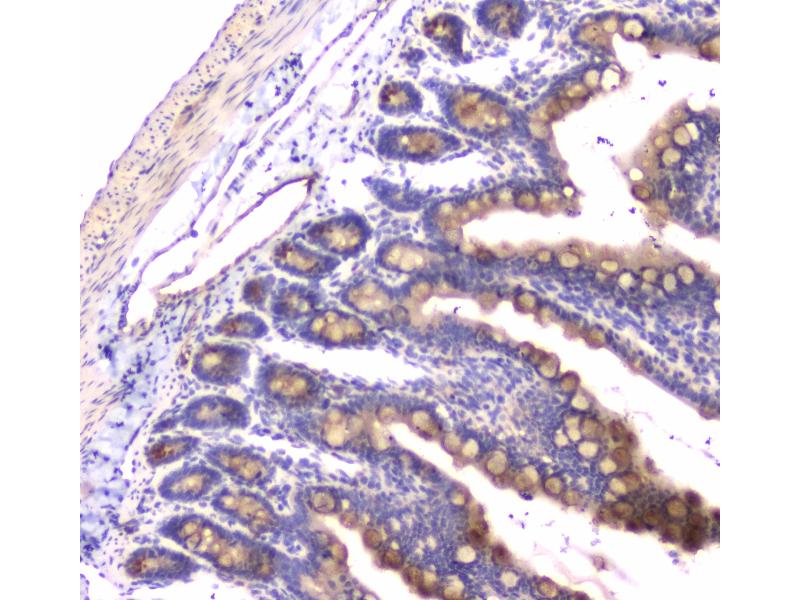
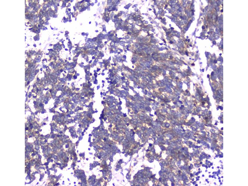
RAB27A 抗体 (AA 98-216)

The 兔 多克隆 anti-RAB27A antibody is suitable to detect RAB27A in samples from 人, 小鼠 和 大鼠. It has been validated for WB, ELISA, IHC, FACS 和 ICC.
产品编号 ABIN5692927
发货至: 中国
Contact our Customer Service for availability and price in your country. Contact Info

Our Local Distributor

中国
北京 101111
No. 88 KeChuang 6th Street
Beijing Economic Technological Development Area
Room 801-803
4A Biotech Co.,Ltd.
Tel +86 (0512) 65829739 传真 +86 (010) 6788 5057

Quick Overview for RAB27A 抗体 (AA 98-216) (ABIN5692927)

抗原

See all RAB27A 抗体
RAB27A (RAB27A, Member RAS Oncogene Family (RAB27A))

适用

  • 64
  • 22
  • 20
  • 5
  • 5
  • 5
  • 5
  • 5
  • 4
  • 4
  • 4
  • 3
  • 3
  • 2
  • 2
  • 2
  • 2
  • 1
  • 1
  • 1
人, 小鼠, 大鼠

宿主

  • 47
  • 13
  • 3
  • 2

克隆类型

  • 40
  • 25
多克隆

标记

  • 37
  • 4
  • 4
  • 2
  • 2
  • 2
  • 2
  • 2
  • 2
  • 2
  • 2
  • 2
  • 1
  • 1
This RAB27A antibody is un-conjugated

应用范围

  • 50
  • 25
  • 23
  • 18
  • 14
  • 14
  • 11
  • 6
  • 1
  • 1
  • 1
Western Blotting (WB), ELISA, Immunohistochemistry (IHC), Flow Cytometry (FACS), Immunocytochemistry (ICC)
  • 抗原表位

    • 8
    • 5
    • 5
    • 4
    • 4
    • 2
    • 2
    • 2
    • 1
    • 1
    • 1
    • 1
    • 1
    AA 98-216

    原理

    Anti-RAB27A Antibody

    交叉反应 (详细)

    No cross-reactivity with other proteins.

    产品特性

    Anti-RAB27A Antibody (ABIN5692927). Tested in ELISA, Flow Cytometry, IHC, ICC, WB applications. This antibody reacts with Human, Mouse, Rat. This is a premium antibody that guarantees superior quality, high affinity, and strong signals with minimal background in Western blot applications.

    纯化方法

    Immunogen affinity purified.

    免疫原

    E. coli-derived human RAB27A recombinant protein (Position: L98-K216).

    亚型

    IgG
  • 应用备注

    Western blot, 0.1-0.5 μg/mL
    Immunohistochemistry (Paraffin-embedded Section), 0.5-1 μg/mL
    Immunohistochemistry (Frozen Section), 0.5-1 μg/mL
    Immunocytochemistry, 0.5-1 μg/mL
    Flow Cytometry (Fixed), 1-3 μg/1x106 cells ELISA, 0.1-0.5 μg/mL

    限制

    仅限研究用
  • 状态

    Lyophilized

    溶解方式

    Add 0.2 mL of distilled water will yield a concentration of 500 μg/mL.

    浓度

    500 μg/mL

    缓冲液

    Each vial contains 4 mg Trehalose, 0.9 mg NaCl, 0.2 mg Na2HPO4, 0.05 mg NaN3.

    储存液

    Sodium azide

    注意事项

    This product contains Sodium azide: a POISONOUS AND HAZARDOUS SUBSTANCE which should be handled by trained staff only.

    储存条件

    4 °C,-20 °C

    储存方法

    Store at -20°C for one year from date of receipt. After reconstitution, at 4°C for one month.
    It can also be aliquotted and stored frozen at -20°C for six months. Avoid repeated freeze-thaw cycles.
  • 抗原

    RAB27A (RAB27A, Member RAS Oncogene Family (RAB27A))

    别名

    RAB27A

    背景

    Synonyms: Ras-related protein Rab-27A, Rab-27, GTP-binding protein Ram, RAB27A, RAB27

    Tissue Specificity: Found in all the examined tissues except in brain. Low expression was found in thymus, kidney, muscle and placenta. Detected in melanocytes, and in most tumor cell lines examined. Expressed in cytotoxic T-lymphocytes (CTL) and mast cells.

    Background: Ras-related protein Rab-27A is a protein that in humans is encoded by the RAB27A gene. The protein encoded by this gene belongs to the small GTPase superfamily, Rab family. The protein is membrane-bound and may be involved in protein transport and small GTPase mediated signal transduction. Mutations in this gene are associated with Griscelli syndrome type 2. Alternative splicing occurs at this locus and four transcript variants encoding the same protein have been identified.

    分子量

    27 kDa

    基因ID

    5873

    UniProt

    P51159

    途径

    Peptide Hormone Metabolism
You are here: