电话:
+86 (0512) 65829739
传真:
+86 (010) 6788 5057
电子邮件:
orders@antibodies-online.cn

Laminin gamma 1 抗体 (all Isoforms)

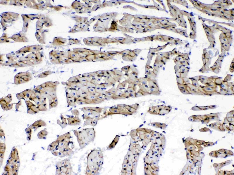
Cited in 2+ publications. The 兔 多克隆 anti-Laminin gamma 1 antibody (ABIN5692889) specifically detects Laminin gamma 1 in WB, IHC 和 IF. The antibody is reactive with 人, 小鼠 和 大鼠 samples.
产品编号 ABIN5692889
发货至: 中国
Contact our Customer Service for availability and price in your country. Contact Info

Our Local Distributor

中国
北京 101111
No. 88 KeChuang 6th Street
Beijing Economic Technological Development Area
Room 801-803
4A Biotech Co.,Ltd.
Tel +86 (0512) 65829739 传真 +86 (010) 6788 5057

Quick Overview for Laminin gamma 1 抗体 (all Isoforms) (ABIN5692889)

抗原

See all Laminin gamma 1 (LAMC1) 抗体
Laminin gamma 1 (LAMC1) (Laminin, gamma 1 (LAMC1))

适用

  • 69
  • 35
  • 32
  • 5
  • 5
  • 4
  • 4
  • 3
  • 2
  • 2
  • 1
  • 1
  • 1
人, 小鼠, 大鼠

宿主

  • 65
  • 8
  • 3

克隆类型

  • 43
  • 33
多克隆

标记

  • 42
  • 7
  • 3
  • 3
  • 3
  • 3
  • 3
  • 3
  • 3
  • 2
  • 2
  • 2
This Laminin gamma 1 antibody is un-conjugated

应用范围

  • 55
  • 34
  • 20
  • 18
  • 12
  • 10
  • 7
  • 7
  • 4
  • 2
  • 1
  • 1
  • 1
  • 1
Western Blotting (WB), Immunohistochemistry (IHC), Immunofluorescence (IF)
  • 抗原表位

    • 5
    • 3
    • 2
    • 2
    • 2
    • 2
    • 1
    • 1
    • 1
    • 1
    • 1
    • 1
    • 1
    • 1
    • 1
    • 1
    • 1
    • 1
    all Isoforms

    原理

    Anti-Laminin/Lamc1/Lamc2/Lamc3 Antibody

    序列

    NKLNEIEGSL NKAKDEMKAS ,DLEERVRRQR NHLHLLETSI ,LQLDSHGALH HKLRQLEEES

    交叉反应 (详细)

    No cross-reactivity with other proteins.

    产品特性

    Anti-Laminin/Lamc1/Lamc2/Lamc3 Antibody (ABIN5692889). Tested in IF, IHC, WB applications. This antibody reacts with Human, Mouse, Rat. This is a premium antibody that guarantees superior quality, high affinity, and strong signals with minimal background in Western blot applications.

    纯化方法

    Immunogen affinity purified.

    免疫原

    Peptide mixture of laminin gamma1,2,3 (NKLNEIEGSLNKAKDEMKAS, DLEERVRRQRNHLHLLETSI, LQLDSHGALHHKLRQLEEES). Laminin gamma has only three subtypes of antibody to gamma1-3 reactive with all isoforms of laminin.

    亚型

    IgG
  • 应用备注

    Western blot, 0.1-0.5 μg/mL, Human, Mouse, Rat,
    Immunohistochemistry (Paraffin-embedded Section), 0.5-1 μg/mL, Mouse, Rat
    Immunofluorescence, 2 μg/mL, Mouse, Rat

    限制

    仅限研究用
  • 状态

    Lyophilized

    溶解方式

    Add 0.2 mL of distilled water will yield a concentration of 500 μg/mL.

    浓度

    500 μg/mL

    缓冲液

    Each vial contains 4 mg Trehalose, 0.9 mg NaCl, 0.2 mg Na2HPO4, 0.05 mg Sodium azide.

    储存液

    Sodium azide

    注意事项

    This product contains Sodium azide: a POISONOUS AND HAZARDOUS SUBSTANCE which should be handled by trained staff only.

    储存条件

    4 °C,-20 °C

    储存方法

    Store at -20°C for one year from date of receipt. After reconstitution, at 4°C for one month.
    It can also be aliquotted and stored frozen at -20°C for six months. Avoid repeated freeze-thaw cycles.
  • Fu, Hu, Dang, Chang, Du, Wu, Gao: "Remarkable preservation of Ca(2+) homeostasis and inhibition of apoptosis contribute to anti-muscle atrophy effect in hibernating Daurian ground squirrels." in: Scientific reports, Vol. 6, pp. 27020, (2018) (PubMed).

    Chen, Wang, Liu, Fang, Tan, Zhou, Zhou, Lv: "Highly effective ex vivo gene manipulation to study kidney development using self-complementary adenoassociated viruses." in: TheScientificWorldJournal, Vol. 2014, pp. 682189, (2014) (PubMed).

  • 抗原

    Laminin gamma 1 (LAMC1) (Laminin, gamma 1 (LAMC1))

    别名

    Lamc1

    背景

    Synonyms: Laminin subunit gamma-1,Laminin B2 chain,Laminin-1 subunit gamma,Laminin-10 subunit gamma,Laminin-11 subunit gamma,Laminin-2 subunit gamma,Laminin-3 subunit gamma,Laminin-4 subunit gamma,Laminin-6 subunit gamma,Laminin-7 subunit gamma,Laminin-8 subunit gamma,Laminin-9 subunit gamma,S-laminin subunit gamma,S-LAM gamma,Lamc1,Lamb-2, Lamc-1,

    Tissue Specificity: Found in the basement membranes (major component).

    Background: Tumor necrosis factor ligand superfamily member 14 is a protein that in humans is encoded by the TNFSF14 gene. TNFSF14 has also been designated as CD258, as well as LIGHT. It was mapped on chromosome 19p13.3. The protein encoded by this gene is a member of the tumor necrosis factor(TNF) ligand family. This protein may function as a costimulatory factor for the activation of lymphoid cells and as a deterrent to infection by herpesvirus. It has been shown to stimulate the proliferation of T cells, and trigger apoptosis of various tumor cells. This protein is also reported to prevent tumor necrosis factor alpha mediated apoptosis in primary hepatocyte. Two alternatively spliced transcript variant encoding distinct isoforms have been reported.

    分子量

    150, 220-250 kDa

    基因ID

    226519

    UniProt

    P02468
You are here: