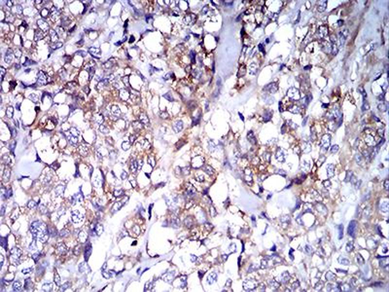
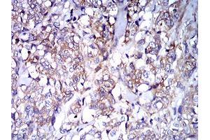
IGHA1 抗体 (AA 207-353)
Our Local Distributor
北京 101111
Quick Overview for IGHA1 抗体 (AA 207-353) (ABIN5684054)
抗原
适用
宿主
克隆类型
标记
应用范围
克隆位点
-
-
抗原表位
- AA 207-353
-
原理
- IghA1 Antibody
-
纯化方法
- Purified antibody
-
免疫原
- Purified recombinant fragment of human IghA1 (AA: 207-353) expressed in E. Coli.
-
亚型
- IgG1
-
-
-
-
应用备注
-
ELISA: 1/10000
FCM: 1/200 - 1/400
ICC: 1/50 - 1/250
-
限制
- 仅限研究用
-
-
-
状态
- Liquid
-
缓冲液
- Purified antibody in PBS with 0.05 % sodium azide.
-
储存液
- Sodium azide
-
注意事项
- This product contains Sodium azide: a POISONOUS AND HAZARDOUS SUBSTANCE which should be handled by trained staff only.
-
储存条件
- 4 °C,-20 °C
-
储存方法
- Store at 4°C short term. Aliquot and store at -20°C long term. Avoid freeze/thaw cycles.
-
-
- IGHA1 (Immunoglobulin Heavy Constant alpha 1 (IGHA1))
-
别名
- IghA1
-
背景
-
IGHA1 (Immunoglobulin Heavy Constant Alpha 1) is a Protein Coding gene. Diseases associated with IGHA1 include pseudotumor cerebri. Among its related pathways are Vesicle-mediated transport and Regulation of nuclear SMAD2/3 signaling. GO annotations related to this gene include antigen binding and immunoglobulin receptor binding. An important paralog of this gene is IGHG4.
-
分子量
- 37.6 kDa
-
基因ID
- 3493
-
UniProt
- P01876
抗原
-