电话:
+86 (0512) 65829739
传真:
+86 (010) 6788 5057
电子邮件:
orders@antibodies-online.cn

CKB 抗体 (AA 7-381)

This 兔 多克隆 antibody specifically detects CKB in WB, IHC 和 ELISA. It exhibits reactivity toward 人, 大鼠 和 小鼠.
产品编号 ABIN5692824
发货至: 中国
Contact our Customer Service for availability and price in your country. Contact Info

Our Local Distributor

中国
北京 101111
No. 88 KeChuang 6th Street
Beijing Economic Technological Development Area
Room 801-803
4A Biotech Co.,Ltd.
Tel +86 (0512) 65829739 传真 +86 (010) 6788 5057

Quick Overview for CKB 抗体 (AA 7-381) (ABIN5692824)

抗原

See all CKB 抗体
CKB (Creatine Kinase, Brain (CKB))

适用

  • 113
  • 57
  • 45
  • 13
  • 7
  • 6
  • 5
  • 4
  • 3
  • 3
  • 3
  • 2
  • 2
  • 2
  • 1
  • 1
  • 1
  • 1
人, 大鼠, 小鼠

宿主

  • 89
  • 45
  • 1

克隆类型

  • 68
  • 66
多克隆

标记

  • 72
  • 20
  • 9
  • 4
  • 4
  • 4
  • 2
  • 2
  • 2
  • 2
  • 2
  • 2
  • 1
  • 1
  • 1
  • 1
  • 1
  • 1
  • 1
  • 1
  • 1
  • 1
This CKB antibody is un-conjugated

应用范围

  • 93
  • 45
  • 41
  • 35
  • 28
  • 27
  • 24
  • 8
  • 7
  • 3
  • 3
  • 2
  • 2
  • 2
  • 2
  • 2
  • 2
  • 2
  • 1
  • 1
  • 1
  • 1
  • 1
  • 1
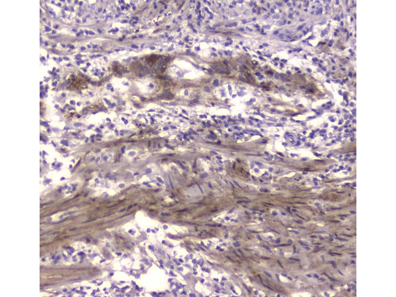
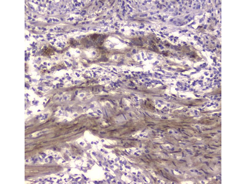
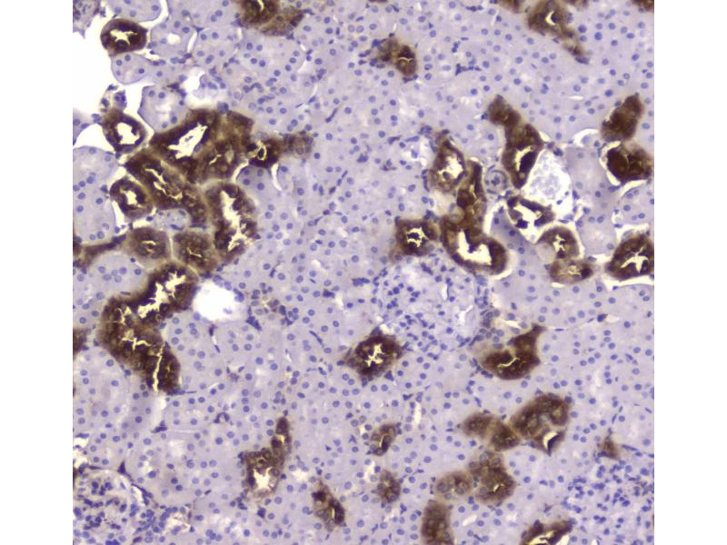
Western Blotting (WB), Immunohistochemistry (IHC), ELISA
  • 抗原表位

    • 13
    • 8
    • 8
    • 6
    • 5
    • 3
    • 2
    • 2
    • 1
    • 1
    • 1
    • 1
    • 1
    • 1
    • 1
    • 1
    AA 7-381

    原理

    Anti-Creatine kinase B type/CKB Antibody

    交叉反应 (详细)

    No cross-reactivity with other proteins.

    产品特性

    Anti-Creatine kinase B type/CKB Antibody (ABIN5692824). Tested in ELISA, IHC, WB applications. This antibody reacts with Human, Mouse, Rat. This is a premium antibody that guarantees superior quality, high affinity, and strong signals with minimal background in Western blot applications.

    纯化方法

    Immunogen affinity purified.

    免疫原

    E. coli-derived human CKB recombinant protein (Position: H7-K381).

    亚型

    IgG
  • 应用备注

    Western blot, 0.1-0.5 μg/mL
    Immunohistochemistry (Paraffin-embedded Section), 0.5-1 μg/mL
    ELISA, 0.1-0.5 μg/mL

    限制

    仅限研究用
  • 状态

    Lyophilized

    溶解方式

    Add 0.2 mL of distilled water will yield a concentration of 500 μg/mL.

    浓度

    500 μg/mL

    缓冲液

    Each vial contains 4 mg Trehalose, 0.9 mg NaCl, 0.2 mg Na2HPO4, 0.05 mg NaN3.

    储存液

    Sodium azide

    注意事项

    This product contains Sodium azide: a POISONOUS AND HAZARDOUS SUBSTANCE which should be handled by trained staff only.

    储存条件

    4 °C,-20 °C

    储存方法

    Store at -20°C for one year from date of receipt. After reconstitution, at 4°C for one month.
    It can also be aliquotted and stored frozen at -20°C for six months. Avoid repeated freeze-thaw cycles.
  • 抗原

    CKB (Creatine Kinase, Brain (CKB))

    别名

    CKB

    背景

    Synonyms: Creatine kinase B-type, B-CK, Creatine kinase B chain, CKB, CKBB

    Background: Brain-type creatine kinase also known as CK-BB is a creatine kinase that in humans is encoded by the CKB gene. The protein encoded by this gene is a cytoplasmic enzyme involved in energy homeostasis. The encoded protein reversibly catalyzes the transfer of phosphate between ATP and various phosphogens such as creatine phosphate. It acts as a homodimer in brain as well as in other tissues, and as a heterodimer with a similar muscle isozyme in heart. The encoded protein is a member of the ATP:guanido phosphotransferase protein family. A pseudogene of this gene has been characterized.

    分子量

    45 kDa

    基因ID

    1152

    UniProt

    P12277
You are here: