电话:
+86 (0512) 65829739
传真:
+86 (010) 6788 5057
电子邮件:
orders@antibodies-online.cn

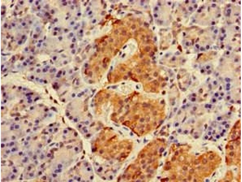
RAB27A 抗体 (AA 2-221)

The 兔 多克隆 anti-RAB27A antibody is suitable to detect RAB27A in samples from 人. It has been validated for ELISA, IHC 和 IF.
产品编号 ABIN7167270
发货至: 中国
Contact our Customer Service for availability and price in your country. Contact Info

Our Local Distributor

中国
北京 101111
No. 88 KeChuang 6th Street
Beijing Economic Technological Development Area
Room 801-803
4A Biotech Co.,Ltd.
Tel +86 (0512) 65829739 传真 +86 (010) 6788 5057

Quick Overview for RAB27A 抗体 (AA 2-221) (ABIN7167270)

抗原

See all RAB27A 抗体
RAB27A (RAB27A, Member RAS Oncogene Family (RAB27A))

适用

  • 64
  • 23
  • 21
  • 5
  • 5
  • 5
  • 5
  • 5
  • 4
  • 4
  • 4
  • 3
  • 3
  • 2
  • 2
  • 2
  • 2
  • 1
  • 1
  • 1

宿主

  • 47
  • 13
  • 3
  • 2

克隆类型

  • 40
  • 25
多克隆

标记

  • 37
  • 4
  • 4
  • 2
  • 2
  • 2
  • 2
  • 2
  • 2
  • 2
  • 2
  • 2
  • 1
  • 1
This RAB27A antibody is un-conjugated

应用范围

  • 51
  • 25
  • 22
  • 19
  • 15
  • 14
  • 11
  • 6
  • 1
  • 1
  • 1
ELISA, Immunohistochemistry (IHC), Immunofluorescence (IF)
  • 抗原表位

    • 8
    • 5
    • 4
    • 4
    • 4
    • 2
    • 2
    • 2
    • 2
    • 1
    • 1
    • 1
    • 1
    AA 2-221

    原理

    RAB27A Antibody

    纯化方法

    Protein G purified

    纯度

    >95 %

    免疫原

    Recombinant Human Ras-related protein Rab-27A protein (2-221AA)

    亚型

    IgG
  • 应用备注

    Optimal working dilution should be determined by the investigator.

    限制

    仅限研究用
  • 状态

    Liquid

    缓冲液

    Preservative: 0.03 % Proclin 300
    Constituents: 50 % Glycerol, 0.01M PBS, pH 7.4

    储存液

    ProClin

    注意事项

    This product contains ProClin: a POISONOUS AND HAZARDOUS SUBSTANCE which should be handled by trained staff only.

    储存条件

    -20 °C,-80 °C

    储存方法

    Upon receipt, store at -20°C or -80°C. Avoid repeated freeze.
  • 抗原

    RAB27A (RAB27A, Member RAS Oncogene Family (RAB27A))

    别名

    RAB27A

    背景

    Background: Plays a role in cytotoxic granule exocytosis in lymphocytes. Required for both granule maturation and granule docking and priming at the immunologic synapse.

    Aliases: GS2 antibody, GTP-binding protein Ram antibody, HsT18676 antibody, MGC117246 antibody, Mutant Ras related protein Rab-27A antibody, Rab-27 antibody, RAB-27A antibody, RAB27 antibody, RAB27A antibody, RAB27A member RAS oncogene family antibody, RAM antibody, Ras-related protein Rab-27A antibody, Ras-related protein Rab27A antibody, RB27A_HUMAN antibody

    UniProt

    P51159

    途径

    Peptide Hormone Metabolism
You are here: